Vous êtes le pédiatre de garde. Vous prenez en charge le jeune Édouard S, âgé d’un jour, qui présente une désaturation persistante aux alentours de 85 % depuis la naissance. Édouard est né à terme par voie basse avec une bonne adaptation néonatale (score d’Apgar 10-10-10). Poids de 3,2 kg à la naissance pour une taille à 51 cm et un périmètre crânien à 34 cm. La maman est G3P3. Grossesse sans complication. Il n’y a pas de facteur de risque d’infection materno-fœtale. L’enfant est eupnéique en air ambiant. La pression artérielle est à 65/40 (moyenne à 48 mmHg), la fréquence cardiaque est à 150/min. Vous retrouvez une hépatomégalie à un travers de doigt. À l’auscultation vous notez un souffle méso-systolique à 4/6 au foyer pulmonaire. L’auscultation des troncs supra-aortiques et des poumons est normale. Les pouls fémoraux sont bien perçus.
Question 1 : Ce souffle vous évoque
Souffle méso-systolique au foyer pulmonaire évocateur d’une sténose pulmonaire.
Pas d’irradiation carotidienne donc pas de sténose aortique a priori. Pour rappel, le souffle innocent ou fonctionnel est en général caractérisé par :
– une découverte tardive du souffle (après 2 ans) ± une circonstance de découverte évocatrice (à l’occasion d’une hyperthermie…) ;
– un souffle protosystolique, bref, peu intense, irradiant peu, diminuant d’intensité en position debout ;
– l’absence de symptômes fonctionnels ;
– l’absence d’anomalie associée de l’examen clinique (pouls fémoraux perçus, tension artérielle normale, saturation normale) ;
– le caractère normal de la radiographie et de l’électrocardiogramme (ECG).
Il concerne près de 20 % des patients en âge scolaire.
Question 2 : Parmi ces cardiopathies, lesquelles devez-vous évoquer ?
Désaturation témoin d’un shunt droit-gauche. Les cardiopathies à shunt droit-gauche sont les suivantes :
– tétralogie de Fallot ;
– transposition des gros vaisseaux ;
– atrésie pulmonaire à septum ouvert ou septum intact ;
–cardiopathies avec mixing des sangs veineux et artériel, type ventricule unique.
Question 3 : Quel(s) examen(s) réalisez-vous et dans quel délai ?
Désaturation néonatale initialement bien tolérée. Probable cardiopathie cyanogène (avec shunt droit-gauche). Pas d’argument pour une cause pulmonaire.
Il faut préciser le diagnostic et éliminer notamment une cardiopathie ducto-dépendante (atrésie pulmonaire à septum ouvert, atrésie pulmonaire à septum intact, ventricule unique…) ou nécessitant une intervention précoce (transposition des gros vaisseaux). Nécessité d’une échographie rapide et d’une radiographie pulmonaire.
L’échographie retrouve un ventricule gauche non dilaté, non hypertrophié, de fonction normale. Il n’y a pas de valvulopathie mitrale ou aortique. Le ventricule droit apparaît hypertrophié. Vous notez un défect du septum interventriculaire sous les vaisseaux aortique et pulmonaire avec un flux partant du ventricule droit vers le ventricule gauche. Le gradient moyen sur la valve pulmonaire est de 35 mmHg. La valve aortique est dextroposée. La valve pulmonaire est en avant de la valve aortique.
Voici l’électrocardiogramme.
Question 4 : Interprétez l’électrocardiogramme
Aspect évocateur d’une surcharge droite-hypertrophie ventriculaire droite avec un bloc de branche droit (BBD) complet (RsR’ de V1 à V3 et ondes T négatives en rapport), ondes R décroissantes de V1 à V6, axe hyper-droit.
L’hypertrophie ventriculaire droite est expliquée par la tétralogie de Fallot et la surcharge en pression des cavités droites.
Question 5 : Quelle est votre diagnostic ?
