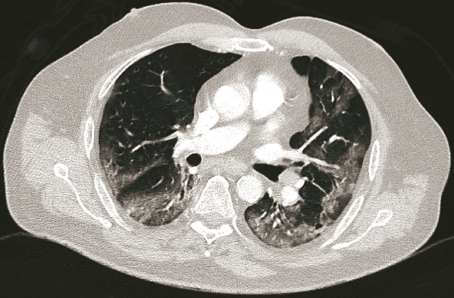
Homme de 67 ans, diabétique, consultant pour une dyspnée avec fièvre. Quel est votre diagnostic ? Pneumopathie à mycoplasme Légionellose Pneumonie organisée Pneumopathie Covid-19 Pneumopathie à l’amiodarone OK Valider mes réponses