Quel est votre diagnostic ?
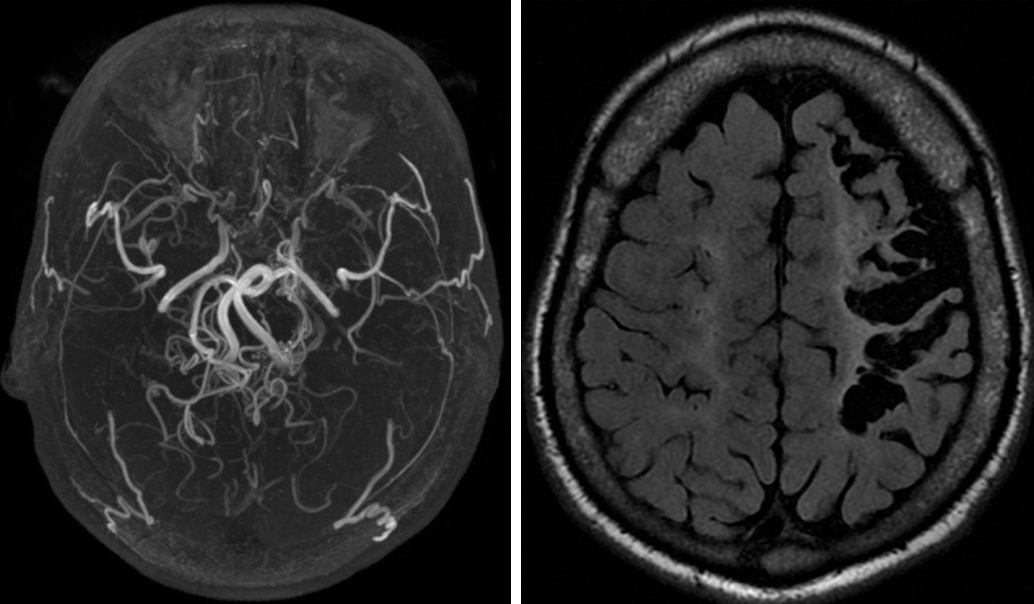
Il s'agit d'une atteinte vasculaire cérébrale de type Moya Moya avec séquelle d'accident ischémique cérébral sylvien G chez un patient drépanocytaire (imagerie et angiographie par résonance magnétique). Les atteintes vasculaires cérébrales concernent principalement les patients drépanocytaires homozygotes. Les accidents ischémiques cérébraux des patients homozygotes surviennent principalement dans l'enfance, avec des récidives à tout âge, largement conditionnées par l'existence d'une vasculopathie sténosante. Celle-ci touche principalement les terminaisons des carotides internes, les artères cérébrales antérieures, les cérébrales moyennes, et conduit à un réseau de revascularisation anastomotique particulièrement fragile que l'on appelle la Moya Moya (par analogie à la forme asiatique). Ce réseau contre-indique tout traitement anticoagulant ou antiagrégant du fait du risque hémorragique qu'il comporte. Ainsi, lors d'un accident ischémique aigu chez un patient homozygote, il faut éliminer préalablement une Moya Moya par une angiotomodensitométrie ou une angiographie par résonance magnétique avant de proposer une éventuelle fibrinolyse.
Pour en savoir plus :- Bartolucci P, Lionnet F. Complications chroniques de la drépanocytose. Rev Prat 2014;64(8):1120-6.

Exercez-vous aux ECN avec les dossiers progressifs et les LCA de La Revue du Praticien