Quel est votre diagnostic ?

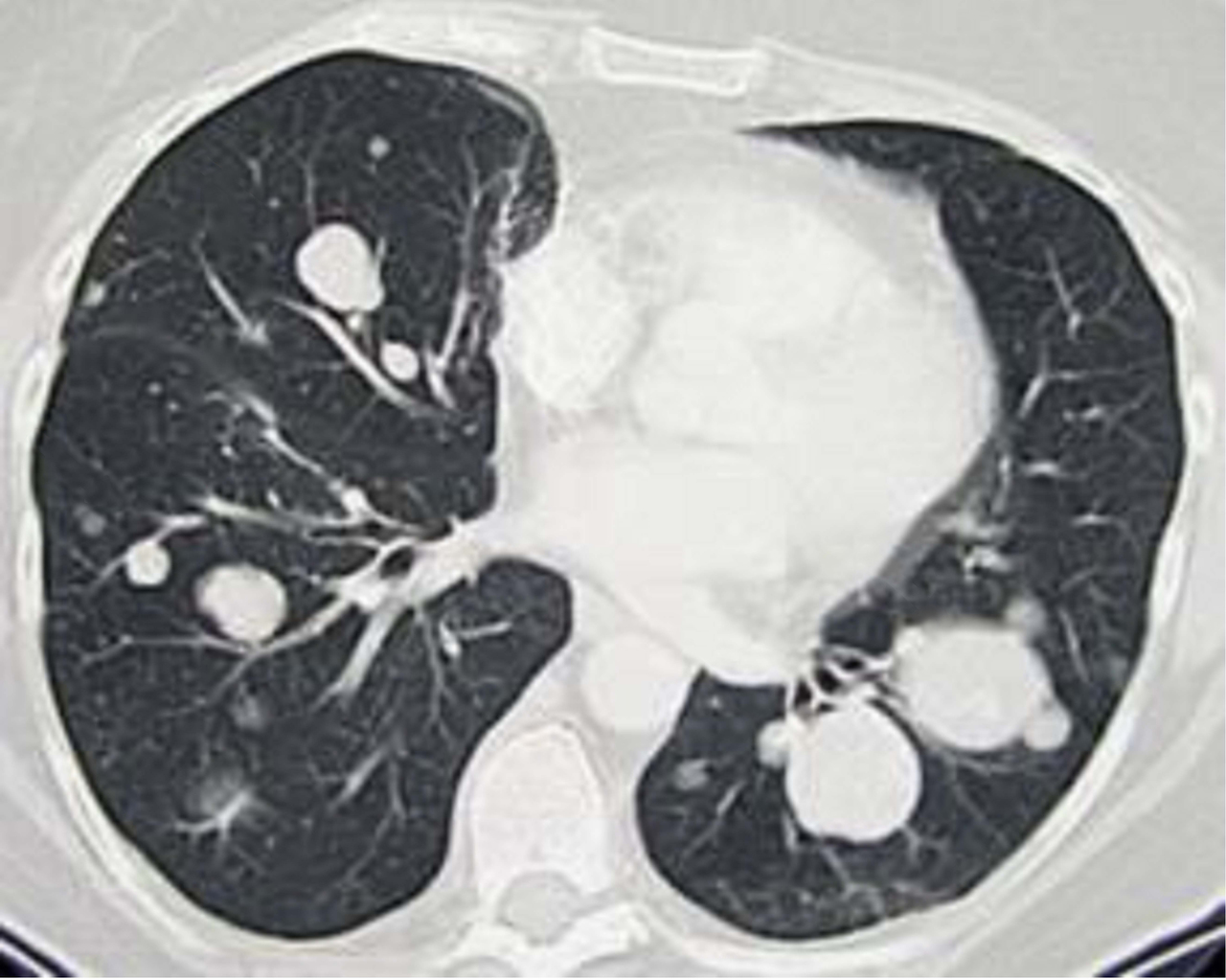
Il s'agit de l'aspect tomodensitométrique de métastases pulmonaires multiples en lâcher de ballons. Il s'agit ici de métastases multiples d'un sarcome des parties molles, traité par chimiothérapie. Si plus de 80 % des lésions cancéreuses ont des bords spiculés, près de 30 % des lésions infectieuses ont des limites floues. De même, des contours nets et bien délimités caractérisent généralement les lésions bénignes (80 % des cas), mais sont observés aussi en cas de lésion sarcomateuse, primitive ou métastatique comme ici.