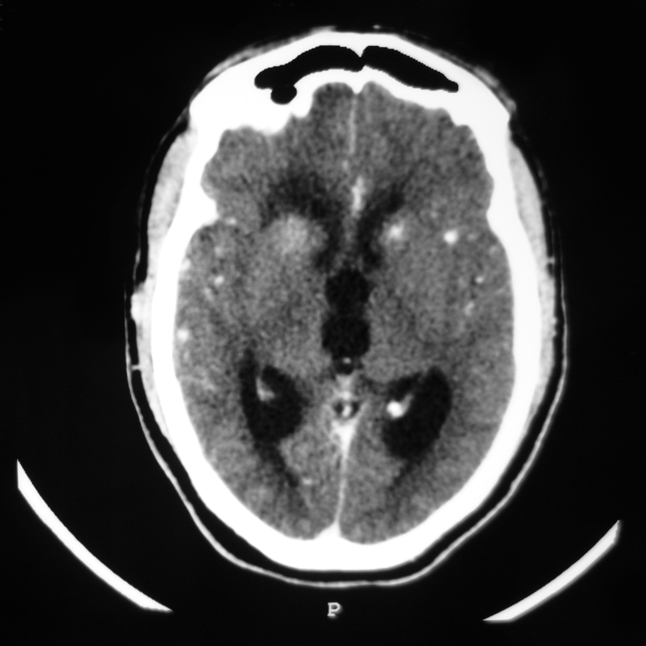
Quel est votre diagnostic ? Tuberculomes Post-artériographie cérébrale Métastases d'un cancer thyroïdien Cysticercose Il s'agit d'une cysticercose. Cryptococcose OK Valider mes réponses