Tétralogie de Fallot.
Physiopathologie : bascule antérieure du septum conal qui obstrue la voie pulmonaire.
Associe :
– dextroposition de l’aorte ;
– obstacle sur la voie pulmonaire (infundibulaire et/ou valvulaire) ;
– communication interventriculaire (CIV) avec shunt droit-gauche ;
– hypertrophie ventriculaire droite.
Le petit Édouard reste stable. Il n’a pas présenté de malaise. La saturation reste supérieure à 85 %. Il prend bien ses biberons et la croissance staturo-pondérale est tout à fait satisfaisante. Il pèse 6,2 kg à 5 mois. Il bénéficie d’une cure chirurgicale complète de la tétralogie de Fallot avec une fermeture de la CIV par patch et une ouverture de la voie ventricule droit-artère pulmonaire (VD-AP) avec franchissement de l’anneau pulmonaire.
Vous revoyez ce même patient, M. S, à l’âge de 30 ans. Il est pris en charge par le Samu pour une syncope d’une durée de 30 secondes. Vous l’hospitalisez en unité de soins intensifs cardiologiques (USIC). Durant la nuit, M. S récidive : épisode d’une durée de 2 minutes avec une hypotension et une courte perte de connaissance. L’épisode est spontanément résolutif. Voici son électrocardiogramme.
Question 6 : Quel est votre diagnostic ?
Tachycardie ventriculaire car :
– tachycardie régulière mal tolérée à QRS larges –> tachycardie ventriculaire jusqu’à preuve du contraire ;
– différentiel par rapport à une tachycardie supra-ventriculaire avec bloc de branche :
o aspect de retard gauche (= aspect BBG like) donc différent de l’ECG intercritique qui présente un BBD. On observe donc un changement d’axe ;
o dissociation auriculo-ventriculaire ;
o mauvaise tolérance.
Les tachycardies ventriculaires sont fréquentes chez les patients anciennement opérés de tétralogie de Fallot. Elles surviennent sur les cicatrices opératoires (infundibulectomie) ou sur les zones de fibrose du ventricule droit lié à la surcharge chronique.
Question 7 : Quelle est votre prise en charge ?
Trouble du rythme ventriculaire récidivant mal toléré sans facteur ischémique réversible. Il existe une indication de DAI en prévention secondaire.
Devant le caractère récidivant du trouble du rythme ventriculaire, il pourra être proposé une ablation de la tachycardie par voie endocavitaire afin d’exclure le foyer arythmogène (la cicatrice de l’infundibulectomie en général dans ce cas de figure).
Vous implantez un défibrillateur automatique implantable en prévention secondaire associé à une procédure d’ablation de la tachycardie ventriculaire.
Vous complétez les explorations avec une échographie et une IRM qui retrouvent un ventricule droit nettement dilaté avec un volume télé-diastolique > 150 ml/m2 et une volumineuse insuffisance pulmonaire. Dans ce contexte, une chirurgie d’implantation de valve pulmonaire biologique est également réalisée.
Trois ans plus tard vous recevez à nouveau M. S aux urgences pour un syndrome fébrile associé à une toux évoluant depuis quelques jours. Vous relevez une asthénie majeure. Cliniquement, la pression artérielle est à 70/40, la fréquence cardiaque à 130/min, la température à 39 °C. Les extrémités sont froides avec un temps de recoloration à 4 secondes. Le patient est eupnéique sous 2 litres d’oxygène. Le score de Glasgow est à 14 avec un patient légèrement confus.
Recherche d’une endocardite infectieuse. Évaluation du profil hémodynamique
Recherche d’un point d’appel infectieux type pneumopathie
Documentation bactériologique avant de débuter les antibiotiques
Évaluation de la sévérité du tableau clinique
L’échographie cardiaque retrouve une fonction ventriculaire gauche correcte avec une débit cardiaque conservé. Vous ne visualisez pas bien la valve pulmonaire. Le ventricule droit est nettement dilaté mais normo-kinétique. Il n’y a pas d’épanchement péricardique.
