Quel est votre diagnostic ?

Il s'agit d'une prothèse valvulaire, mise en place suite à une intervention de Bentall.
Pour en savoir plus :
Cette photo provient de la collection du Pr Olivier Fain (Hôpital Saint-Antoine, Paris).
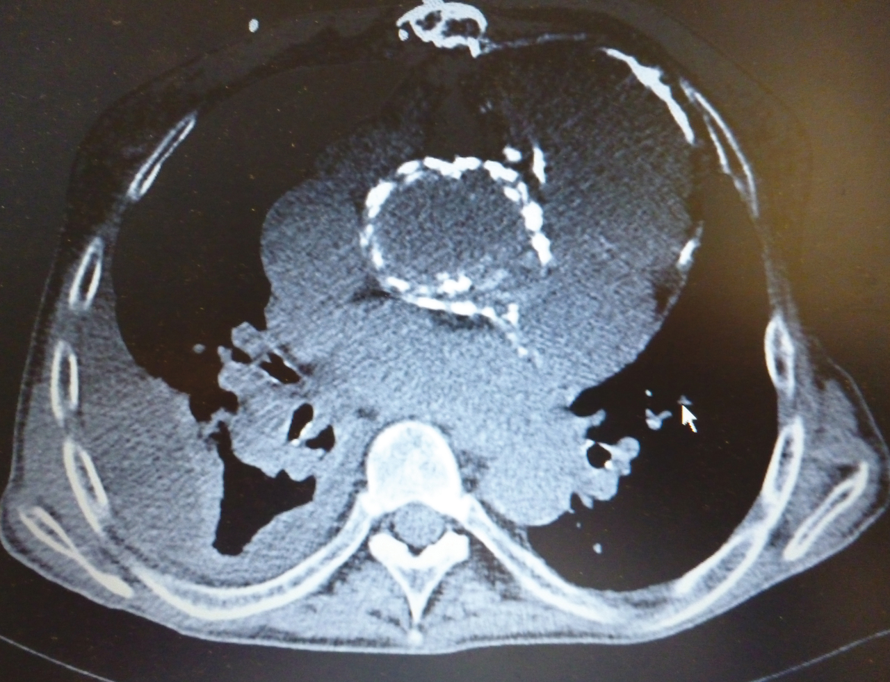
Quel est votre diagnostic ?

Il s'agit d'une prothèse valvulaire, mise en place suite à une intervention de Bentall.
Pour en savoir plus :
Cette photo provient de la collection du Pr Olivier Fain (Hôpital Saint-Antoine, Paris).
Exercez-vous aux ECN avec les dossiers progressifs et les LCA de La Revue du Praticien