Quel est votre diagnostic ?

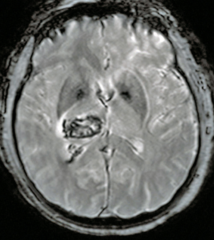
Il s'agit d'un hématome intracérébral thalamique droit en IRM séquence T2*. L'hématome intracérébral est une collection de sang consécutive à la rupture d'un vaisseau intracrânien. L'hypertension artérielle est la première cause et l'hémorragie est alors très souvent localisée au niveau des noyaux gris centraux. La deuxième cause est la rupture d'une malformation vasculaire, que ce soit une malformation artérioveineuse, un anévrisme ou un cavernome. Parmi les autres causes, on cite la thrombophlébite cérébrale, les troubles de la coagulation et l'angiopathie amyloïde. Le scanner cérébral, qui est l'examen de référence en cas d'hémorragie cérébrale, met en évidence une plage en hyperdensité et est le plus souvent complété d'un scanner cérébral avec injection et d'un angioscanner cérébral à visée étiologique (recherche de tumeur, de malformation vasculaire, de thrombose veineuse cérébrale). L'IRM cérébrale avec ARM peut être intéressante lorsque le scanner n'est pas contributif pour rechercher une cause de l'hémorragie.