Quel est votre diagnostic ?

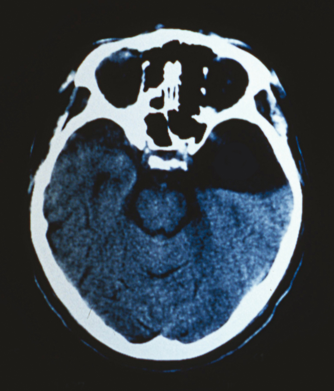
Il s'agit d'un kyste arachnoïdien. Les kystes arachnoïdiens sont des accumulations de liquide céphalorachidien à l'intérieur de la membrane arachnoïdienne. Ils sont le plus souvent supratentoriels, la localisation temporale étant la plus fréquente. Environ 1 % des kystes entraînent des symptômes essentiellement neurologiques (céphalées, crises convulsives, troubles neurocognitifs, ataxie, hydrocéphalie) et parfois endocriniens. Un traitement n'est proposé qu'en cas de signes cliniques. La dérivation kystopéritonéale isolée est la technique la plus employée
Pour en savoir plus :
- Baallal H, Gazzaz M, El Mostarchid B. Kyste arachnoïdien. Rev Prat 2014;64(4):467.
- Dubois-Laurent M, Lemonnier JY. Démence curable ? Rev Prat Med Gen 2012;26(886):588.
- Gosalakkal JA. Intracranial arachnoid cysts in children: a review of pathogenesis, clinical features, and management. Pediatr Neurol 2002;26:93-8.
- Cincu R, Agrawal A, Eiras J. Intracranial arachnoid cysts: current concepts and treatment alternatives. Clin Neurol Neurosurg 2007;109:837-43.
- Kandenwein JA, Richter HP, Börm W. Surgical therapy of symptomatic arachnoid cysts - an outcome analysis. Acta Neurochir (Wien) 2004;146:1317-22.