Vous êtes appelé au domicile de M. S., 50 ans, pour coma. Son auxiliaire de vie vous informe qu’il est suivi pour une sclérose en plaques depuis trente ans, actuellement non traitée. Il est paraparétique avec une incontinence urinaire modérée, un syndrome cérébelleux et quelques troubles cognitifs. Il vit seul, et se déplace en fauteuil roulant.

La semaine précédente, il a chuté durant la nuit en voulant se lever, avec un traumatisme crânien. Il n’a pas voulu consulter et a simplement pris de l’oxycodone pour la douleur, sans signaler d’autre symptôme immédiat.

En arrivant chez lui ce matin, son auxiliaire l’a trouvé dans son lit mais n’a pas réussi à le réveiller. Elle signale des traces de vomissements dans la chambre.
Question 1 :  Parmi les propositions suivantes, quelles hypothèses pouvez-vous formuler à ce stade concernant la cause du coma ?
À ce stade, le patient présente un coma qui pourrait être expliqué par toutes les propositions sauf une poussée de sclérose en plaques (donnant habituellement un déficit focal, selon la localisation).
Les éléments d’orientation majeurs sont la notion de traumatisme crânien (hématome ?), la prise de morphinique (intoxication ?) et les vomissements (compatibles avec toutes les réponses justes).
À votre arrivée, le patient présente un coma calme. Il ouvre difficilement les yeux à la demande, a une réponse verbale inappropriée et a une réponse motrice orientée à la stimulation douloureuse. Les pupilles sont intermédiaires et réactives, et vous ne notez pas de déficit neurologique en dehors de la paraplégie connue.
Vous mesurez la fréquence cardiaque à 130/min, la pression artérielle à 90/45 mmHg, la température à 37,8 °C et la fréquence respiratoire à 26/min avec une saturation à 98 % en air ambiant. L’auscultation cardiopulmonaire est sans particularité par ailleurs, l’abdomen est météorisé dans son ensemble sans défense ni globe vésical.
Question 2 : Parmi les propositions suivantes, quelles hypothèses pouvez-vous formuler à ce stade concernant la cause du coma en intégrant les données de l’examen clinique ?
Rendu improbable par la tachypnée et l’absence de myosis
En plus des signes d’orientation précédents, le patient présente une instabilité hémodynamique, une tachypnée et un météorisme abdominal, pour l’instant sans explication évidente mais compatibles avec un hématome, un trouble métabolique et une méningoencéphalite.
Question 3 : Dans l’immédiat, laquelle de ces propositions devez-vous réaliser en priorité au lit du patient ?
Saturation correcte
Intoxication aux opiacés peu probable (v. question précédente)
Non recommandée en l’absence d’anisocorie (et devant une probabilité moyenne d’hématome intracrânien)
Coma léger
Ici, l’urgence est d’améliorer l’état hémodynamique du patient qui est préoccupant, en réalisant un remplissage vasculaire. Il est possible que ce geste améliore également la vigilance du patient en améliorant la perfusion cérébrale.
En dehors de la perfusion de mannitol, les autres propositions ne sont pas des erreurs mais devront être réalisées après le remplissage, en fonction de l’évolution clinique (intubation si aggravation des troubles de la vigilance, oxygène si désaturation…).
Le patient est hospitalisé en urgence et la première biologie retrouve :
– NFS : GB 12 000/mm3 dont PNN 9 000/mm3, hémoglobine 18 g/dL, plaquettes 317 G/L ;
– ionogramme : Na : 139 mmol/L ; K : 5 mmol/L ; Cl : 107 mmol/L ; HCO3- : 14 mmol/L ; urée : 16 mmol/L ; créatinine : 110 µmol/L (DFG 65 ml/min/m² selon MDRD) ;
– glycémie : 8,5 mmol/L ;
– ionogramme urinaire : Na : 15 mmol/L ; K : 25 mmol/L ; créatinine : 11 mmol/L ; urée : 441 mmol/L.
Question 4 : Parmi les propositions suivantes, laquelle (lesquelles) est (sont) exacte(s) ?
