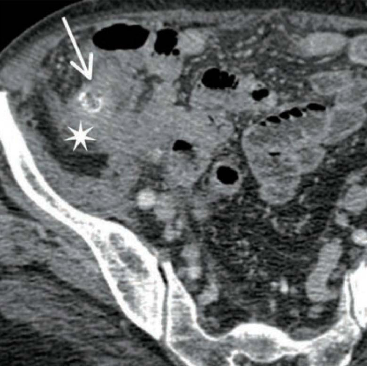
Quel est votre diagnostic ? Une TDM abdominopelvienne montrant un stercolithe Une TDM abdominopelvienne confirmant l’absence d’un appendice épaissi Une TDM abdominopelvienne normale Une IRM abdominale montrant un stercolithe Une IRM abdominale confirmant la présence d’un appendice épaissi OK Il s’agit d’une tomodensitométrie abdominopelvienne avec injection de produit de contraste chez une patiente ayant des douleurs diffuses avec syndrome infectieux biologique : l’appende est épaissi (tête de flèche) avec un stercolithe (flèche). Valider mes réponses