Quel est votre diagnostic ?

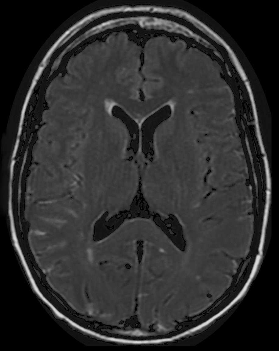
Il s'agit d’une IRM cérébrale en séquence FLAIR montrant des hypersignaux linéaires des espaces sousarachnoïdiens (flèches), l’hyperdensité de ces espaces signant l’hémorragie méningée. L’imagerie cérébrale occupe une place centrale dans le diagnostic initial, le suivi et le traitement des patients atteints d’hémorragie méningée. Un scanner doit être réalisé en urgence, il démontre une hyperdensité des espaces sousarachnoïdiens, évalue la sévérité par l’échelle de Fisher et recherche les complications précoces. Si l’IRM est accessible et que l’état du patient est compatible, les séquences FLAIR, T2* ou imagerie pondérée en susceptibilité magnétique (SWI) peuvent remplacer le scanner cérébral sans injection, avec une sensibilité plus élevée pour le diagnostic d’hémorragie méningée.