Quel est votre diagnostic ?

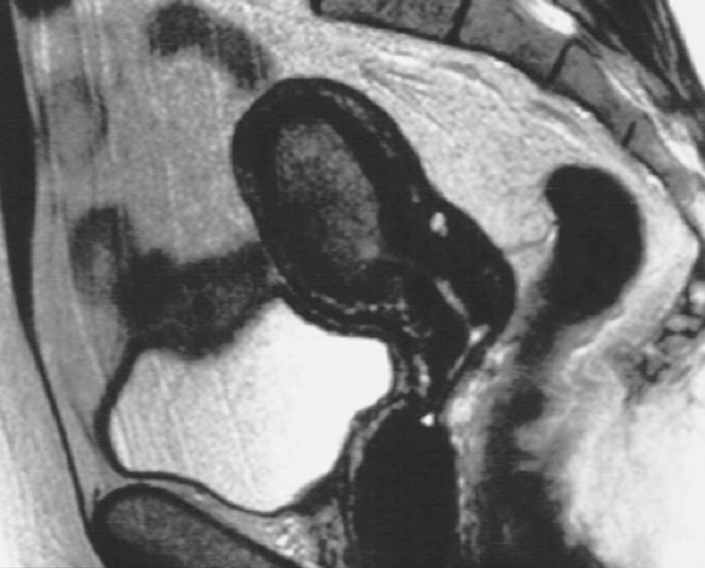
Il s'agit d'une IRM pelvienne révélant un cancer de l'endomètre. Le cancer de l'endomètre est le cancer gynécologique pelvien le plus fréquent en France. Il est suspecté devant des métrorragies post-ménopausiques qui doivent faire l'objet d'un bilan étiologique. Le pronostic favorable des stades localisés (survie relative à 5 ans = 95 %) renforce la nécessité d'un diagnostic précoce. Contrairement au cancer du col de l'utérus, il n'existe pas de dépistage du cancer de l'endomètre. L'IRM pelvienne associée à une exploration des aires ganglionnaires lombo-aortiques est l'examen de référence. Cette IRM doit évaluer 5 paramètres : le volume tumoral, le degré d'infiltration myométriale, la présence d'adénopathies iliaques ou lomboaortiques, l'atteinte éventuelle du col ou des organes de voisinage.