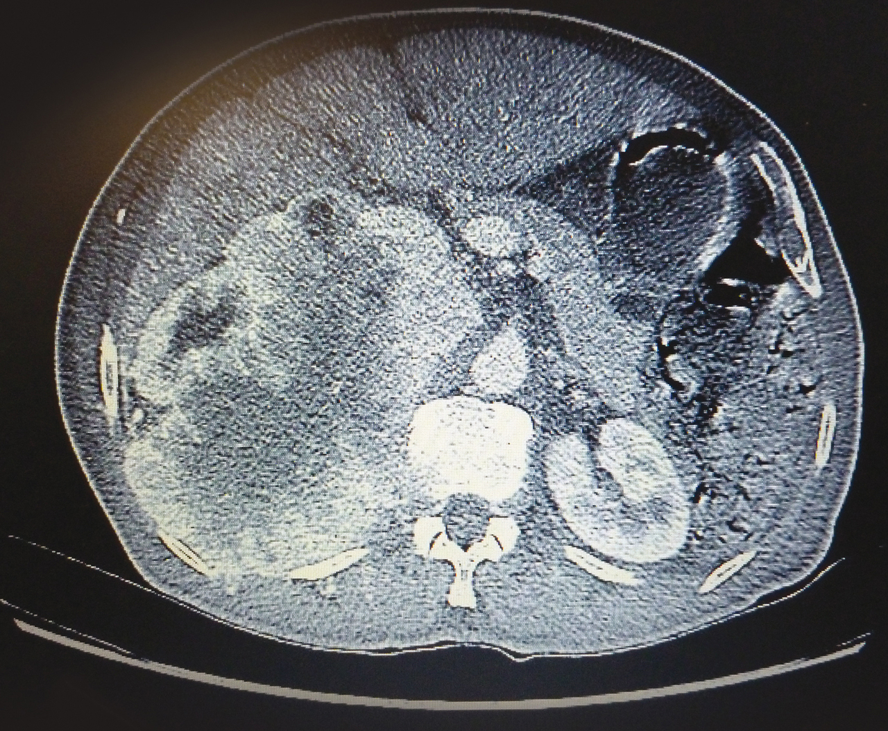
Quel est votre diagnostic ?

Il s'agit d'un cancer du rein.
Pour en savoir plus :
- Flamand V, Lamandé N. Tumeurs du rein. Rev Prat 2017;67(3):e143-52.
- Flamand V, Lamandé N. Kyste ou cancer du rein : prise en charge diagnostique. Rev Prat 2017;67(3):e153-5.