Question 9 : Comment caractérisez-vous ce tableau clinique ?
Pas de contexte de traumatisme médullaire
Tableau de choc : hypotension + tachycardie. Signes d’hypoperfusion périphérique
Origine septique probable : fièvre, vasoplégie importante, débit cardiaque conservé
Question 10 : Quelle est votre prise en charge dans l’immédiat ?
Pas d’indication ici : GCS 14 - pas de défaillance respiratoire
Pose d’un ballonnet de contre-pulsion aortique puis mise sous oxygénation par membrane extracorporelle (ECMO)
Antibiothérapie à débuter en urgence en probabiliste après les prélèvements mais sans en attendre les résultats
Prise en charge du choc septique :
– traitement symptomatique :
o remplissage par sérum salé isotonique ou Ringer Lactate : 20-40 mL/kg ;
o amines vasopressives type noradrénaline ;
o objectif pression artérielle moyenne (PAM) > 65 mmHg ;
– antibiothérapie :
o la plus précoce possible, après prélèvements, intraveineuse, initialement probabiliste selon le point d’appel puis secondairement adaptée.
Toutes les hémocultures reviennent positives à cocci à Gram positif en amas avec des délais de pousse inférieurs à 10 heures.
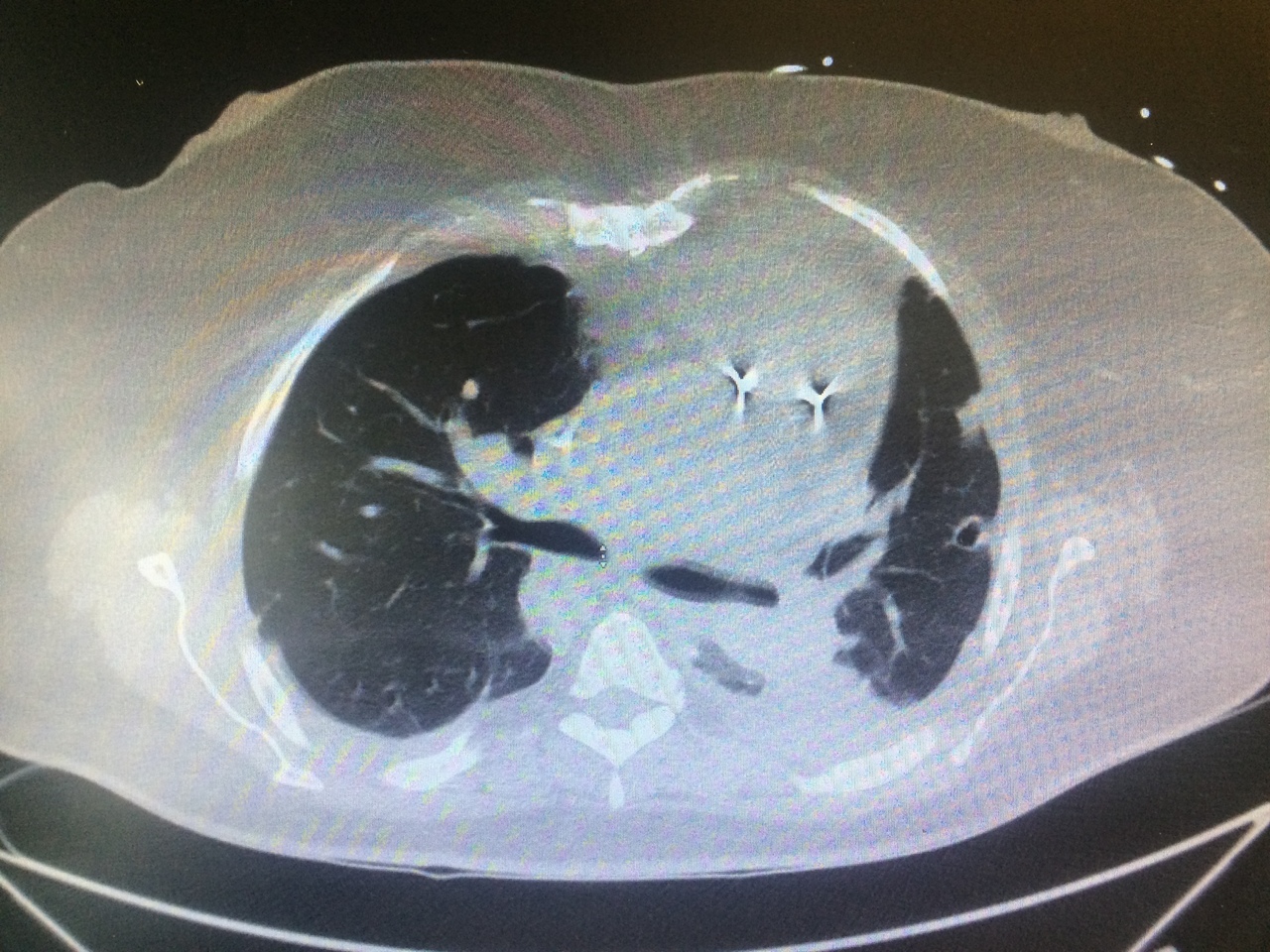
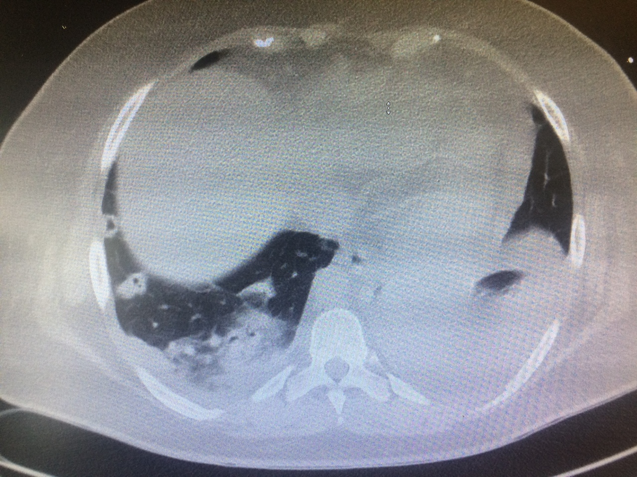
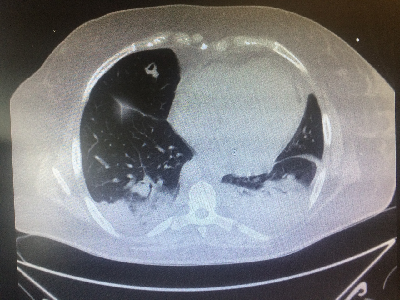
Voici les images du scanner thoracique.
Question 11 : Quelle est votre suspicion diagnostique ?
Syndrome septique chez un porteur de valve prothétique pulmonaire, examen direct suggérant un sepsis à staphylocoques (germe pourvoyeur d’EI), nombreux emboles pulmonaires excavés
Les hémocultures retrouvent un Staphylococcus aureus sensible à la méticilline.
L’évolution est finalement favorable après une antibiothérapie bien menée, sans nécessité de réintervenir sur la valve pulmonaire.
Trois ans plus tard, vous retrouvez M. S aux urgences cardiologiques. Il présente un tableau de dyspnée croissante depuis 2 semaines. Il est pris en charge par le Samu pour un tableau de détresse respiratoire. À son entrée, la pression artérielle et à 170/65, la saturation est à 95 % sous 6 litres d’oxygène. Le patient est polypnéique à 30/min avec un tirage sus claviculaire et intercostal. Il n’y a pas de balancement thoraco-abdominal. Vous retrouvez des œdèmes des membres inférieurs remontant aux genoux ainsi que des crépitants à mi-champ.
