Quel est votre diagnostic ?

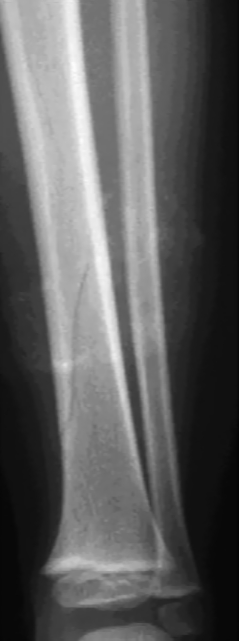
Il s'agit de l'aspect radiologique d'une fracture sous-périostée chez l'enfant. Si certaines fractures sont proches de celles rencontrées chez l'adulte, d'autres sont en revanche spécifiques à l'enfant : fractures en motte de beurre, fractures en bois vert, déformation plastique, fractures sous-périostées, décollements épiphysaires. L'os de l'enfant est moins résistant que celui de l'adulte mais il n'y a pas de fracture sans traumatisme, donc pas de fracture avant l'âge de la marche. Le bilan radiographique comprend des clichés avec incidences de face et de profil, englobant les articulations sus- et sous-jacentes. Les clichés comparatifs ne sont pas nécessaires. Ces clichés sont réalisés après antalgie efficace (paracétamol et anti-inflammatoires non stéroïdiens). La fracture sous-périostée chez le jeune enfant respecte le périoste et donc ne se déplace pas.Majoritairement localisée au membre inférieur, le tableau est dominé par une impotence fonctionnelle plus ou moins douloureuse, une boiterie, avec une douleur reproduite à la percussion osseuse et aux mouvements de rotation. Les radiographies initiales sont souvent normales, et le diagnostic posé à distance, vers le 10e jour, lors de l'apparition d'un cal osseux. Le traitement est orthopédique, par simple décharge si l'enfant est peu douloureux, ou par immobilisation plâtrée 3 semaines dans les situations algiques. La radiographie de contrôle n'est pas systématique.