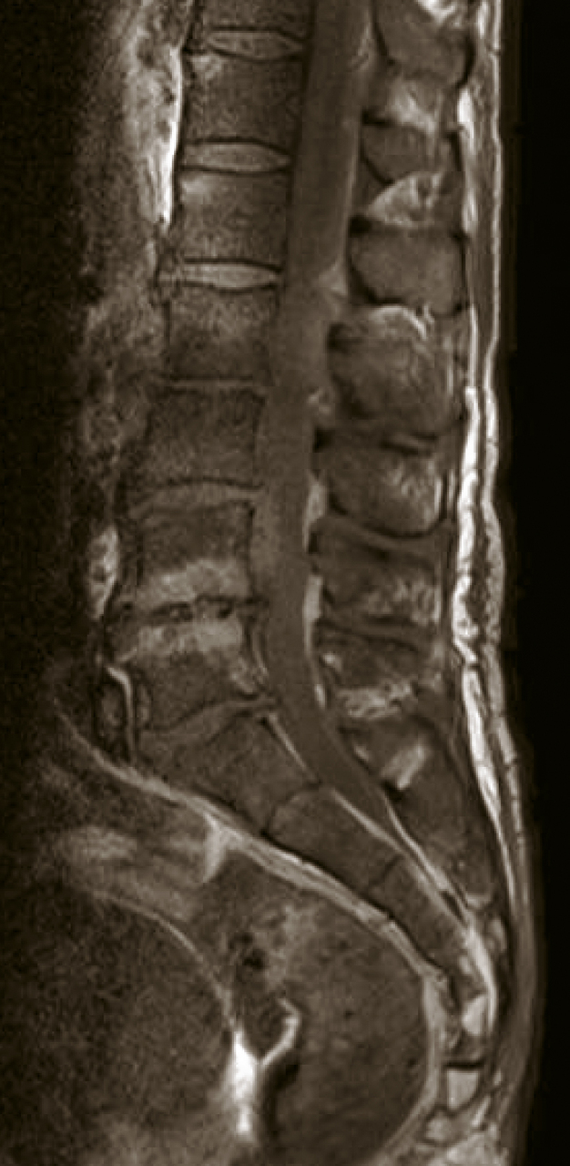
Homme de 50 ans souffrant de lombalgies et de fièvre. Quel est votre diagnostic ? Lombodiscarthrose Arthrose pseudo-pottique Hyperostose vertébrale engainante Spondylodiscite Spondyloarthrite OK Valider mes réponses