Homme de 92 ans hospitalisé pour douleurs abdominales et anémie.
Quel est votre diagnostic ?

Homme de 92 ans hospitalisé pour douleurs abdominales et anémie.
Quel est votre diagnostic ?

Exercez-vous aux ECN avec les dossiers progressifs et les LCA de La Revue du Praticien
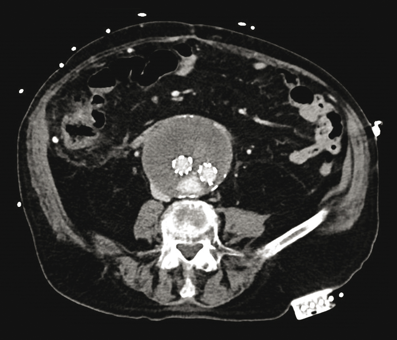
Le traitement des anévrismes de l’aorte abdominale a été révolutionné par l’avènement des traitements endovasculaires, offrant des résultats à long terme comparables à ceux de la chirurgie conventionnelle. Cette endoprothèse, positionnée sous contrôle radiologique à l’aide d’un cathéter introduit à partir des artères fémorales, est positionnée au niveau de l’anévrisme. Une fois déployée, l’anévrisme est alors exclu de la circulation ; le sang s’écoulant, en aval de l’anévrisme, au travers de l’endoprothèse. Une surveillance est néanmoins nécessaire compte tenu du risque de survenue d’une fuite de sang entre la paroi aortique et l’endoprothèse (par une perte de l’intimité du contact) ou à partir d’une branche collatérale de l’aorte avec perfusion persistante de l’anévrisme. La surveillance après la mise en place d’une endoprothèse comprend, au moins un premier examen scanographique (angio-TDM dans la plupart des cas) postopératoire dans le mois qui suit, sauf contre-indication puis une surveillance régulière par échodoppler moyen et long terme.