Vous recevez M. B., patient de 75 ans qui consulte pour une gêne de l’oreille droite.

Cette douleur est apparue il y a deux semaines environ. Elle est permanente, légèrement majorée par la déglutition.

M. B. a pour principaux antécédents une pneumopathie franche lobaire aiguë à pneumocoque en 2012 ayant nécessité un séjour en réanimation, une cardiopathie ischémique avec la pose de deux stents coronaires nus en 2010, une hypertension artérielle et une hypercholestérolémie. Son traitement actuel est le suivant : Kardégic 75 mg 1 cp/j, Valsartan 80 mg 1 cp/j, Hydrochlorothiazide 50 mg 1 cp/j, Rosuvastatine 20 mg 1 cp/j, Stilnox 1 cp le soir, Xanax 0,25 mg à la demande. Pas d’allergie médicamenteuse.

Il déclare un tabagisme actif à 50 paquets-année et une consommation d’alcool moyenne de 2 verres par jour. Cette consommation a toujours été stable. Pas d’autre addiction.

Les paramètres vitaux sont les suivants :

tension artérielle (TA) = 150/95 mmHg  ;

fréquence cardiaque (FC) = 85 bpm ;

saturation artérielle en oxygène (SaO2) = 95% en air ambiant ;

température (T°) = 37°,6 °C ;

poids = 57 kg ;

taille = 180cm.

Le pavillon chaque oreille est normal, pas d’anomalie à l’inspection du visage.

L’examen otoscopique est le suivant :

Question 1: Vous envisagez le diagnostic suivant 
Il s’agit d’une otalgie à examen otologique normal : otalgie réflexe.
L’examen endo-buccal est normal, mais limité par un important reflexe nauséeux.
Vous palpez plusieurs masses indurées latéro-cervicales droites fixées.
Question 2 : Les éléments suivants vous orientent vers une néoplasie des voies aérodigestives supérieures (VADS) 
Vous réalisez un examen au nasofibroscope.
Question 3 : Vous envisagez le(s) diagnostic(s) de 
La base de langue n’est pas visible sur la figure présentée (la zone visible est en dessous de la base de la langue)
Les cordes vocales sont visibles, symétriques et d’aspect nacré – examen macroscopique normal
Le pilier de l’amygdale n’est pas visible sur cette figure
Oui, il existe une masse bourgeonnante et hémorragique assez typique d’une tumeur maligne. Cette masse envahit le sinus piriforme, remonte légèrement en dessus. L’extrémité distale n’est pas visible ici. La néoplasie envahit de même la face postérieur du cartilage aryténoïde droit
Pas sur l’image présentée ici. Le franchissement de la ligne médiane est un facteur pronostique important pour les tumeurs malignes des VADS localisées

 

Légende de l'image de l'hypopharynx en vue endoscopique.

POST : arrière ;
ANT : avant ;
1 : corde vocale gauche saine ;
2 : cartilage aryténoïde gauche sain ;
3 : sinus piriforme gauche ;
4 : masse tumorale bourgeonnante saignant au contact ;
5 : cartilage aryténoïde droit, muqueuse pathologique infiltrée.
Question 4 : Vous réalisez ou programmez 
Impossible à réaliser avec un nasofibroscope
Bilan d’extension de base d’une tumeur des VADS. Doit impérativement être réalisée au tube rigide pour explorer la bouche œsophagienne
Les tumeurs malignes des tiers supérieur et moyen de l’œsophage ont une physiopathologie identique. Il ne faudrait pas méconnaître une lésion œsophagienne synchrone ni sous-estimer l’infiltration distale de la masse diagnostiquée
À la recherche de métastases ganglionnaires et viscérales, en premier lieu pulmonaires
Le TEP-scan permet d’augmenter la sensibilité et la spécificité pour le diagnostic des adénopathies, en particulier en vue d’une radiothérapie (traitement des aires ganglionnaires)
L’ensemble de ce tableau clinique s’accompagne d’une toux sèche. Cette toux est constante au cours de la journée. Elle s’est majorée il y a environ 3 mois. En dehors des suites de sa pneumonie, M. B. n’a jamais présenté d’épisode d’exacerbation de sa toux.
M. B. vous indique aussi qu’il vit avec son épouse de 82 ans, actuellement suivie pour une maladie de Parkinson avancée. M. B. commence à fatiguer pour la gestion du quotidien et a de plus en plus de mal à se déplacer du fait de douleurs apparaissant à la marche et cédant rapidement au repos.
Question 5 : Vous suspectez les comorbidités suivantes :
Une toux isolée pourrait faire suspecter un asthme d’effort, mais ce n’est pas le profil de ce que décrit le patient
Pas de notion de « bronchite chronique » chez ce patient
Oui, comorbidité à éliminer compte- tenu du tabagisme important
Oui, comorbidité à évoquer compte- tenu du tabagisme important et de la claudication à la marche
Non, la description est typique d’une claudication à la marche, orientant plutôt vers une étiologie vasculaire
Question 6 : Vous prévoyez les explorations suivantes :
Indispensable compte tenu de l’antécédent de cardiopathie ischémique
Indispensable compte tenu de l’antécédent de cardiopathie ischémique
Les lésions dentaires sous-jacentes participent à la dénutrition et doivent impérativement être traitées avant d’initier toute radiothérapie des VADS (risque d’ostéoradionécrose)
Non indiquées, pas d’argument formel pour une BPCO ou un asthme associé. Pas de chirurgie pulmonaire envisagée. De plus, toute exploration inutile risque de retarder le début du traitement
Il s’agit d’un patient senior (plus de 70-75 ans), qui présente plusieurs fragilités : une polymédication (plus de 5 traitements), une perte d’autonomie débutante, une dénutrition, le tout avec un aidant âgé et malade
Vous récupérez les éléments suivants :

