Quel est votre diagnostic ?

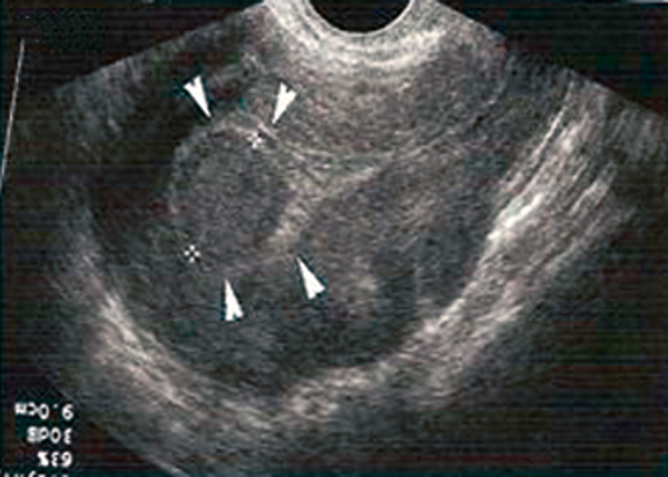
Il s'agit d'un fibrome utérin sous-muqueux. L'examen gynécologique par le toucher vaginal et le palper abdominal recherche une augmentation du volume de l'utérus dont les contours sont déformés par le ou les fibromes et/ou une masse latéro-utérine mobile avec l'utérus. L'échographie confirme le diagnostic en visualisant une masse bien limitée iso- ou hypo-échogène sans renforcement distal et développée aux dépens de l'utérus.