Oui devant un contexte de vomissements, une tachycardie avec hypotension, une hémoconcentration probable (hémoglobine haute), une insuffisance rénale aiguë fonctionnelle
Non (natrémie normale)
Oui car survenant dans un contexte de déshydratation avec Na/K urinaire 1 et rapports urine/sang de créatinine et d’urée élevés
L’augmentation de l’urée est modérée et ne peut pas expliquer à elle seule les troubles de la vigilance. En revanche, la déshydratation avec hypotension sévère, associée aux troubles métaboliques, peut expliquer ces symptômes notamment chez un patient présentant déjà des troubles cognitifs
Le gaz du sang réalisé en air ambiant retrouve : pH : 7,29 ; PaO2 : 80 mmHg ; PaCO2 : 30 mmHg ; HCO3 : 14 mmol/L ; lactate : 6 mmol/L.
Question 5: Parmi les propositions suivantes, laquelle (lesquelles) est (sont) exacte(s) ?
Le patient a une acidose métabolique (bicarbonates diminués) avec compensation (hypocapnie) insuffisante.
Le trou anionique (Na + K – Cl – HCO3) est calculé à 23 mmol/L (normales < 20 mmol/L en prenant en compte le potassium) et est donc augmenté, du fait de l’insuffisance rénale aiguë et de l’hyperlactatémie.
Un scanner cérébral est réalisé 
Question 6 : Parmi les propositions suivantes, laquelle (lesquelles) est (sont) exacte(s) ?
Difficile à voir au scanner, c’est l’imagerie par résonance magnétique (IRM) qui permettra le mieux d’apprécier la présence de plaques
Aucune hyperdensité spontanée n’est visible
Même si les ventricules latéraux paraissent légèrement élargis, les sillons corticaux sont eux-mêmes larges et il s’agit donc plutôt d’une atrophie cortico-sous-corticale modérée
Le scanner cérébral peut être considéré comme normal, en dehors d’une atrophie cortico-sous-corticale modérée.
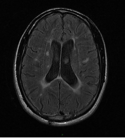
L’auxiliaire de vie vous a rapporté les résultats d’une imagerie par résonance magnétique (IRM) cérébrale réalisée il y a dix jours sur la prescription de son neurologue.
Question 7 : Parmi les propositions suivantes, laquelle (lesquelles) est (sont) exacte(s) ?
Les hypersignaux FLAIR sont dans la substance blanche (principale zone myélinisée du cerveau)
Il n’est pas possible de distinguer l’ancienneté d’une plaque sur les séquences FLAIR (la prise de contraste après injection de gadolinium permettra de confirmer qu’il s’agit d’une plaque active).
Les lésions observées sont donc compatibles avec le diagnostic de sclérose en plaques, mais leur ancienneté est inconnue et leur responsabilité dans les troubles de la vigilance du patient est très improbable.
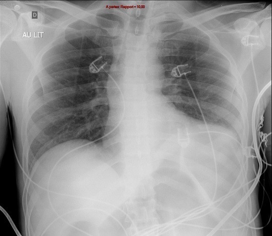
Une radiographie de thorax est réalisée.
Question 8 : Parmi les propositions suivantes, laquelle (lesquelles) est (sont) exacte(s) ?
La radiographie est de qualité médiocre (cliché au lit), mais ne retrouve pas d’anomalie parenchymateuse ni médiastinale évidente. Il existe en revanche une dilatation des anses digestives, avec des haustrations coliques visibles, probablement responsables d’une surélévation de la coupole gauche.
Une heure après son admission, vous mesurez la fréquence cardiaque à 110/min, la pression artérielle à 101/56 mmHg, la température à 37,5 °C et la saturation à 97 % en air ambiant. L’état neurologique est stable, sans amélioration des troubles de la vigilance. Vous n’avez pas noté de mouvements anormaux depuis son arrivée, mais le patient a de nouveau vomi
Question 9 : Au vu de l’ensemble du tableau, quels examens demandez-vous dans l’immédiat pour avancer dans vos hypothèses diagnostiques ?
Inutile vu l’imagerie récente et le fait que la sclérose en plaques ne puisse pas expliquer le tableau actuel 
La réalisation d’une ponction lombaire est nécessaire pour éliminer toute infection neuroméningée (troubles de la vigilance, vomissements)
Une crise d’épilepsie est peu probable, mais l’électroencéphalogramme sera à réaliser en seconde intention en l’absence d’explication au trouble de la vigilance 
Le contexte de choc avec troubles de la vigilance et point d’appel digestif impose la réalisation d’un scanner abdominopelvien à visée diagnostique 
Pas de point d’appel pulmonaire
À ce stade, on peut supposer que les troubles de la vigilance sont secondaires aux anomalies métaboliques observées (déshydratation sévère, insuffisance rénale, acidose métabolique) survenant sur un terrain fragile (troubles cognitifs connus), en l’absence d’explication alternative (la ponction lombaire devra être réalisée).
