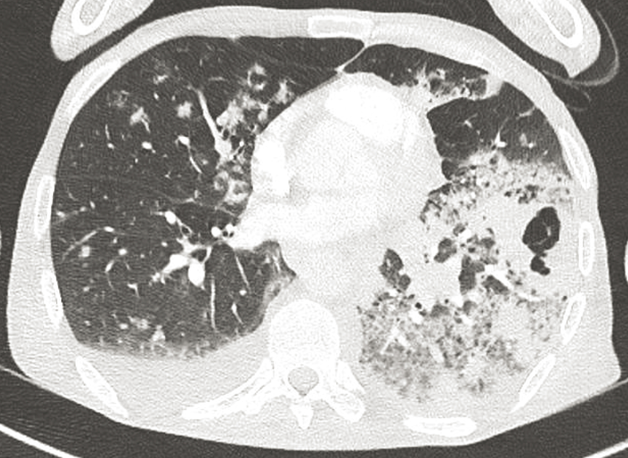
Homme de 56 ans , vivant dans des conditions précaires, tabagisme de 45 paquets-année, hospitalisé pour altération de l’état général et chute.
Quel est votre diagnostic ?

Homme de 56 ans , vivant dans des conditions précaires, tabagisme de 45 paquets-année, hospitalisé pour altération de l’état général et chute.
Quel est votre diagnostic ?

Exercez-vous aux ECN avec les dossiers progressifs et les LCA de La Revue du Praticien