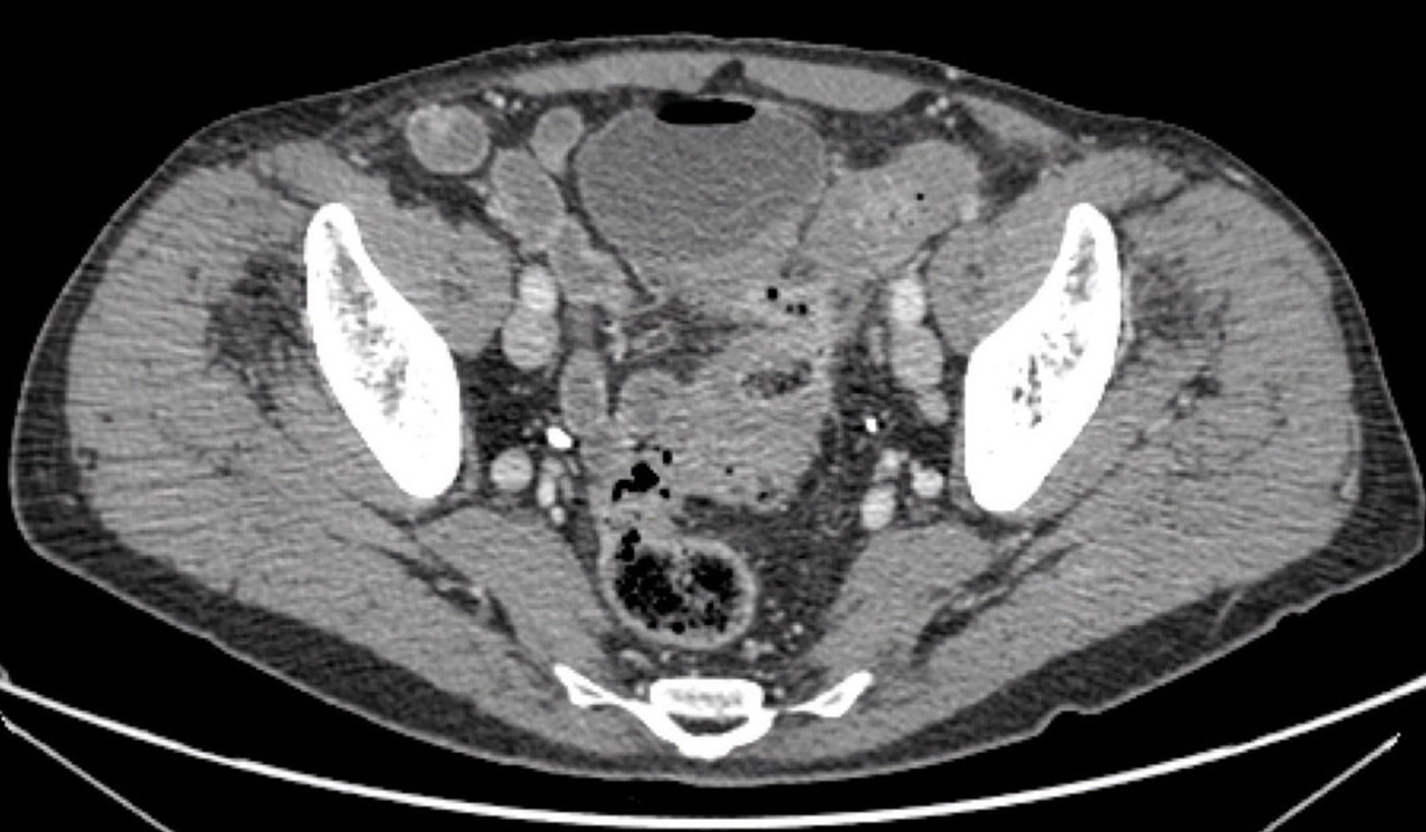
Il s’agit d’une fistule sigmoïdo-vésicale, avec présence d’air dans la vessie. Les fistules représentent 5 à 9 % des indications chirurgicales pour diverticulite sigmoïdienne compliquée. Elles correspondent au drainage du processus infectieux dans un organe de voisinage (vessie, rectum, intestin grêle, vagin, utérus) ou à l’extérieur vers la peau. Les fistules sigmoïdiennes d’origine diverticulaire peuvent compliquer le drainage percutané d’un abcès. Les plus fréquentes sont les fistules sigmoïdo-vésicales, comme dans cet exemple, qui représentent plus de 50 % des fistules. Elles surviennent préférentiellement chez l’homme ou chez la femme hystérectomisée. L’évolution naturelle avec drainage de la suppuration dans un organe creux permet en général une prise en charge chirurgicale en 1 temps avec résection sigmoïdienne et anastomose colorectale immédiate associée à la fermeture de la fistule. L’indication opératoire est formelle compte tenu du risque infectieux lié à la persistance de la fistule. L’intervention peut être réalisée par laparoscopie. En cas de dissection difficile ou de nécessité de réaliser une anastomose sous-douglassienne, certaines équipes préconisent la confection d’une stomie de protection.
Il s’agit d’une fistule sigmoïdo-vésicale, avec présence d’air dans la vessie. Les fistules représentent 5 à 9 % des indications chirurgicales pour diverticulite sigmoïdienne compliquée. Elles correspondent au drainage du processus infectieux dans un organe de voisinage (vessie, rectum, intestin grêle, vagin, utérus) ou à l’extérieur vers la peau. Les fistules sigmoïdiennes d’origine diverticulaire peuvent compliquer le drainage percutané d’un abcès. Les plus fréquentes sont les fistules sigmoïdo-vésicales, comme dans cet exemple, qui représentent plus de 50 % des fistules. Elles surviennent préférentiellement chez l’homme ou chez la femme hystérectomisée. L’évolution naturelle avec drainage de la suppuration dans un organe creux permet en général une prise en charge chirurgicale en 1 temps avec résection sigmoïdienne et anastomose colorectale immédiate associée à la fermeture de la fistule. L’indication opératoire est formelle compte tenu du risque infectieux lié à la persistance de la fistule. L’intervention peut être réalisée par laparoscopie. En cas de dissection difficile ou de nécessité de réaliser une anastomose sous-douglassienne, certaines équipes préconisent la confection d’une stomie de protection.