Une femme de 87 ans souffre de douleurs mécaniques du bassin.
Quel est votre diagnostic ?

Une femme de 87 ans souffre de douleurs mécaniques du bassin.
Quel est votre diagnostic ?

Exercez-vous aux ECN avec les dossiers progressifs et les LCA de La Revue du Praticien
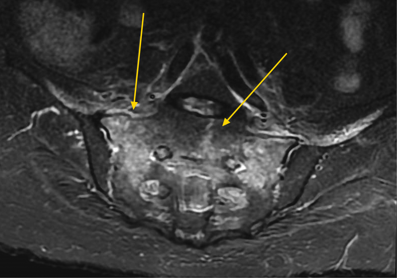
Les fractures du sacrum par insuffisance osseuse (ostéoporose) sont une pathologie fréquente du sujet âgé mais sous-estimée. Le diagnostic est rarement suspecté et une errance de plusieurs mois est fréquente. La fracture du sacrum est confirmée par une imagerie par résonance magnétique ou une scintigraphie mettant en évidence la solution de continuité d’une ou des 2 ailes sacrées pouvant être reliées entre-elles et réalisant ce que l’on appelle communément la fracture en « H » du sacrum. La symptomatologie est aspécifique mais la présence d’une douleur lombaire basse chez un patient ostéopénique doit faire évoquer le diagnostic.