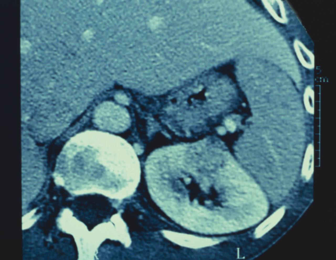
Quel est votre diagnostic ? Cancer du rein Il s'agit d'un cancer du rein.Pour en savoir plus : -Desgrandchamps F, et al. Dossier Traitement du cancer du rein. Rev Prat 2018;68(1):41-55. - Flamand V, Lamandé N. Tumeurs du rein. Rev Prat 2017;67: spécial web. Abcès du rein Kyste rénal Angiomyolipome Hydatidose OK Valider mes réponses