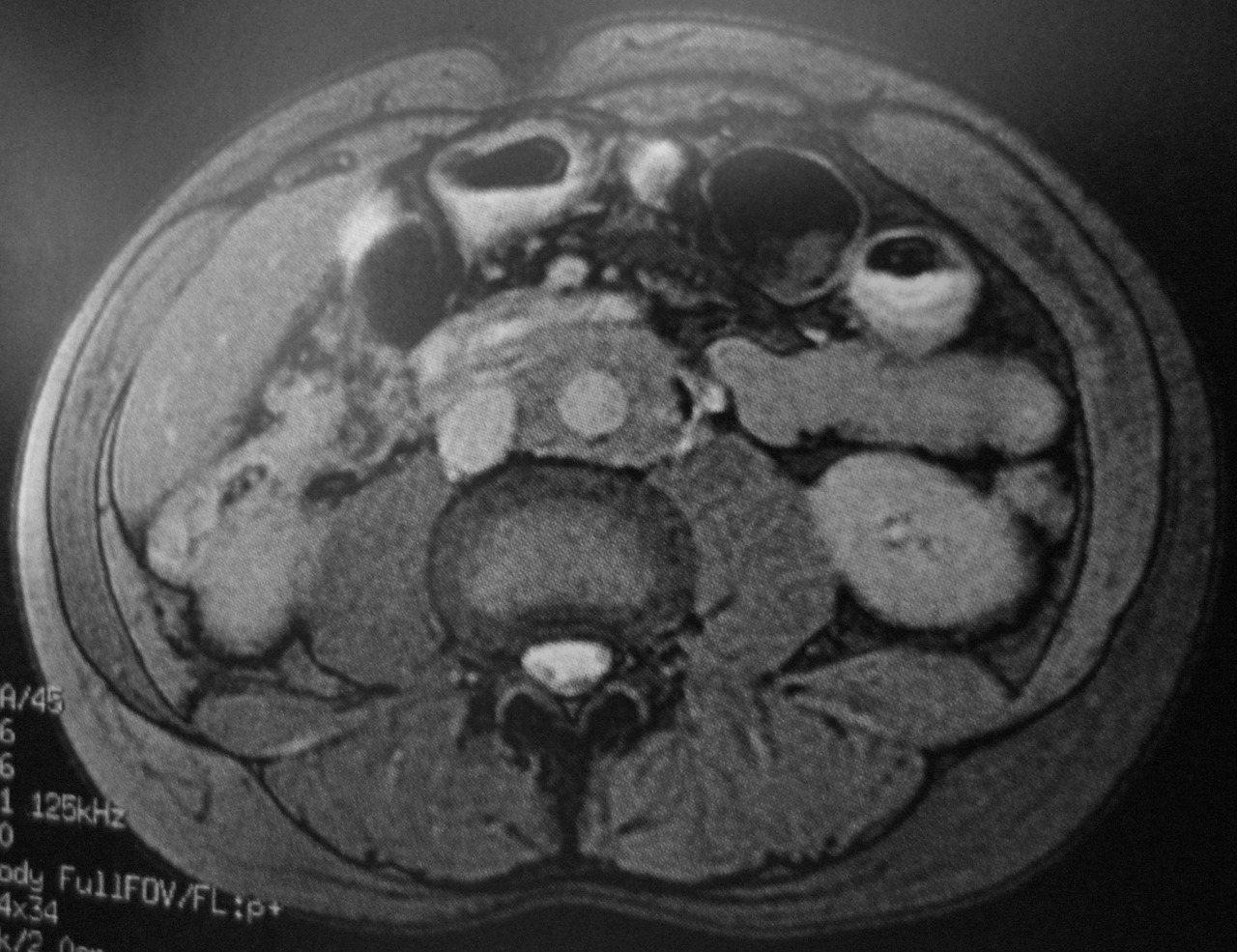
Quel est votre diagnostic? Maladie d'Erdheim-Chester Lymphome Fibrose rétropéritonéale Léiomyosarcome Anevrisme aorte abdominale OK Il s'agit de la fibrose rétropéritonéale. Valider mes réponses
Il s'agit de la fibrose rétropéritonéale.