[Mis à jour le 26/01/23]
Vous êtes médecin généraliste en cabinet. Vous recevez M. X., 49 ans, qui vient d’emménager dans la région et vous consulte pour la première fois.
Il a pour antécédent une cholécystectomie, et une amygdalectomie. Son père est décédé d’un infarctus à l’âge de 54 ans.
Il ne prend pas de traitement. Il ne fume pas et ne boit pas.
À l’interrogatoire il vous mentionne un essoufflement qu’il considère comme peu gênant depuis maintenant un an. Il est obligé de ralentir le pas quand il monte plus d’un étage.
Vous l’examinez consciencieusement. M. X. pèse 77 kg pour 1,77 m. Votre auscultation cardio-pulmonaire s’avère être sans particularité. Vous ne retrouvez pas de signe de surcharge gauche ou droite. Vous notez une pression artérielle à 190/105 mmHg aux bras droit et gauche, contrôlée identique au repos après 10 minutes au calme.
Le patient vous fait remarquer que sa dernière prise de pression artérielle datant d’il y a 4 ans était normale.
Dans ce contexte vous réalisez un électrocardiogramme que voici :

Question 1 - Sur ce tracé, vous notez (une ou plusieurs réponses possibles) :
Question 2 - Votre interprétation de l’ECG est (une ou plusieurs réponses possibles) :
Hypertrophie ventriculaire gauche :
Indice de Sokolow : SV1 + RV5_6 > 35 mm.
Indice de Cornell : RVL + SV3 > 20 mm (femme) > 28 mm (homme).
Onde R AVL > 11 m.
Troubles de la repolarisation associés : T négatives asymétriques V4 à V6 pour l’HVG dite systolique.
Vous complétez également votre interrogatoire en l’axant sur l’ensemble des facteurs pouvant favoriser cette HTA. Le patient ne resale pas ses plats et ne consomme que peu de charcuterie et préparations. Pas de consommation de réglisse (antésite, pastis…), pas de iatrogénie évidente.
Question 3 - Quelle est votre attitude devant ces chiffres tensionnels (une ou plusieurs réponses possibles) ?
Il s’agit donc ici d’une HTA de grade III (TAS > 180 et/ou TAD > 120).
Les recommandations préconisent dans ce cadre l’introduction d’un traitement anti-hypertenseur d’emblée au choix entre :
– diurétique thiazidique ;
– inhibiteurs calciques ;
– bloqueurs du système rénine-angiotensine (IEC en première intention).
Les automesures en ambulatoire doivent être systématiques dans l’HTA pour évaluer le niveau de contrôle et s’affranchir d’un éventuel effet blouse blanche.
Il s’agit ici d’une découverte d’HTA de grade III, chez un patient encore plutôt jeune, sans autres facteurs favorisants évidents.
De plus, ce dernier se plaint d’une dyspnée de stade II, ce qui peut donc correspondre à une atteinte d’organe cible de l’HTA à type de cardiopathie hypertensive, confirmée par l’ECG. Une échographie cardiaque est donc nécessaire.
Pas d’événement aigu associé à cette HTA. Nous ne sommes pas dans le cadre d’une crise aiguë hypertensive. Il n’y a donc aucun intérêt à adresser ce patient aux urgences.
Question 4 - Votre prescription comporte (une ou plusieurs réponses possibles) :
Le bilan initial paraclinique recommandé pour la découverte de toute HTA est : ionogramme sanguin avec notamment la kaliémie, DFG et la créatininémie, BU, bilan lipidique, glycémie à jeun, électrocardiogramme.
L’objectif d’un tel bilan est triple :
Dépistage d’une atteinte infra-clinique d’une atteinte d’organe cible :
– rénale : protéinurie, insuffisance rénale ;
– cardiaque : cardiopathie hypertensive suspectée devant une HVG électrocardiographique.
Recherche d’autres facteurs de risque cardiovasculaire :
– diabète, dyslipidémie.
Dépistage d’une HTA secondaire :
– néphropathie, hypokaliémie en faveur d’un hyperaldostéronisme.
À noter que la fonction rénale a également un intérêt pré-thérapeutique
L’étape essentielle reste bien évidemment l’examen clinique :
Interrogatoire : antécédents familiaux d’HTA, néphropathie, cardiopathie. Consommation de sel, alcool, tabac, boissons contenant de la réglisse. Sédentarité. Iatrogénie : AINS, vasoconstricteurs, corticoïdes, traitements hormonaux. Signes fonctionnels d’HTA (céphalées…).
Orientation étiologique : triade de Ménard, symptomatologie évocatrice de SAOS, score d’Epworth.
Toujours essayer d’évaluer l’observance des traitements anti-hypertenseurs déjà en place (première cause de non-contrôle de la tension artérielle).
Examen physique :
Toujours TA aux 4 membres et recherche d’une hypotension orthostatique.
Orientation étiologique : recherche d’un syndrome de Cushing, souffle rénal en faveur d’une SAR, TA MS/MI (gradient en faveur d’une coarctation ?).
Recherche d’une atteinte d’organe cible : Atteinte vasculaire : souffles (TSA, fémoraux…), palpation de tous les pouls. Atteinte cardiaque : ECG (HVG ?), recherche de signe d’IVG ou d’IVD. Ophtalmo et neuro sur point d’appel.
