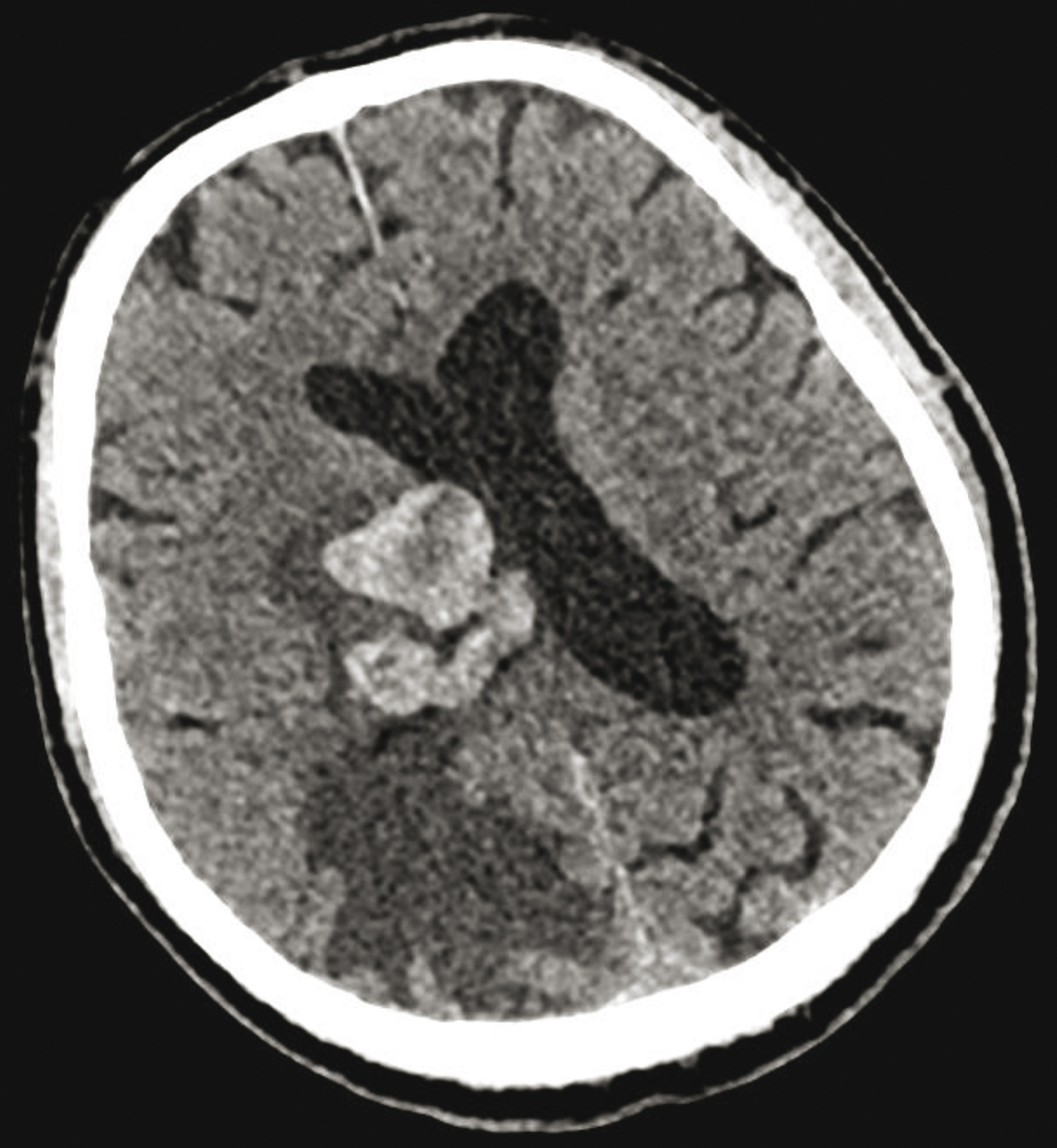
Quel est votre diagnostic ? Métastases cérébrales Il s'agit de métastases cérébrales.Pour en savoir plus :- Hoang-Xuan K, et al. Dossier. Métastases cérébrales : d'abord ne pas se décourager. Rev Prat 2014;64(5):667-88. Glioblastome Tuberculome Toxoplasmose cérébrale Lymphome OK Valider mes réponses