Quel est votre diagnostic ?

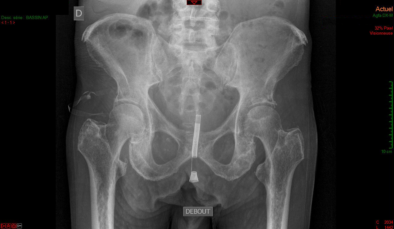
Il s'agit d'une prothèse de Fabian.
- Chevrot A, Droupy S. Chirurgie cosmétique du pénis. Rev Prat 2017;67(6):623-7.
Quel est votre diagnostic ?

Il s'agit d'une prothèse de Fabian.
- Chevrot A, Droupy S. Chirurgie cosmétique du pénis. Rev Prat 2017;67(6):623-7.
Exercez-vous aux ECN avec les dossiers progressifs et les LCA de La Revue du Praticien