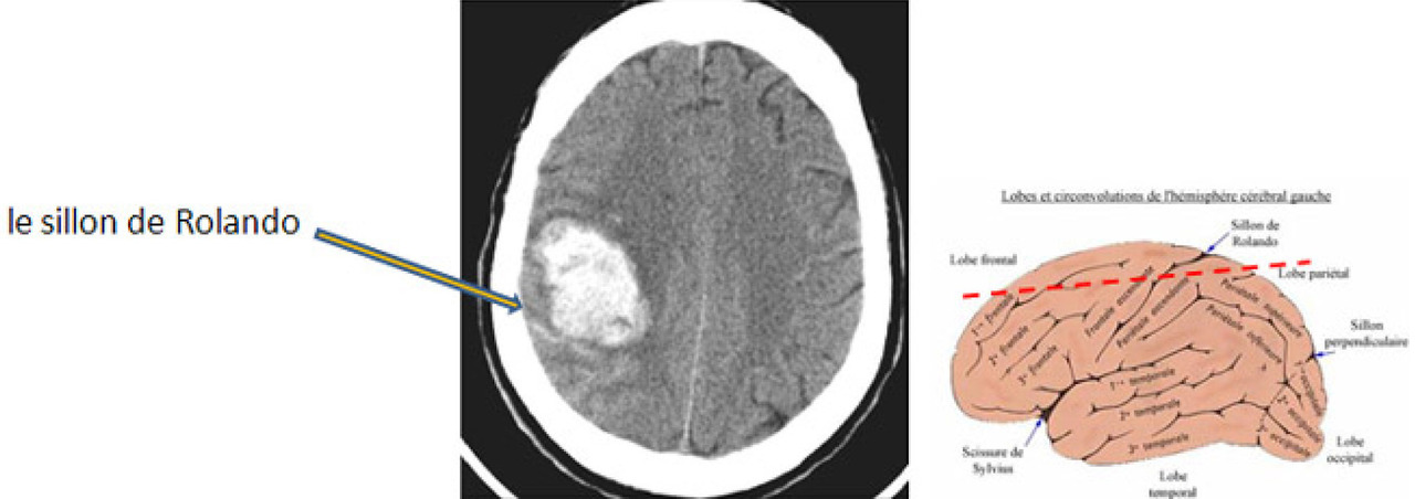
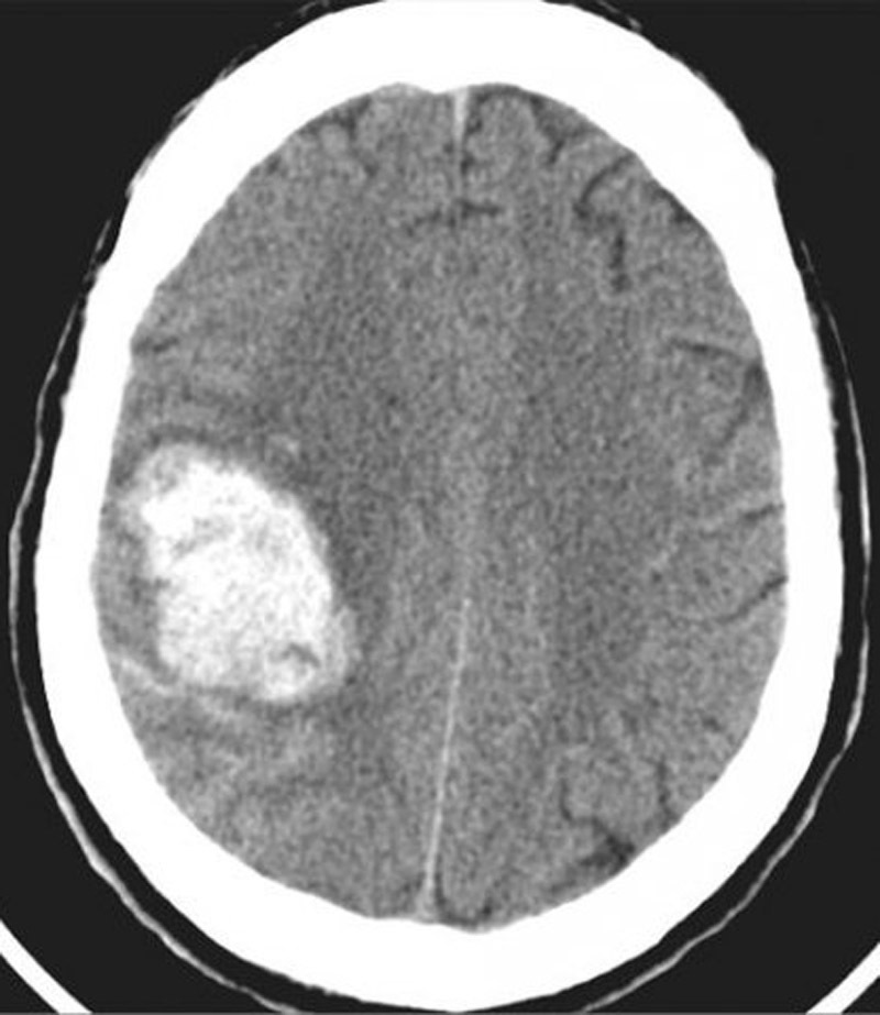
Il s’agit d’un hématome cortical sur une coupe TDM cérébrale sans injection. L’hémorragie apparaît comme une zone spontanément hyperdense. Ici il s’agit d’une hyperdensité spontanée frontale droite. Il s'agit bien d'un hématome frontal car en avant du sillon de Rolando, qui, sur des coupes axiales, souvent obliques, est en général situé assez en arrière sur ces coupes hautes.
Il s’agit d’un hématome cortical sur une coupe TDM cérébrale sans injection. L’hémorragie apparaît comme une zone spontanément hyperdense. Ici il s’agit d’une hyperdensité spontanée frontale droite. Il s'agit bien d'un hématome frontal car en avant du sillon de Rolando, qui, sur des coupes axiales, souvent obliques, est en général situé assez en arrière sur ces coupes hautes.