Quel est votre diagnostic ?
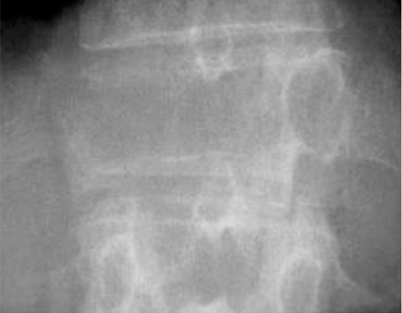
Il s'agit d'une vertèbre dite borgne.
Il manque sur la radiographie de face le pédicule droit, lysé par un processus malin, généralement une métastase. Les métastases qui constituent donc la troisième famille de tumeurs osseuses sont les plus fréquentes chez l'adulte. Leur expression est souvent agressive, mais parfois très variée, parfois mixte, associant ostéolyse et condensation. Elles peuvent atteindre les os longs, souvent en métaphyse mais également en diaphyse, et également le rachis. À ce niveau, la lyse osseuse peut induire des tassements. Ainsi, un tassement vertébral doit toujours conduire à s'interroger sur une origine banale ostéopénique ou préoccupante tumorale. Un scanner, à la recherche de signes lytiques agressifs, est souvent utile. Cette lyse vertébrale peut atteindre l'arc postérieur, notamment le pédicule, avec une image caractéristique de « lyse pédiculaire » sur le cliché de face comme montré ici, tout à fait préoccupant.
Pour en savoir plus : Dujardin F. Tumeurs des os primitives et secondaires. Rev Prat 2014;64(6):855-60. Photothèque "Tumeurs des os primitives et secondaires"

Exercez-vous aux ECN avec les dossiers progressifs et les LCA de La Revue du Praticien