L’urgence est donc d’identifier la cause des troubles métaboliques, probablement digestive, pour une prise en charge étiologique.
Vous réalisez une ponction lombaire (PL), retrouvant : 2 éléments/mm3 ; globules rouges : 2 000/mm3, protéinorachie : 0,35 g/L ; glycorachie : 5,5 mmol/L (glycémie 8,5 mmol/L).
Question 10 : Parmi les propositions suivantes, laquelle (lesquelles) est (sont) exacte(s) ?
Même s’il y a des globules rouges en excès (probablement liés à une PL traumatique), le scanner ne montre pas de saignement. Une hémorragie méningée minime peut être responsable de céphalées mais pas de troubles de la vigilance !
Pas de pléiocytose en faveur de ce diagnostic
Pas de pléiocytose en faveur de ce diagnostic
La PL est parfois normale lors d’une poussée de sclérose en plaques, mais la clinique n’est pas en faveur ici
Les résultats sont normaux en dehors de quelques globules rouges en excès
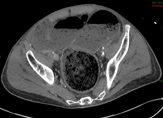
En réexaminant le patient après avoir reçu les résultats de la radio de thorax, vous notez une défense en fosse iliaque gauche. Vous réalisez un scanner abdomino-pelvien.
Question 11 : En visualisant les coupes scannographiques, quelle(s) anomalie(s) identifiez-vous ?
Les coupes montrent une importante distension digestive, principalement colique, avec des niveaux hydro-aériques, dont la cause est un volumineux fécalome.
Le radiologue conclut à un syndrome occlusif.
Question 12 : En visualisant les coupes scannographiques (figures 4), quelle vous semble en être la cause ?
Le siège de l’occlusion est bas, car tout le côlon est dilaté jusqu’au sigmoïde. On voit un volumineux fécalome rectal (figure 4C).
Question 13 : Quelle(s) conduite(s) à tenir proposez-vous dans l’immédiat ?
L’ensemble du tableau évoque un syndrome occlusif avec signes de souffrance digestive. Le traitement est à la fois symptomatique (sonde nasogastrique en aspiration douce, réhydratation) et surtout étiologique. L’indication opératoire doit être discutée étant donné les signes de gravité (défense, hyperlactatémie, épaississement des parois sigmoïdiennes au scanner) qui témoignent d’une souffrance digestive avancée. L’antibiothérapie n’est pas systématique en l’absence de sepsis (pas de fièvre documentée ici).
La figure 6 montre une photo peropératoire du patient : notez la distension digestive majeure notamment colique, et les zones de souffrance (zones noirâtres) sur le sigmoïde (entre les mains du chirurgien de gauche).
Le patient est finalement opéré avec une colectomie subtotale devant les signes de souffrance sigmoïdiennes constatés en peropératoire, et le fécalome est évacué. Des prélèvements bactériologiques sont réalisés. Durant l’opération, le patient frissonne et la pression artérielle chute à 85/46 mmHg, avec un pic fébrile à 39 °C.
Question 14 : Quelle(s) conduite(s) à tenir proposez-vous dans l’immédiat ?
Pas de contre-indication si nécessaire y compris en cas d’insuffisance rénale, en revanche il faudra doser les concentrations résiduelles
Le patient présente un sepsis sévère à point de départ digestif. Il faut donc prélever des hémocultures et débuter une antibiothérapie ciblant les entérobactéries et les anaérobies (pénicilline avec inhibiteur de bêtalactamase, par exemple), associée à un aminoside (permet d’élargir le spectre et d’être bactéricide plus rapidement).
L’une des hémocultures revient positive à Escherichia coli (E. coli). Vous recevez l’antibiogramme .
Question 15 : Parmi les propositions suivantes, laquelle (lesquelles) est (sont) exacte(s) ?
Non, car pas de résistance aux céphalosporines
Idem
Idem
E. coli est une entérobactérie du groupe 1, c’est-à-dire qu’à l’état sauvage (sans résistance acquise), elle est sensible à la pénicilline. Ici, l’antibiogramme montre une résistance à la pénicilline A, avec sensibilité rétablie par adjonction d’acide clavulanique (inhibiteur de pénicillinase) : le mécanisme de résistance est donc une pénicillinase.

Exercez-vous aux ECN avec les dossiers progressifs et les LCA de La Revue du Praticien