Quel est votre diagnostic ?
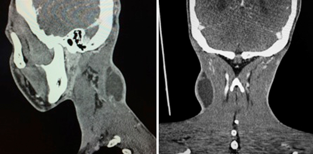
Il s'agit de l’image TDM d’une adénopathie cervicale haute latéralisée à droite, nécrotique, à parois épaissies révélant une tuberculose ganglionnaire chez un patient de 26 ans. Les mycobactéries en cause dans les adénopathies d’origine infectieuse sont le plus souvent Mycobacterium tuberculosis. Les adénopathies sont le plus souvent unilatérales, volumineuses, peu inflammatoires et évoluent parfois vers une fistulisation cutanée. Le diagnostic peut être aiguillé par l’imagerie, mais repose avant tout sur une ponction­biopsie de l’adénopathie avec examen direct et culture, voire PCR. L’intradermoréaction tuberculinique ou la détection de la production d’interféron gamma peuvent également être utiles. Il faut penser à chercher d’autres localisations tuberculeuses ainsi qu’une immunodépression sous­jacente. Le traitement repose sur une quadrithérapie antituberculeuse prolongée. Lorsque ce sont des mycobactéries atypiques, il s’agit d’infections à Mycobacterium avium ou scrofulaceum. Le scanner est aujourd’hui très souvent réalisé en première intention du fait de son accessibilité, de sa grande reproductibilité et d’une exploration complète ; il est néanmoins plus coûteux que l’échographie et nécessite une injection de produit de contraste ; son principal intérêt réside dans l’exploration des chaînes ganglionnaires profondes.

Exercez-vous aux ECN avec les dossiers progressifs et les LCA de La Revue du Praticien