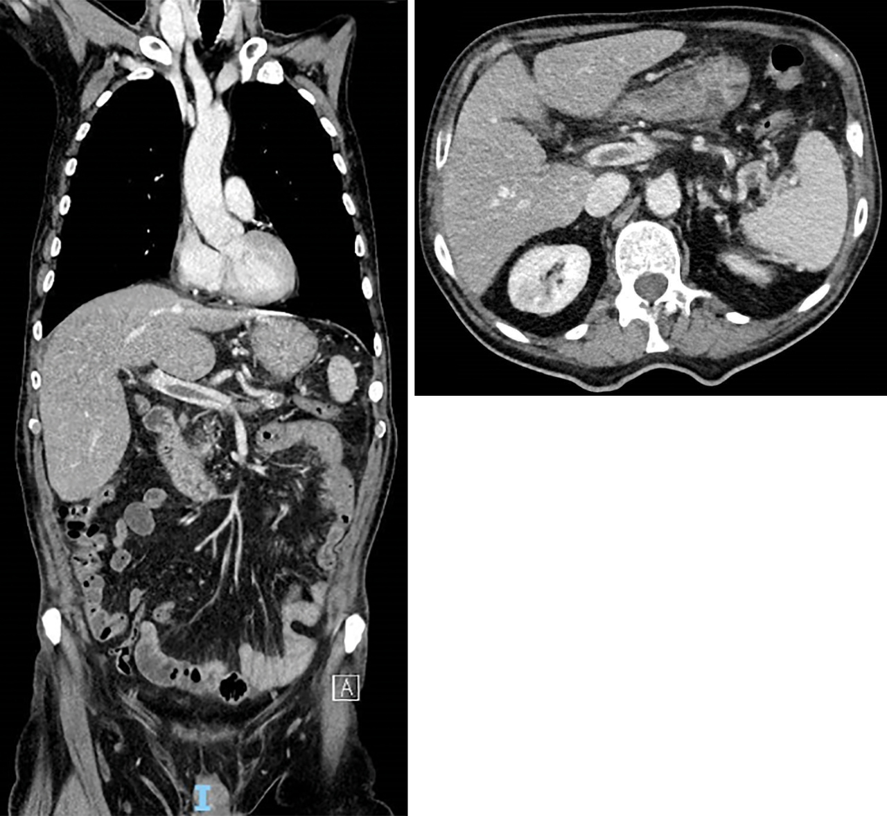
Homme de 67 ans, diabétique, consultant pour des douleurs abdominales.
Quel est votre diagnostic ?


Il s'agit d'une thrombose porte.

Exercez-vous aux ECN avec les dossiers progressifs et les LCA de La Revue du Praticien