Échographie cardiaque transthoracique :
« Bonne fonction cardiaque avec une fraction d’éjection du ventricule gauche (FEVG) estimée à 65% par Simpson sans trouble de la cinétique segmentaire ou focale.
Pas d’anomalie du ventricule droit, ni de valvulopathie. Péricarde sec. »
Biologie :
âge = 75 ans, poids = 55 kg, taille = 180cm.
Question 7 : Vous diagnostiquez :
Non, c’est un bloc de branche complet droit
FEVG > 40%
Calcémie corrigée = 2,6 mmol
Débit de filtration glomérulaire (DFG) = 88mL/min, de plus pas d’antériorité pour conclure sur le diagnostic d’insuffisance rénale aiguë ou chronique
Albumine 35 g/l et ≥ 30 g/l (seuil de la dénutrition sévère)
Vous recevez les examens d’imagerie suivants :
Question 8 : Vous visualisez 
Hypermétabolisme physiologique (excrétion du marqueur radioactif)
Idem
Calcifications de l’aorte abdominale et des artères fémorales
Même remarque que pour l’iconographie précédente.

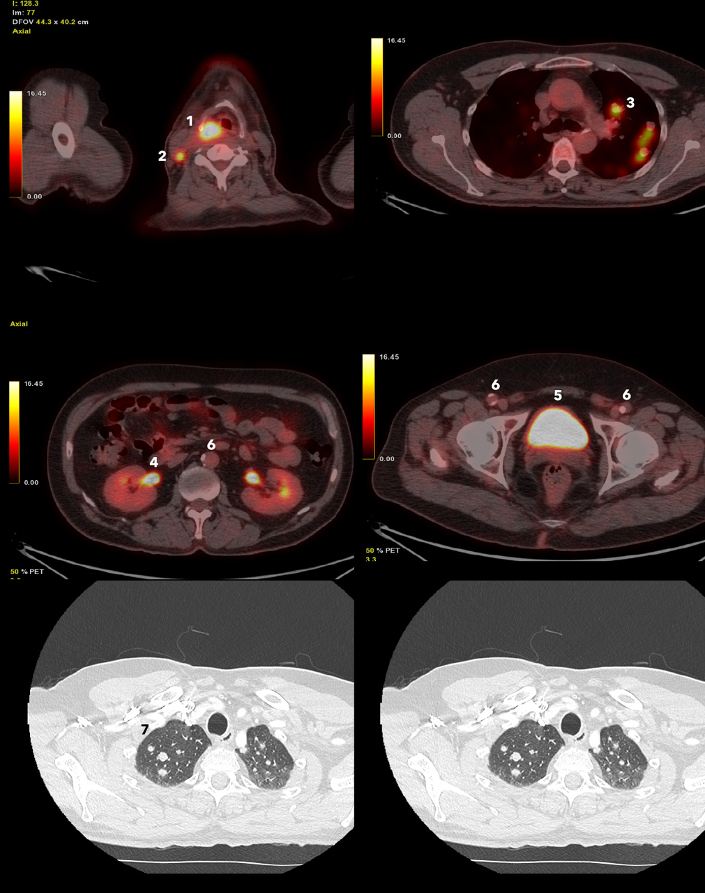
TEP-scan au 18-FDG avec coupes de scanner thoracique en fenêtre parenchymateuse..
1 : hypermétabolisme pathologique, tumeur de l’hypopharynx droit ;
2 : hypemétabolisme pathologique, adénomagalie tumorale ;
3 : nodule pulmonaire hypermétabolique ;
4 : uretère : hypermétabolisme physiologique, excrétion urinaire du traceur (18-FDG) ;
5 : vessie : hypermétabolisme physiologique, excrétion urinaire du traceur (18-FDG) ;
6 : plaque d’athérome calcifiée ;
7 : nodule pulmonaire
L’examen anatomopathologique de la tumeur de l’hypopharynx droit conclut à un carcinome épidermoïde infiltrant peu différencié non kératinisant.
À propos des nodules pulmonaires, deux hypothèses semblent licites. La première est celle d’un primitif bronchique, l’autre est celle de métastases pulmonaires.
Question 9 : Les éléments suivants plaident en faveur du diagnostic de métastases pulmonaires 
Le tabagisme est aussi un facteur de risque de cancer bronchique
La présence d’un primitif augmente la probabilité que les nodules soient des métastases du primitif oto-rhino-laryngé, surtout si la tumeur est déjà métastatique au niveau ganglionnaire (premier site métastatique)
En faveur d’une dissémination vasculaire plutôt qu’une masse développée aux dépends de l’arbre bronchique (plutôt central)
Idem
Ne permet pas de caractériser l’origine de la néoplasie
La présence d’un lâcher de ballons pulmonaire est assez caractéristique de localisations secondaires. Pas besoin d’examen anatomo-pathologique pour conclure.
Et si ? Le cas d’un nodule pulmonaire unique est plus complexe et devra faire discuter la réalisation d’une fibroscopie bronchique ± biopsie selon une autre modalité. Outre un primitif bronchique, les images nodulaires d’origine infectieuse sont fréquentes, surtout en base droite (micro- inhalations du fait des troubles de déglutition).
Le dossier est présenté en réunion de concertation pluridisciplinaire. Le diagnostic de carcinome épidermoïde de l’hypopharynx droit « T4a N3b M1 » est retenu. M. B. est éligible pour un essai thérapeutique d’immunothérapie de phase 2, évaluant l’association ipilimumab (anti-CTLA4) + nivolumab (anti-PD1).
