Quel est votre diagnostic ?

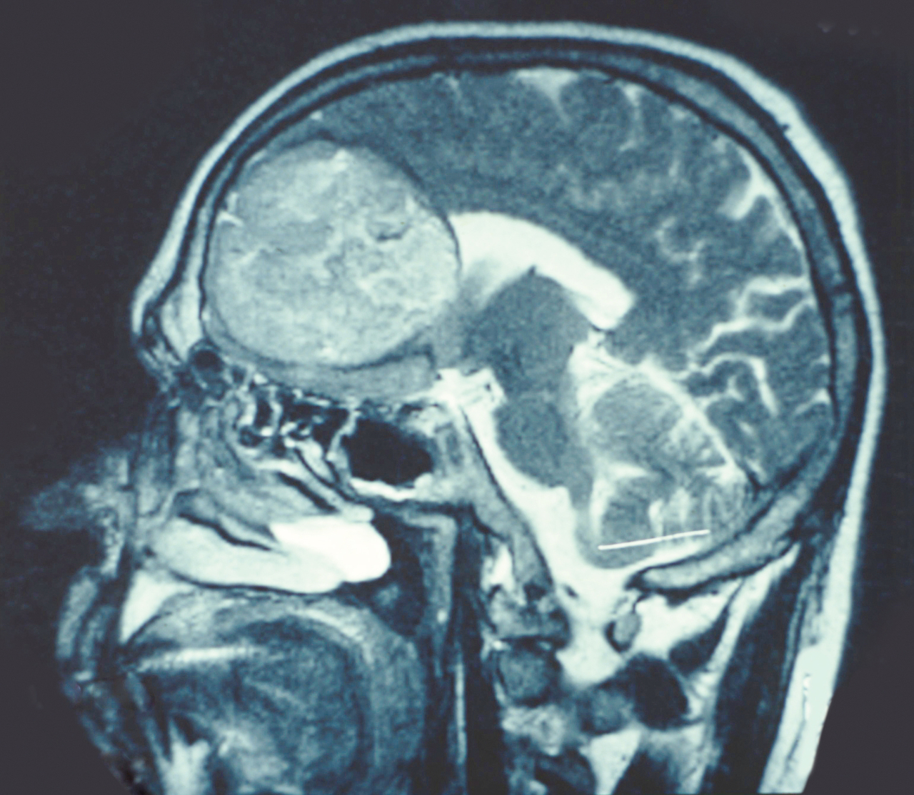
Il s'agit de l’aspect IRM en coupe sagittale d’un oligodendrogliome. Les gliomes sont les tumeurs les plus fréquentes du système nerveux central. Les gliomes sont classés en fonction des types cellulaires dont on suppose qu’ils sont issus : les astrocytes et les oligodendrocytes. Les manifestations cliniques inaugurales des tumeurs cérébrales sont dues à leur croissance et résultent de mécanismes différents pouvant coexister selon la nature, la localisation et la vitesse de croissance de la tumeur ainsi que la capacité à générer un œdème péritumoral et une hémorragie intratumorale. Alors que les tumeurs "bénignes", quand elles sont corticales, sont souvent révélées par une épilepsie ou de découverte fortuite, l’apparition d’un déficit doit faire craindre une transformation anaplasique.