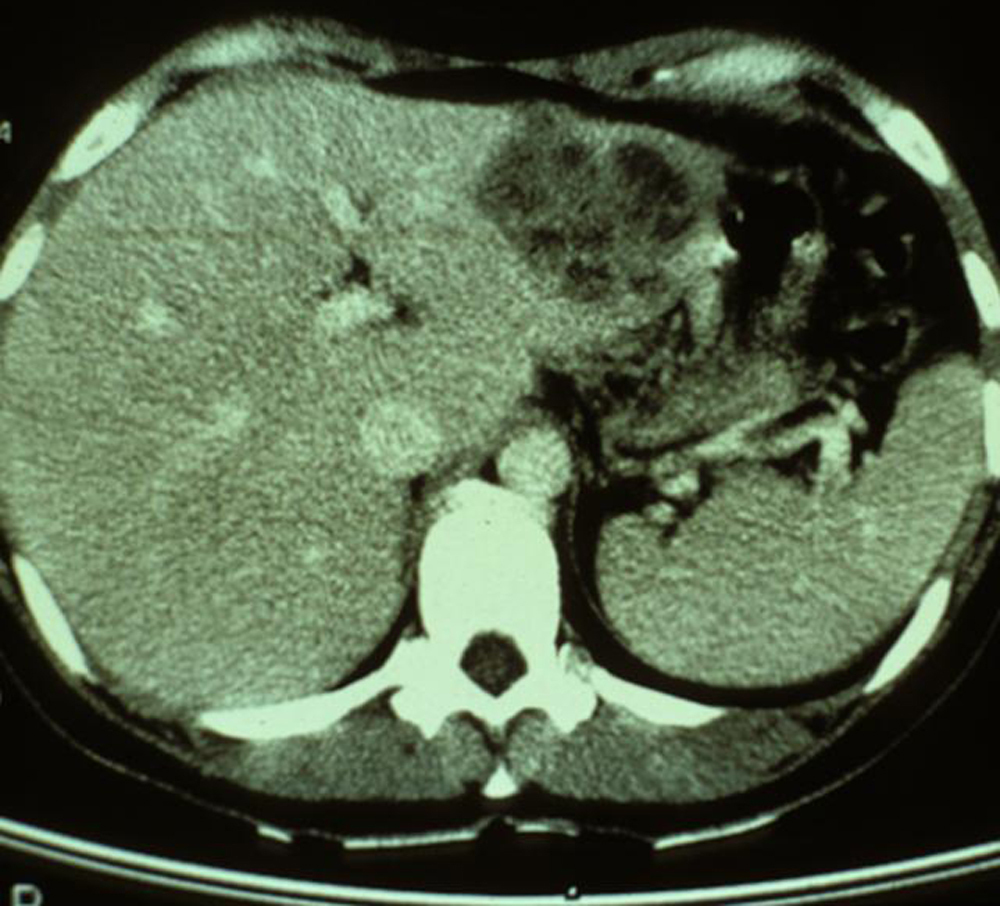
Il s’agit d’une distomatose hépatique ou grande douve du foie due à Fasciola hepatica. Sur cette tomodensitométrie hépatique on observe, outre une hépatomégalie, des images hépatiques hypodenses avec des hématomes sous-capsulaires.
Le patient peut rester asymptomatique, et le diagnostic est fortuit : enquête dans l’entourage d’un patient connu ou découverte inopinée d’une hyperéosinophilie sanguine. En cas d’affection patente, les symptômes varient selon le stade de la maladie. Pendant la phase de migration larvaire, les patients se plaignent surtout de douleurs de l’hypocondre droit, avec une fébricule à 38 °C et des réactions allergiques (prurit, urticaire, arthralgies, dermographisme). À la phase d’état (à partir du 3e mois), le parasite adulte, installé dans les voies biliaires, peut provoquer un tableau d’angiocholite ou de véritables crises de coliques hépatiques évoquant une lithiase du cholédoque, avec douleurs, fièvre et ictère et parfois un syndrome pancréatique.
Il s’agit d’une distomatose hépatique ou grande douve du foie due à Fasciola hepatica. Sur cette tomodensitométrie hépatique on observe, outre une hépatomégalie, des images hépatiques hypodenses avec des hématomes sous-capsulaires.
Le patient peut rester asymptomatique, et le diagnostic est fortuit : enquête dans l’entourage d’un patient connu ou découverte inopinée d’une hyperéosinophilie sanguine. En cas d’affection patente, les symptômes varient selon le stade de la maladie. Pendant la phase de migration larvaire, les patients se plaignent surtout de douleurs de l’hypocondre droit, avec une fébricule à 38 °C et des réactions allergiques (prurit, urticaire, arthralgies, dermographisme). À la phase d’état (à partir du 3e mois), le parasite adulte, installé dans les voies biliaires, peut provoquer un tableau d’angiocholite ou de véritables crises de coliques hépatiques évoquant une lithiase du cholédoque, avec douleurs, fièvre et ictère et parfois un syndrome pancréatique.