Question 10 : Au cours de votre prochaine consultation, vous aborderez avec M. B. les notions suivantes 
La maladie est métastatique, l’efficacité du traitement d’immunothérapie n’est pas connue par définition, et aucun traitement ne permet d’assurer une rémission complète à ce jour en cas de maladie métastatique
Non, voir le commentaire de la question précédente
Toujours vrai, quel que soit le stade d’un cancer induit par le tabac !
M. B. débute son traitement d’immunothérapie.
Après 2 cycles, il est amené aux urgences de votre hôpital par les pompiers pour une gêne respiratoire.
À l’examen clinique, M.B. est en sueur, agité, et présente une dyspnée inspiratoire, bruyante, avec un tirage sus-claviculaire.
Les paramètres vitaux sont les suivants : FR = 12/min, ; FC = 130 bpm, ; TA = 160/97 mmHg, SaO2 = 88% sous oxygène 6L/min ; T°= 37,6°C.
L’auscultation pulmonaire retrouve un murmure vésiculaire symétrique et bilatéral associé à des ronchis diffus.
Question 11 : Vous diagnostiquez 
Signes de lutte avec hypoxémie, hypertension artérielle et sueurs sont ici des signes d’hypercapnie
Non, c’est un diagnostic radiologique et biologique sur les gaz du sang. Les éléments présentés ne permettent pas de conclure à ce diagnostic
Non
Une bradypnée inspiratoire doit faire évoquer en premier lieu une étiologie laryngée, ici évidente en contexte de tumeur de l’hypopharynx
Non, voir D. Il s’agit d’une complication notoire des immunothérapies, mais la clinique est ici en faveur de l’item D.
Question 12 : Vous prévoyez en urgence
La clinique évoque une dyspnée sur obstacle laryngé.
L’urgence est de libérer les voies aériennes supérieures, aucun examen ne doit faire retarder la prise en charge.
Il appartiendra à l’endoscopiste d’évaluer l’origine de l’obstacle, tumoral, œdème laryngé, corps étranger ou cause mixte.
Il n’est pas rare de voir sous immunothérapie une progression tumorale transitoire liée à l’infiltration tumorale par les cellules immunitaires. Ce phénomène est appelé « pseudo-progression ». Le risque de dyspnée laryngée doit si possible être anticipé dans la prise en charge des tumeurs des voies aérodigestives supérieures. Une trachéotomie prophylactique peut être indiquée dans certaines situations (dyspnée avant traitement, fausses routes).
M. B. est pris en charge par l’ORL d’astreinte qui réalise une trachéotomie en urgence.
Le patient récupère rapidement, et reçoit une nouvelle cure d’immunothérapie.
Deux jours après la troisième cure, le patient consulte aux urgences pour un tableau de fièvre isolée.
Les paramètres vitaux sont les suivants :
TA = 130/80 mmHg, ; FC = 105 bpm, ; FR = 16/min ; SaO2 = 98% en air ambiant ; T° = 38,7°C.
Auscultation cardio-pulmonaire normale, abdomen souple dépressible et indolore, pas de signe fonctionnel urinaire.
Chambre implantable propre et en place. Examen cutané et endo-buccal normal.
Le bilan biologique est le suivant :


