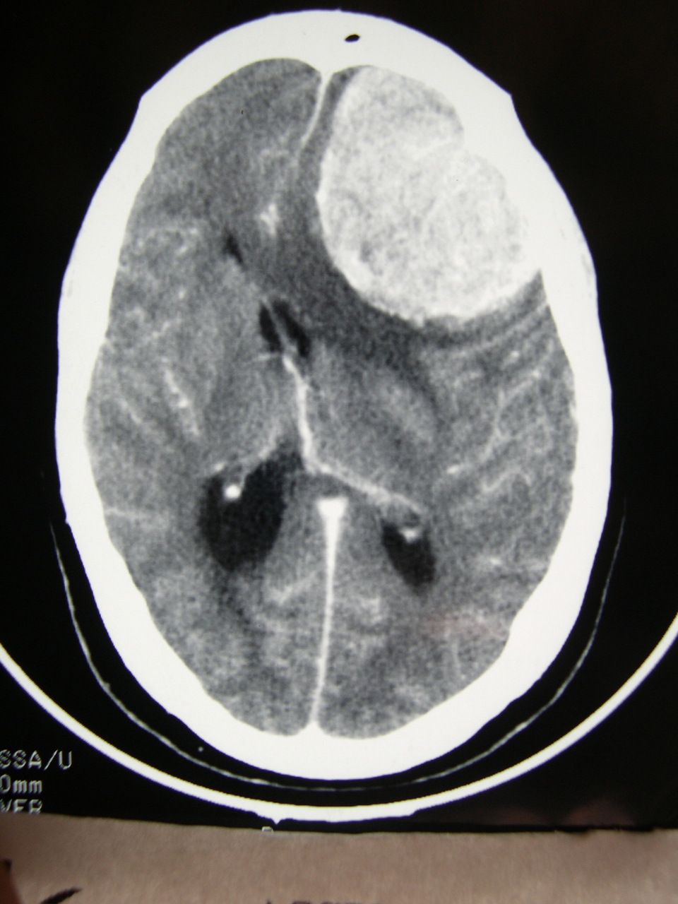
Quel est votre diagnostic ? Méningiome Angioglioblastome Sarcoïdose Pachyméningite Sclérose tubéreuse de Bourneville OK Valider mes réponses