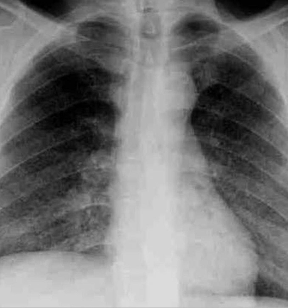
Il s’agit bien d’une miliaire tuberculeuse.
Les mécanismes qui déclenchent l’évolution d’une tuberculose latente vers une tuberculose maladie mettent en jeu une rupture de l’équilibre entre la réplication bacillaire et son contrôle par la réponse immunitaire, avec un affaiblissement de celle-ci. Cela explique pourquoi les tests diagnostiques immunologiques (IDR, IGRA) sont bien moins performants au stade de tuberculose maladie qu’au stade d’infection tuberculeuse latente.
Les mécanismes qui déclenchent l’évolution d’une tuberculose latente vers une tuberculose maladie mettent en jeu une rupture de l’équilibre entre la réplication bacillaire et son contrôle par la réponse immunitaire, avec un affaiblissement de celle-ci. Cela explique pourquoi les tests diagnostiques immunologiques (IDR, IGRA) sont bien moins performants au stade de tuberculose maladie qu’au stade d’infection tuberculeuse latente.