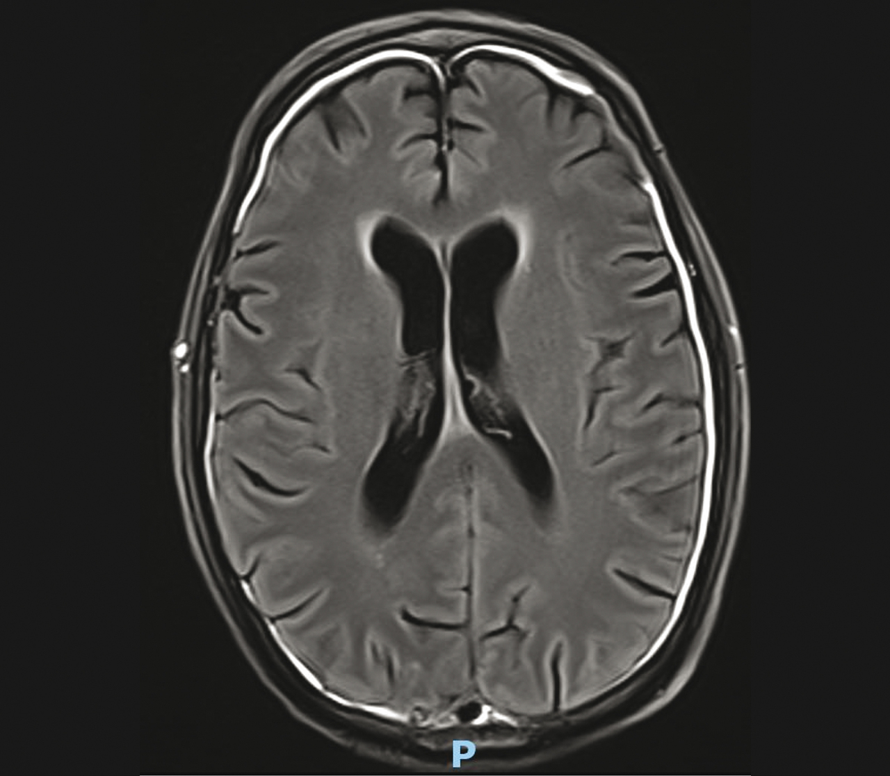
Homme de 56 ans , vivant dans des conditions précaires, tabagisme de 45 paquets-année, se plaignant de céphalées et ayant des troubles du comportement. Quel est votre diagnostic ? Hématome sous-dural Méningiome Pachyméningite tuberculeuse Leptoméningite tuberculeuse Méningite carcinomateuse OK Valider mes réponses