Quel est votre diagnostic ?
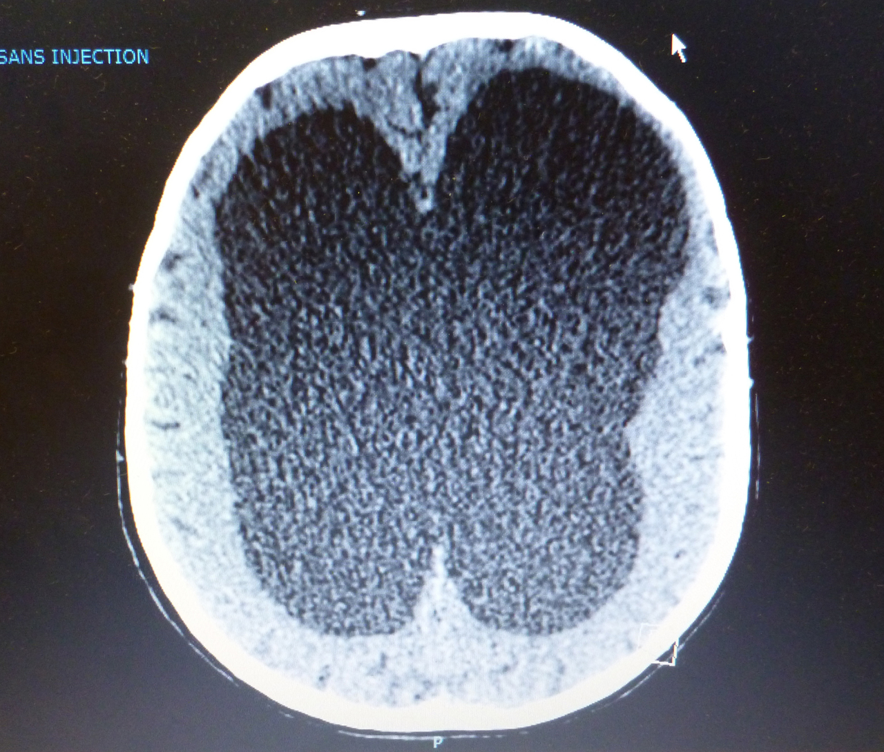
Il s'agit d'une hydrocéphalie par sténose de l'aqueduc de Sylvius.
Pour en savoir plus :- Enaud R, Villéga F, Dobremez E, Lamireau T. Vomissements du nourrisson et de l'enfant.Rev Prat 2018;68(3):e103-8. - Mondon K, Beaufils E, Hommet C.Troubles cognitifs du sujet âgé Rev Prat 2015;65(3):409-14. - Guillevin R, Menuel C, Vallée JN, de Marco G, Martin-Duverneuil N, Chiras J. Tumeurs cérébrales : quelle imagerie ? Rev Prat 2006;56(10):1757-69.

Exercez-vous aux ECN avec les dossiers progressifs et les LCA de La Revue du Praticien