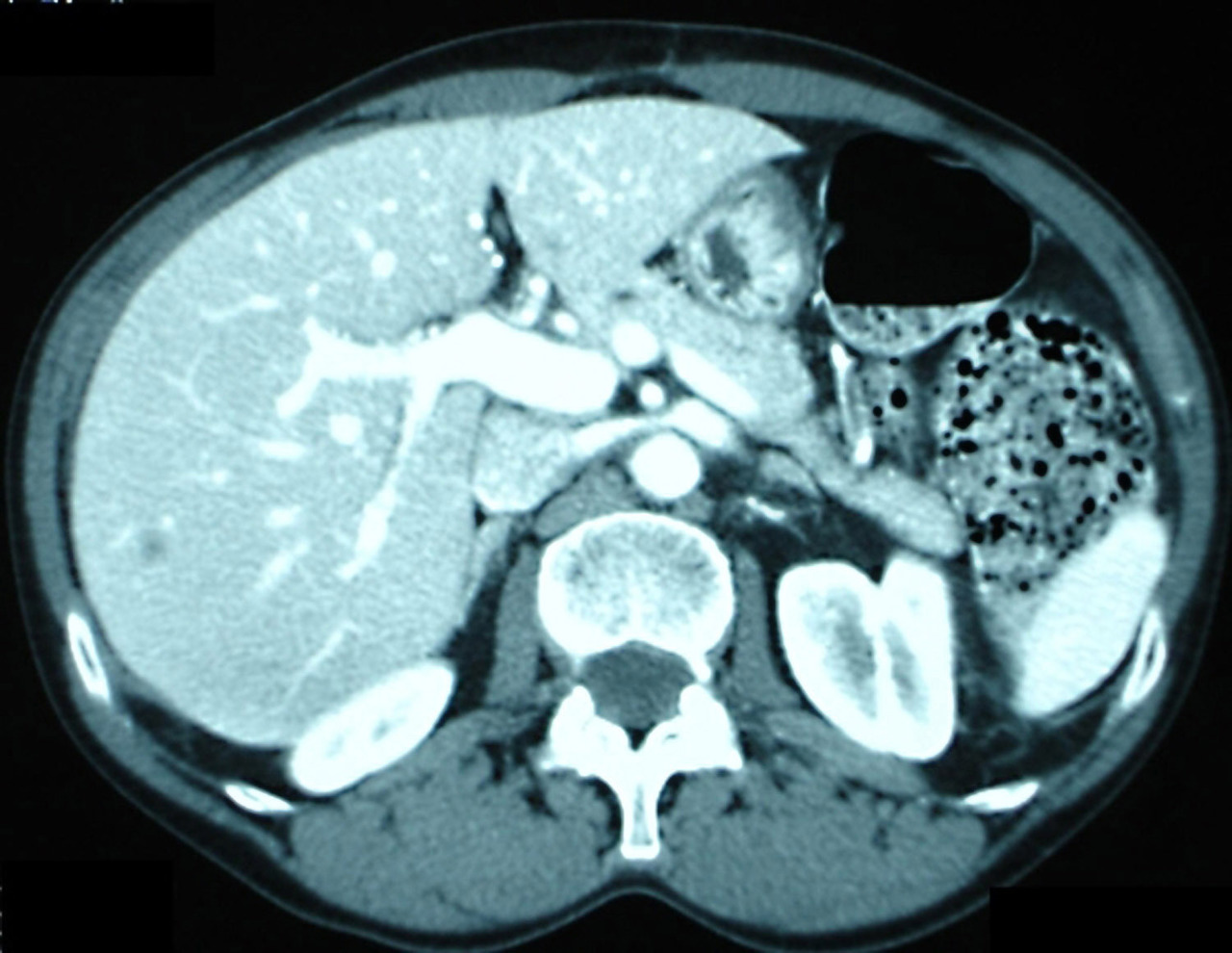
Quel est votre diagnostic ? Un foie normal Un abcès hépatique Une métastase hépatique Un kyste Une cholécystite OK Il s’agit d’une tomodensitométrie hépatique montrant une métastase hépatique unique d’un cancer du côlon. Dans 60 à 80 % des cas, les cancers du côlon ou du rectum se développent sur une lésion préexistante, le polype adénomateux. Valider mes réponses
Dans 60 à 80 % des cas, les cancers du côlon ou du rectum se développent sur une lésion préexistante, le polype adénomateux.