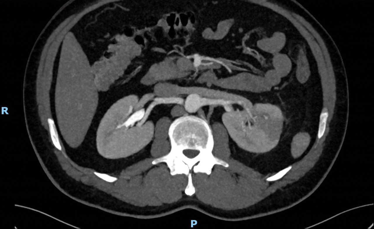
Homme 47 ans sans antécédents consultant pour une douleur lombaire gauche d’apparition brutale sans fièvre.
Quel est votre diagnostic ?

Homme 47 ans sans antécédents consultant pour une douleur lombaire gauche d’apparition brutale sans fièvre.
Quel est votre diagnostic ?

Exercez-vous aux ECN avec les dossiers progressifs et les LCA de La Revue du Praticien