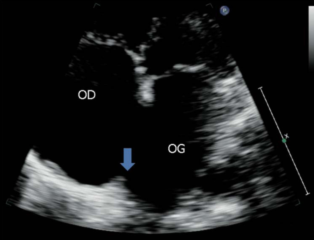
Il s’agit d’une cardiopathie congénitale. L’échocardiographie transthoracique (vue 4 cavités) montre ici une large communication interauriculaire avec peu de berge postérieure (flèche), rendant cette communication interauriculaire peu propice à la fermeture percutanée. Mais seule l’échocardiographie transœsphagienne, voire la tentative de fermeture percathétérisme, permettra de confirmer sa non-faisabilité. Si la fermeture des communications interauriculaires de type sinus venosus et ostium primum est toujours chirurgicale, les communications ostium secundum sont majoritairement fermées par cathétérisme interventionnel. Alors qu’initialement, seules les communications d’un diamètre maximal de 20 mm et centrales étaient fermées par cathétérisme, il est possible aujourd’hui de fermer des communications ayant jusqu’à 38 mm de diamètre, voire un peu plus, ce qui représente environ 80 à 90 % d’entre elles. Les limites sont la dimension totale du septum et l’existence de berges. Les larges communications ayant peu ou pas de berge postéro- inférieure sont peu propices à la fermeture percutanée comme ici. Pour en savoir plus : - Iserin L. Quelles cardiopathies congénitales posent des problèmes à l'âge adulte ? Rev Prat 2013;63(3):363-8. - Thambo JB. Rôle du médecin généraliste dans le suivi des cardiopathies congénitales à l'âge adulte. Rev Prat 2013;63(3):369-74. - Schouvey S, Assaidi A, Fraisse A. Communication interauriculaire à l'âge adulte. Rev Prat 2013;63(3):375-6. - Ladouceur M, Cohen S, Bidet M, Legendre A, Iserin L. Contraception et cardiopathies congénitales. Rev Prat 2013;63(3):377-9.
- Iserin L. Quelles cardiopathies congénitales posent des problèmes à l'âge adulte ? Rev Prat 2013;63(3):363-8.
- Thambo JB. Rôle du médecin généraliste dans le suivi des cardiopathies congénitales à l'âge adulte. Rev Prat 2013;63(3):369-74.
- Schouvey S, Assaidi A, Fraisse A. Communication interauriculaire à l'âge adulte. Rev Prat 2013;63(3):375-6.
- Ladouceur M, Cohen S, Bidet M, Legendre A, Iserin L. Contraception et cardiopathies congénitales. Rev Prat 2013;63(3):377-9.