Quel est votre diagnostic ?

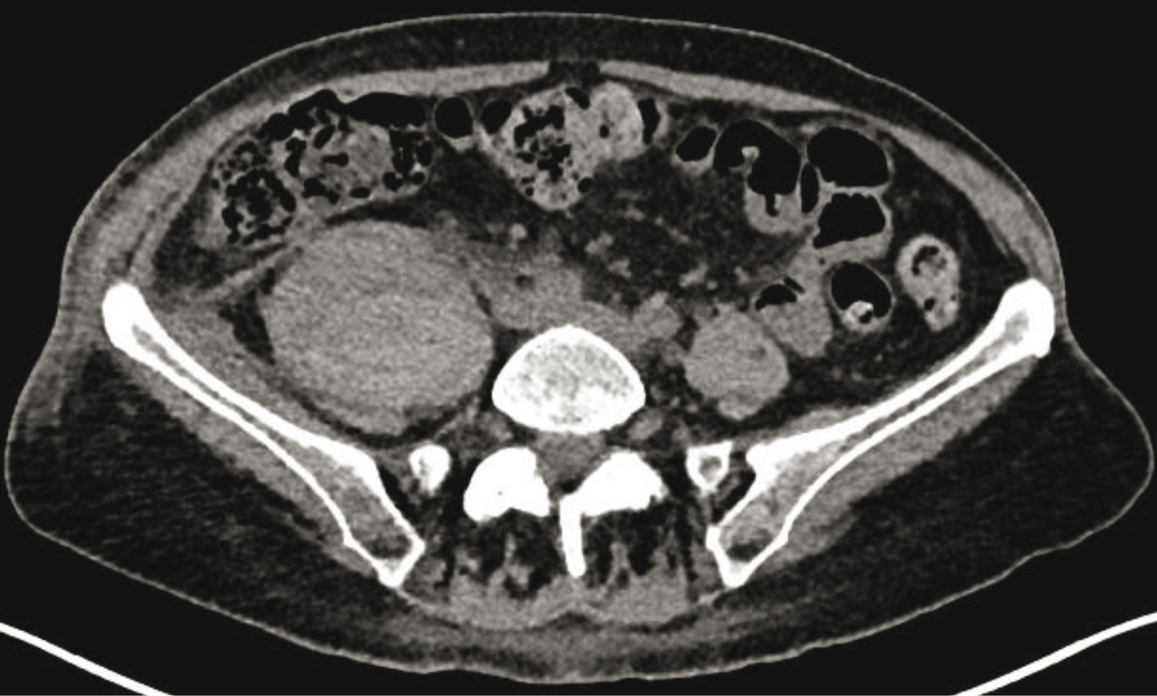
La bonne réponse est : hématome du psoas. L'hématome du psoas est une complication connue des traitements anti-coagulants ou des troubles de l'hémostase tels que l'hémophilie. Il doit être recherché devant une cruralgie, un psoïtis, voire un déficit neurologique sensitif et/ou moteur (compression du nerf fémoral). Le scanner met en évidence une augmentation de la taille du psoas, avec une masse plus ou moins collectée, spontanément hyperdense, à la phase aiguë. En cas de doute sur un abcès ou une tumeur, une IRM est réalisée.
Pour en savoir plus :
- Schved JF. Hémophilie : Quoi de neuf ? Rev Prat Med Gen 2017;31(986);595-600.
- Rajzbaum G. Dossier Lomboradiculalgie des membres inférieurs. Rev Prat 2016;66(4);377-96.
- Crickx E. Prise en charge des complications hémorragiques sous anticoagulants. Rev Prat 2017;67(9); e443-4.