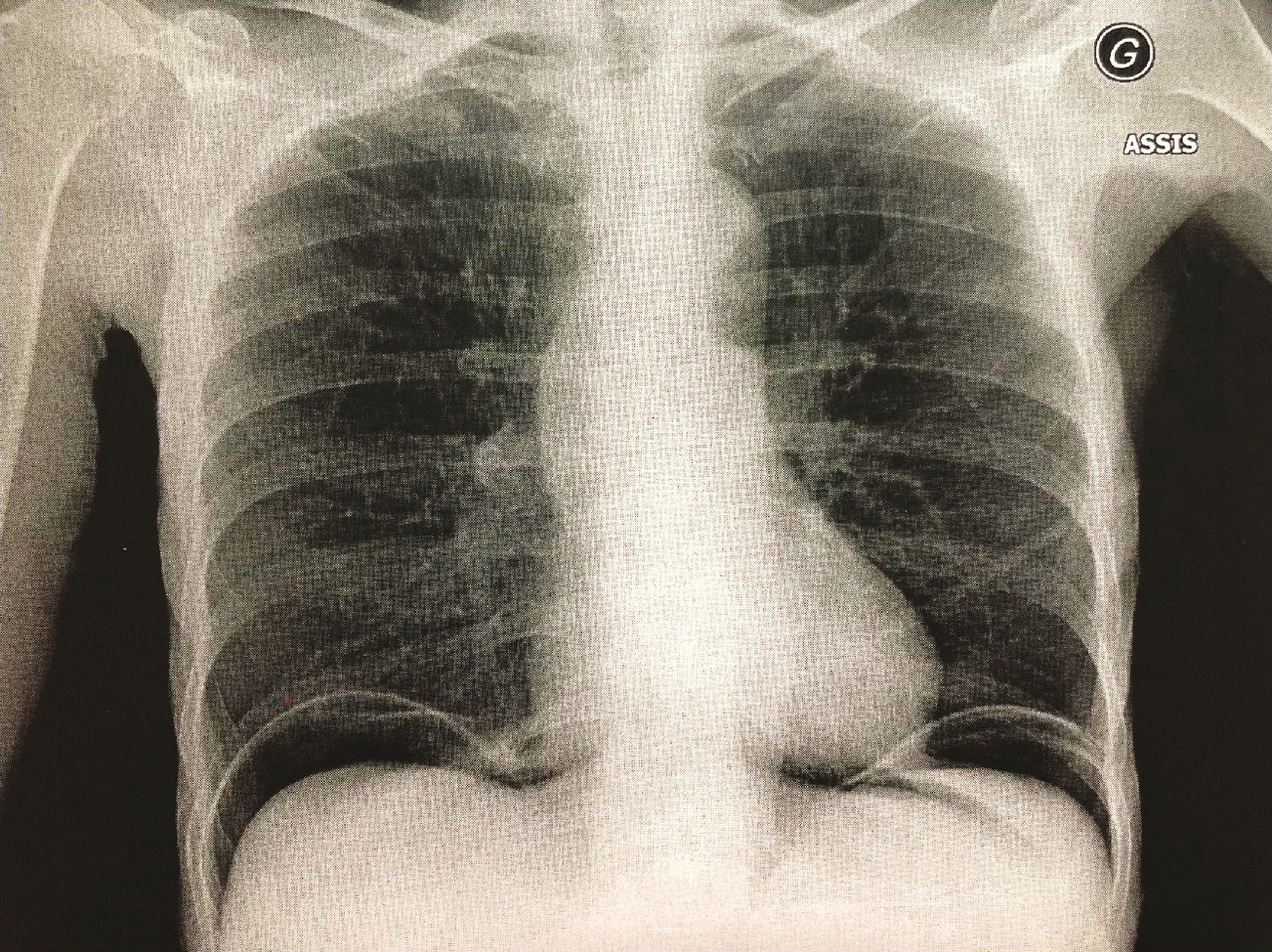
Quel est votre diagnostic ?

La bonne réponse est : Pneumopéritoine. Le cliché d'abdomen sans préparation, centré sur les coupoles et idéalement réalisé debout, permet de faire le diagnostic de pneumopéritoine, signant la perforation d'un organe creux (en l'absence de contexte postopératoire précoce). Il apparaît sous la forme d'une hyperclarté sous-diaphragmatique, bilatérale sur ce cliché.