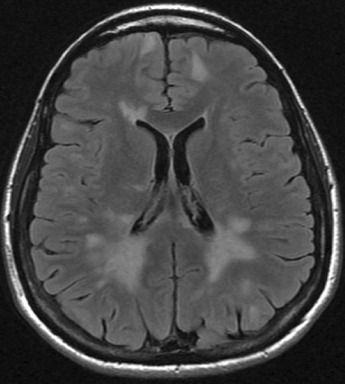
Il s’agit d’une IRM cérébrale en coupe axiale, séquence FLAIR montrant des hypersignaux diffus en plage périventriculaire typique d’une sclérose en plaques.
En révélant la dissémination spatiale des lésions de démyélinisation, l’IRM permet un diagnostic de la maladie dès le premier épisode clinique évocateur. La sclérose en plaques est une maladie complexe inflammatoire, démyélinisante et dégénérative. Les traitements disponibles dans cette affection sont actifs sur la composante inflammatoire réduisant la fréquence des poussées et la progression du handicap à long terme. Les traitements les plus récents ont une efficacité supérieure aux précédents mais leur risque est aussi beaucoup plus élevé. La décision thérapeutique doit de ce fait être prise au cas par cas, après une réflexion collégiale approfondie sur le meilleur rapport bénéfice/risque.
En révélant la dissémination spatiale des lésions de démyélinisation, l’IRM permet un diagnostic de la maladie dès le premier épisode clinique évocateur. La sclérose en plaques est une maladie complexe inflammatoire, démyélinisante et dégénérative. Les traitements disponibles dans cette affection sont actifs sur la composante inflammatoire réduisant la fréquence des poussées et la progression du handicap à long terme. Les traitements les plus récents ont une efficacité supérieure aux précédents mais leur risque est aussi beaucoup plus élevé. La décision thérapeutique doit de ce fait être prise au cas par cas, après une réflexion collégiale approfondie sur le meilleur rapport bénéfice/risque.