Voici son électrocardiogramme.
Question 13 : Quelle est votre prise en charge ?
Décompensation cardiaque globale sur passage en fibrillation auriculaire (FA) rapide survenant sur un terrain de tétralogie de Fallot opérée et revalvulée.
Traitement symptomatique de la décompensation cardiaque :
– oxygénothérapie ± CPAP en cas d’insuffisance cardiaque gauche marquée ;
– diurétique de l’anse ;
– nitré type Risordan en IV continu pour baisser la postcharge.
Traitement du facteur déclenchant, ici la FA rapide :
– ralentissement à la phase initiale (bêtabloquants autorisés car insuffisance cardiaque congestive sans choc cardiogénique associé-hémodynamique conservée) ;
– pas de cardioversion d’emblée car : on ne connaît pas le début-l’ancienneté de l’arythmie ; et pas de critère d’urgence (pas de défaillance respiratoire ou hémodynamique), on jugule d’abord les symptômes en ralentissant la FA et en mettant en place les traitements de l’insuffisance cardiaque. La cardioversion sera envisagée dans un second temps (cf. question suivante).
Nb : les troubles du rythmes supraventriculaires sont fréquents chez les patients porteurs d’une tétralogie de Fallot opérée et vieillie. Ils sont secondaires à la dilatation importante de l’oreillette droite liée à l’augmentation chronique de la pression ventriculaire droite.
La situation s’améliore rapidement après l’introduction d’un traitement par diurétiques et un ralentissement efficace par bêtabloquants. Votre patient est toujours en arythmie cardiaque par fibrillation auriculaire (ACFA) à 90/min.
Premier épisode de FA non valvulaire symptomatique, persistante. On envisage un contrôle du rythme avec une cardioversion en première intention.
Deux schémas sont possibles afin de limiter le risque embolique de la cardioversion :
– schéma 1 : ETO préalable afin d’éliminer la présence d’un thrombus ;
– schéma 2 : un mois d’anticoagulation efficace par anticoagulant oral direct en première intention avant la cardioversion électrique.
Vous obtenez un retour en rythme sinusal. Malgré un traitement anti-arythmique bien conduit par flécaïne à la dose maximale associé à un traitement par bêtabloquants à dose optimale, votre patient reste très symptomatique et présente plusieurs récidives d’arythmies. La FA est à nouveau persistante depuis 15 jours.
Question 15 : Que pouvez-vous proposer à votre patient ?
Il s’agit du traitement du flutter
Récidive de FA, persistante, symptomatique malgré un traitement anti-arythmique bien conduit et malgré un traitement bradycardisant (bêtabloquant) à dose efficace.
Deux options ici :
– contrôle du rythme = tentative de rétablissement puis maintien d’un rythme sinusal : ablation de la FA ;
– contrôle de la fréquence et des symptômes : modulation-ablation du NAV afin de stopper la conduction auriculo-ventriculaire de cette FA. La stimulation sera assurée au niveau ventriculaire droit par la sonde de défibrillateur automatique implantable (DAI) déjà en place.
Pas d’irradiation carotidienne donc pas de sténose aortique a priori.
Pour rappel, le souffle innocent ou fonctionnel est en général caractérisé par :
– une découverte tardive du souffle (après 2 ans) ± une circonstance de découverte évocatrice (à l’occasion d’une hyperthermie…) ;
– un souffle protosystolique, bref, peu intense, irradiant peu, diminuant d’intensité en position debout ;
– l’absence de symptômes fonctionnels ;
– l’absence d’anomalie associée de l’examen clinique (pouls fémoraux perçus, tension artérielle normale, saturation normale) ;
– le caractère normal de la radiographie et de l’électrocardiogramme (ECG).
Il concerne près de 20 % des patients en âge scolaire.