Quel est votre diagnostic ?
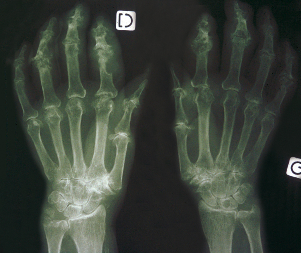
Il s'agit d'une goutte chronique.
Elle est à un stade avancé ici. La goutte tophacée peut avoir un potentiel destructeur à la fois articulaire et osseux. Même si la radiographie est utile au diagnostic différentiel et peut montrer des aspects typiques de goutte chronique, elle n'est pas utile pour confirmer le diagnostic de goutte aiguë ou récente. Au cours de la goutte chronique, les radiographies permettent de déceler des modifications ostéocartilagineuses asymétriques (mains, pieds, poignets, coudes, genoux), secondaires à la réaction inflammatoire autour des tophus, comportant :
- des érosions osseuses caractéristiques : encoche épiphysaire avec un éperon osseux (aspect en hallebarde) ;
- comme ici une image d'empreinte dans les parties molles (augmentation de la densité des parties molles dues au tophus) très évocatrice de goutte chronique ;
- un interligne tardivement conservé jusqu'au stade de goutte chronique et l'absence de raréfaction osseuse périarticulaire permettant de différencier la goutte d'autres arthropathies ;
- comme ici une destruction des interphalangiennes proximales et distales.
Pour en savoir plus : Chalès G, Guggenbuhl P. Arthropathie micro-cristalline. Rev Prat 2013;63:709-20.

Exercez-vous aux ECN avec les dossiers progressifs et les LCA de La Revue du Praticien