Quel est votre diagnostic ?

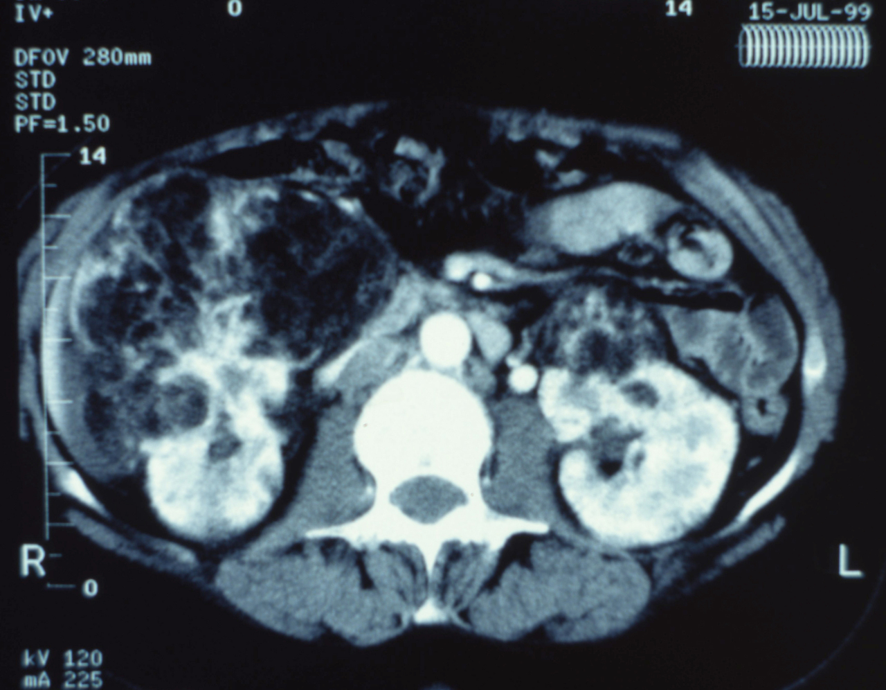
Il s'agit de l'aspect radiologique d'un angiomyolipome du rein droit. Il s'agit d'une tumeur bénigne, qui présente trois composantes différentes : musculaire, vasculaire et graisseuse, dont la distribution est variable. L'angiomyolipome se présente le plus souvent comme une tumeur unique, volumineuse, asymptomatique, découverte à la cinquième décennie chez la femme et survenant dans la majorité des cas en dehors de tout contexte de phacomatose (dans la sclérose tubéreuse de Bourneville il existe une atteinte rénale bilatérale et multiple). L'expression clinique est directement fonction de la taille ; environ 80 % des lésions de moins de 4 cm sont asymptomatiques, alors que 80 % des lésions de plus de 4 cm s'expriment par une douleur lombaire ou une hématurie. Le diagnostic d'angiomyolipome repose sur l'examen tomodensitométrique abdominal, qui va permettre la mise en évidence d'une composante graisseuse quasi-pathognomonique. La fréquence des remaniements hémorragiques de ce type de lésion d'une part, la nécessité d'un diagnostic différenciel avec une lésion rénale maligne d'autre part, nécessitent de définir une stratégie adaptée diagnostique et thérapeutique. Un angiomyolipome unique, de moins de 4 cm de diamètre, nécessite une surveillance radiologique au moins tous les deux ans. Par contre, lorsqu'il existe un doute diagnostique ou une suspicion de tumeur maligne, l'exploration chirurgicale avec un examen extemporané s'impose.