Quel est votre diagnostic ?

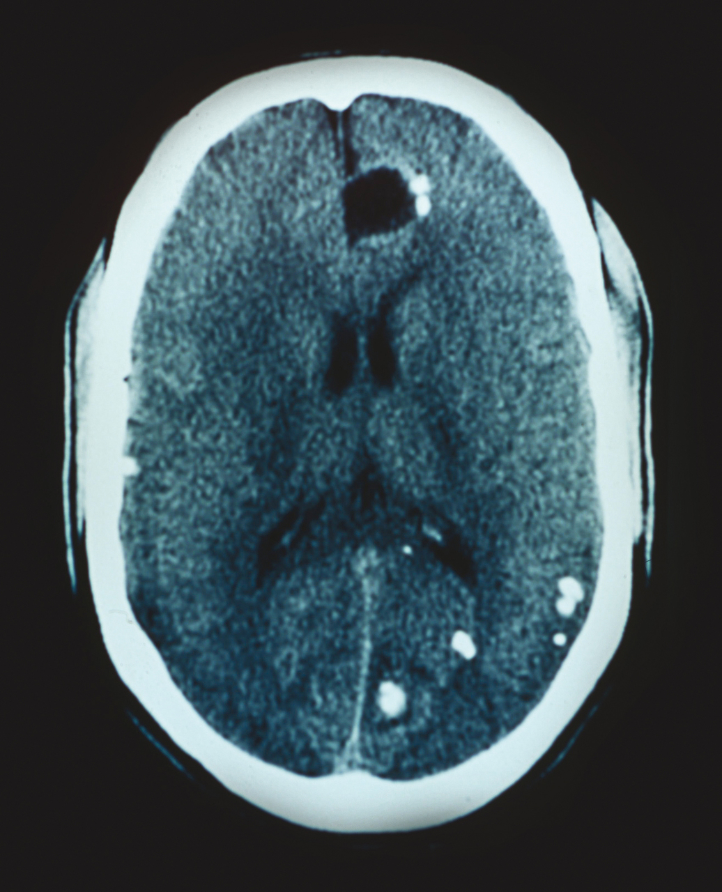
Il s'agit d'une neurocysticercose. La tomodensitométrie cérébrale révèle des images caractéristiques : images calcifiées et lacunes hypodenses. Le sérodiagnostic du Taenia du porc ou Solium est positif en ce cas. Les larves de Taenia Solium, libérées par les sucs gastriques, traversent la paroi digestive et passent dans la circulation pour former des kystes dans les muscles, l'œil et le cerveau (neurocysticercose), pouvant être responsable de convulsions. Les kystes entraînent d'abord une réaction granulomateuse puis se calcifient, et les symptômes dépendent essentiellement de leur localisation. Au cours de la neurocysticercose, toute la symptomatologie neurologique est possible, en fonction des localisations, des rapports anatomiques et du nombre de lésions. À La Réunion, la cysticercose est considérée comme la première cause d'épilepsie. La prévention impose la consommation de viande cuite ou congelée (de façon industrielle, les congélateurs familiaux ne permettant pas d'atteindre la température nécessaire), la surveillance vétérinaire des abattoirs, et la lutte contre le péril fécal.