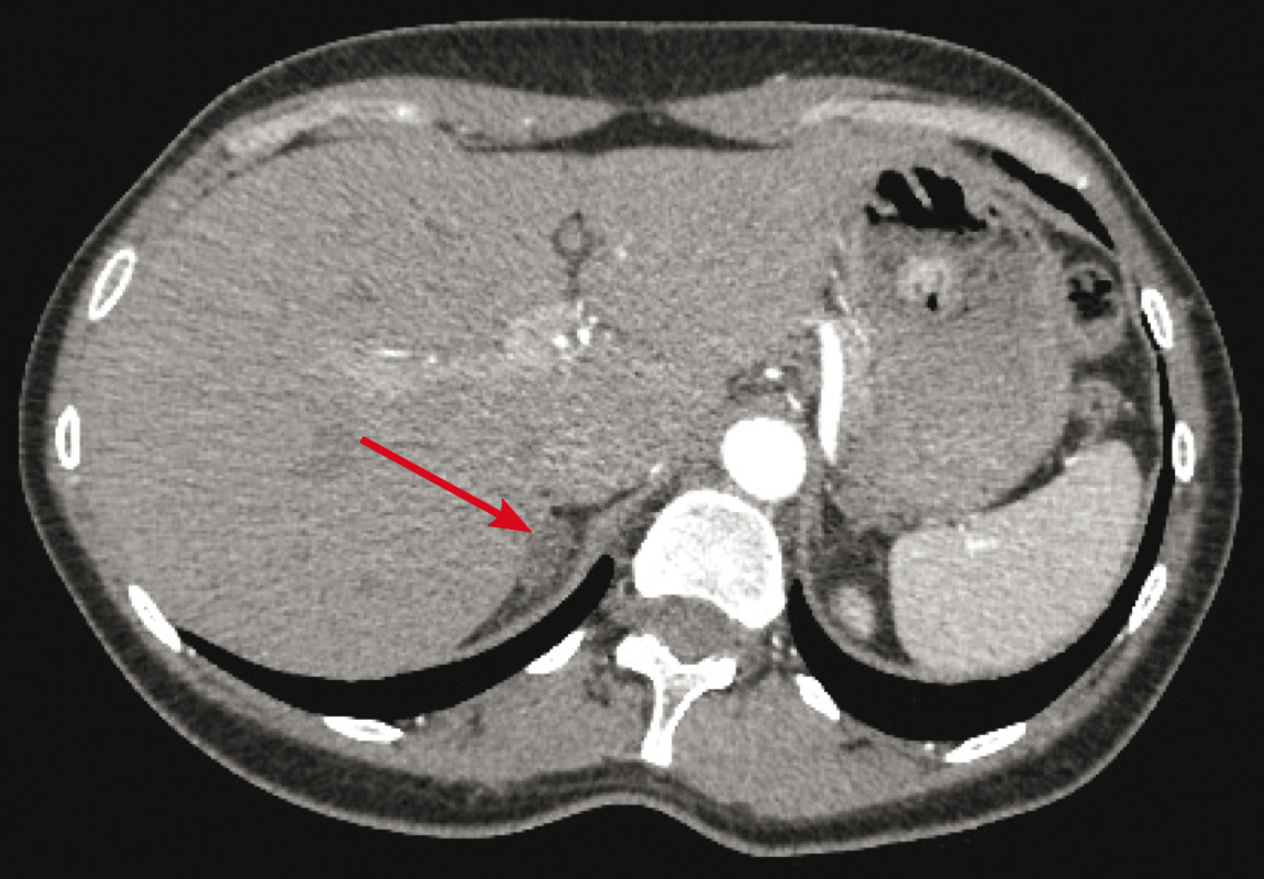
Quel est votre diagnostic ?

Il s'agit de l'aspect tomodensitométrique d'un adénome producteur d'aldostérone avec nodule surrénal droit de 17 mm de grand axe et de densité de 4 unités Hounsfield (UH). Une fois le diagnostic hormonal d'hyperaldostéronisme primaire confirmé, une imagerie des surrénales est réalisée, le plus souvent par tomodensitométrie (TDM). L'objectif est double :
– éliminer une tumeur maligne par la taille (un cortico-surrénalome mesure généralement plus de 4 cm) et la densité avant injection (une lésion < 10 unités Hounsfield est un adénome dans 98 % des cas) ;
– rechercher un adénome producteur d'aldostérone typique, décrit comme un nodule surrénal unique, de 10 à 20 mm de grand axe, sans lésion de la surrénale controlatérale comme ici. La TDM suggère mais ne permet pas d'affirmer la présence d'un hyperaldostéronisme primaire unilatéral. Les incidentalomes de petite taille sont en effet fréquents et peuvent être associés à une hyperplasie bilatérale. Plusieurs études ont montré que si la décision de surrénalectomie n'était prise que sur la TDM, 20 % des patients ayant un hyperaldostéronisme primaire latéralisé n'auraient pas été opérés et la chirurgie aurait été proposée à 25 % des patients ayant un hyperaldostéronisme primaire bilatéral. La fréquence des incidentalomes augmente avec l'âge ; <em>a contrario,</em> on estime qu'avant 35 ans un hyperaldostéronisme primaire associé à un nodule surrénal unique est un adénome producteur d'aldostérone.