 

Question 13 : Vous diagnostiquez 
Non, pas de stigmate d’hémolyse : bilirubine normale, haptoblobine non effondrée, au contraire augmentée en contexte de syndrome inflammatoire. L’élévation des LDH n’est pas spécifique et peut être le simple reflet du syndrome tumoral
Non, l’anémie est hypochrome et microcytaire, le fer sérique est bas.
Par contre, le coefficient de saturation de la transferrine 
> 20% et la ferritine élevée indiquent une origine inflammatoire de cette anémie
Une leucémie aiguë
Non, pas de blaste circulant orientant vers une leucémie aiguë. À noter que si la présence d’une blastose circulante oriente fortement vers une leucémie aiguë, le diagnostic formel est fait sur le myélogramme
PNN 500/mm3, et une prise de température ≥ 38,3°C (ou au moins 38°C à deux reprises à plus d’une heure d’intervalle)
Question 14 : Vous prescrivez 
Fait partie du bilan bactériologique minimal
Fait partie du bilan bactériologique minimal 
Traitement de référence devant une neutropénie fébrile, ou autre bêtalactamine à large spectre
Non indiquée ici car pas d’argument pour une porte d’entrée cutanée
Non indiquée en l’absence de signe de sepsis sévère ou de choc septique
Le bilan bactériologique minimal d’une neutropénie fébrile comporte au moins 2 à 3 paires d’hémocultures percutanées et sur les cathéters veineux centraux, réalisées à 30 minutes d’intervalle. Un examen cytobactériologique des urines (ECBU), une radiographie de thorax sont aussi souhaitables (ne pas s’arrêter à l’absence de leucocytes sur une bandelette urinaire), auxquels peuvent s’ajouter une coproculture en cas de diarrhée et tout prélèvement de porte d’entrée identifiée à l’examen clinique.
Le traitement repose en première intention sur une bêtalactamine de large spectre, adaptée aux antériorités bactériologiques du patient.
Les glycopeptides sont indiqués en probabiliste en cas de porte d’entrée cutanée, ou éventuellement en cas de persistance de la fièvre après 48 heures. Les aminosides sont indiqués en cas de sepsis sévère.
Les antifongiques sont à utiliser en deuxième intention, en cas de fièvre persistant plus de 72 heures après l’initiation de l’antibiothérapie. Les infections fongiques sont principalement observées chez les patients avec une neutropénie prolongée.
L’utilisation de G-CSF est très controversée, et plutôt non indiquée en cas de neutropénie fébrile (risque accru de pneumopathie interstitielle induite par les G-CSF).
Durant les 15 jours précédents, le patient n’a reçu aucun traitement en dehors du paracétamol, du traitement protocolaire et de la prémédication (Polaramine IV). Devant cette agranulocytose, vous discutez de la conduite à tenir.
Question 15 : Vous retenez les arguments suivants 
L’agranulocytose survient après l’administration de l’immunothérapie
Non, l’immunothérapie a pour fonction de stimuler la réponse immunitaire antitumorale par les lymphocytes T cytotoxiques. Elle n’a pas de propriété hématotoxique intrinsèque. Elle peut cependant dans de très rares cas (1% environ) entraîner des cytopénies de mécanisme auto-immun
Voir B
La réalisation d’un myélogramme et idéalement d’une biopsie ostéomédullaire doit être systématique en l’absence de traitement cytotoxique comme une chimiothérapie antitumorale.
Ces examens permettront de conclure sur la nature de l’agranulocytose : présence de cellules tumorales solides, présence de blastes, de signes de myélodysplasie…
Très importante. Ici cet effet indésirable sera aussi rapporté au promoteur de l’essai thérapeutique. L’enquête de pharmacovigilance permettra de conclure sur l’imputabilité de l’effet indésirable pour chacun des traitements reçus par le patient, et éventuellement sur la possibilité de reprise de l’immunothérapie.

Exercez-vous aux ECN avec les dossiers progressifs et les LCA de La Revue du Praticien