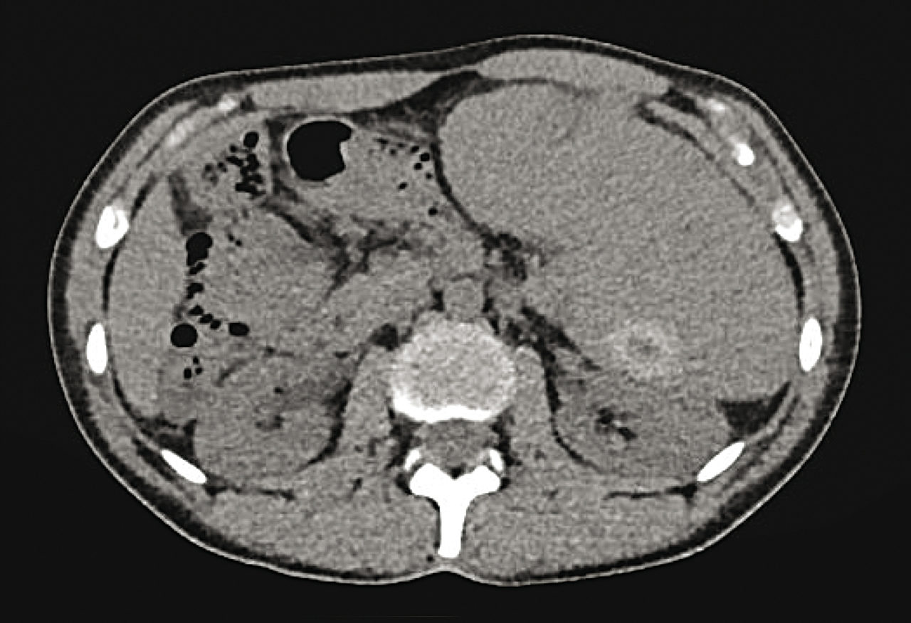
Quel est votre diagnostic ? Lymphome splénique Sarcoïdose Leucémie myéloïde chronique Maladie de Waldenström Angiosarcome splénique Il s'agit d'un angiosarcome splénique. Pour en savoir plus : - Bastie JN. Splénomégalie. Rev Prat 2010;60(4): spécial web. OK Valider mes réponses