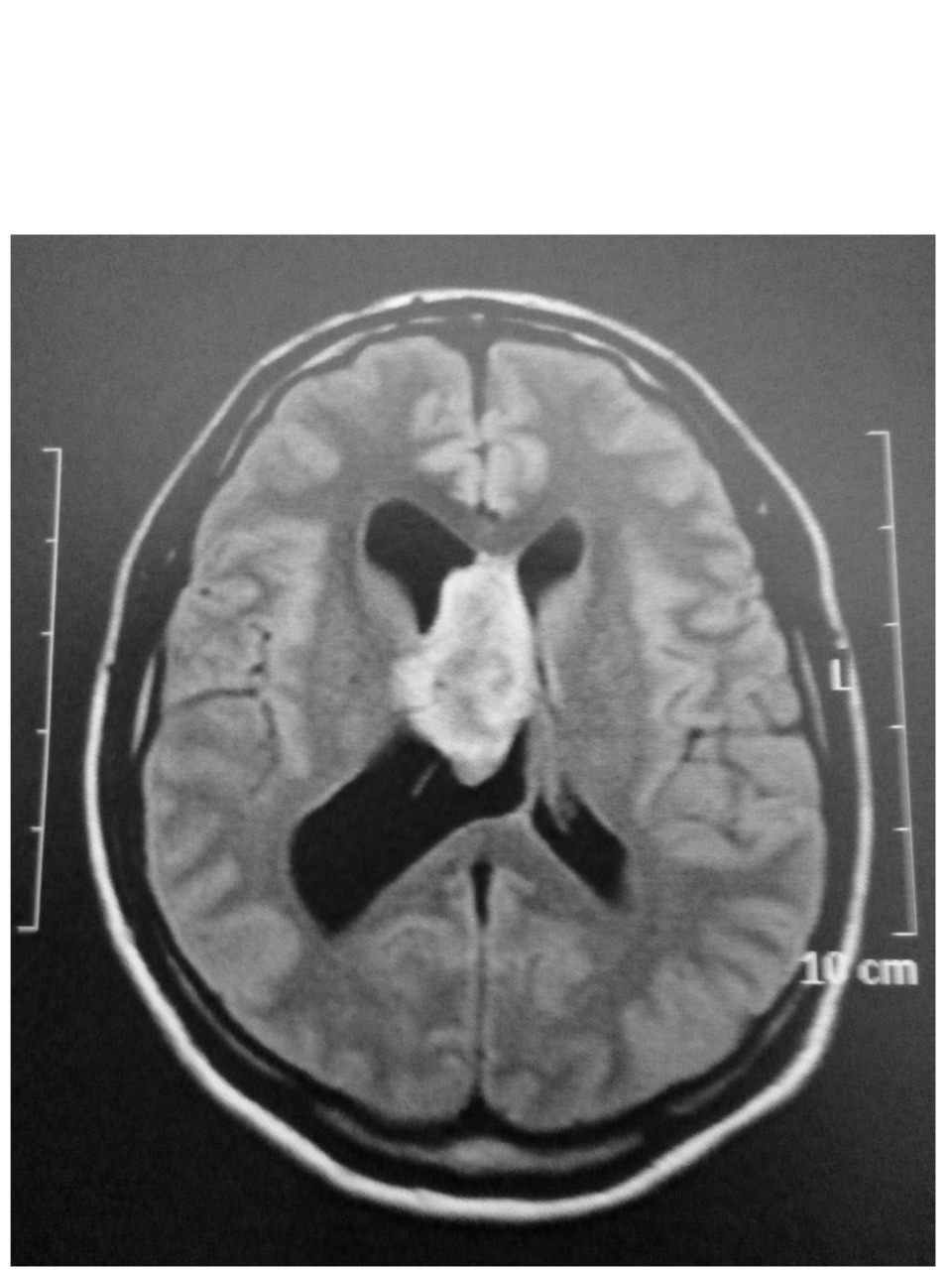
Quel est votre diagnostic ? Hémorragie intraventriuclaire Toxoplasmose cérébrale Tumeur du plexus choroïde Neurosarcoïdose Histiocytose OK Il s'agit d'une tumeur du plexus choroïde. Valider mes réponses
Il s'agit d'une tumeur du plexus choroïde.