Voici les résultats du bilan que vous avez fait réaliser :
– Kaliémie 3,4 mM / natrémie 141 mM ;
– HbA1c 6,8 % ;
– Glycémie à jeun 1,19 g/L ;
– MDRD 99,7 mL/min / créatininémie 67 µM ;
– BU : absence de protéinurie, absence de leucocyturie, absence de nitrite ;
– Triglycérides à 0,99 g/L / HDLc 0,63 g/L / LDLc 1,16 g/L.
Devant ces résultats, vous décidez de gérer vous-même l’HTA de M. X. et le convoquez ainsi dans 2 semaines pour évaluer le contrôle tensionnel sous Esidrex (hydrochlorothiazide).
Question 5 - À cette occasion, vous prescrivez (une ou plusieurs réponses possibles) :
Effectivement, chez ce patient (hypertendu sévère, symptomatique avec une dyspnée de stade II et présentant une HVG à l’électrocardiogramme), la suspicion d’une atteinte cardiaque de l’HTA est forte.
Une échographie cardiaque est donc nécessaire pour dépister une cardiopathie post-hypertensive.
Le test d’effort peut éventuellement se justifier (2 facteurs de risque cardiovasculaire : hérédité et HTA) mais il viendra après l’échographie cardiaque dans ce cadre.
En effet, si le patient est porteur d’une cardiopathie hypertensive typique expliquant sa dyspnée, le test d’effort ne sera pas nécessairement réalisé en première intention d’autant plus qu’il ne présente pas de symptomatologie angineuse.
Pas d’échographie Doppler des TSA systématique s’il n’existe pas de souffle à l’examen clinique.
Pas d’intérêt à réaliser un holter-ECG ici. La dyspnée du patient est constante pour un même niveau d’effort et non paroxystique. Il ne se plaint pas de palpitations. L’ECG ponctuel est sinusal. Pas d’argument fort pour un trouble du rythme supra-ventriculaire.
Finalement, la semaine suivante, M. X. fait un malaise alors qu’il est au restaurant. Les spectateurs de la scène décrivent une perte de contact brutale avec chute alors que ce dernier était assis à table. Il aurait repris conscience après une minute environ et ne se souvenait alors pas des événements. Pas de notion de mouvements cloniques ou de perte d’urine associée.
Ce dernier vous mentionne un autre épisode similaire au repos, la veille.
C’est dans ce contexte que le SAMU prend en charge M. X. et l’emmène aux urgences les plus proches.
Question 6 - D’après les éléments de l’interrogatoire, il s’agit de (une ou plusieurs réponses possibles) :
La syncope est par définition : une perte de connaissance totale, à début rapide, brève, spontanément résolutive avec un retour rapide à un état de conscience normal.
Ici l’absence de prodrome et le fait que cette dernière survienne au repos est en faveur d’une syncope dite à l’emporte-pièce ou encore « syncope d’Adams-Stokes ».
Classification des syncopes :
– Syncope réflexe (vaguale) ;
– Hypotension orthostatique ;
– Syncope d’origine cardiaque/cardiovasculaire : troubles du rythme, troubles de conduction, cardiopathies, embolie pulmonaire…
Le malaise hypoglycémique doit systématiquement être éliminé par une glycémie capillaire.
L’épilepsie qui est le principal différentiel se distingue notamment par :
– la présence d’un déficit post-critique ;
– une récupération plus longue après la crise avec une confusion post-critique fréquente ;
– des symptômes associés évocateurs mais inconstants : mouvements tonico-cloniques, perte d’urine…
Question 7 - L’origine vous paraît plutôt (une ou plusieurs réponses possibles) :
L’étiologie de ces syncopes d’Adams-Stokes est rythmique avec notamment :
– Troubles conductifs (les plus typiques dans ce cadre) : dysfonction sinusale, maladie de l’oreillette, BAV ;
– Trouble du rythme, plutôt ventriculaire : TV qui peut récupérer et être à l’origine d’une syncope ou dégénérer en FV, torsade de pointes.
L’examen clinique retrouve une pression artérielle à 170/95 mmHg, symétrique, une fréquence cardiaque à 52 batt/min, une saturation à 98 % en air ambiant, une auscultation cardio-pulmonaire normale. Pas de signe d’insuffisance cardiaque droite ou gauche, pas de souffle vasculaire carotidien ou fémoral, un murmure vésiculaire bilatéral.
L’examen neurologique complet est normal. Vous retrouvez un hématome du coude gauche.
Le bilan biologique retrouve :
Hémoglobine 140 g/l ; leucocytes 9 G/l ; plaquettes 247 G/l ; créatinine 70 µmol/l ; urée 6 mM ; potassium 2,1 mM ; sodium 141 mM ; D-dimères 350 ng/ml ; NT pro-BNP augmenté à 740 pg/ml.
Un ECG est réalisé :

Alors que vous scopez tout juste le patient qui ne se plaint de rien par ailleurs, voici ce que vous retrouvez :

Question 8 - Quelle est votre attitude thérapeutique (une ou plusieurs réponses possibles) ?
La séquence ici est donc :
– Hypokaliémie initiale à 3,4 mM, majorée par l’Esidrex (diurétique thiazidique hypokaliémiant) aboutissant à une hypokaliémie profonde avec signe électrocardiographique (sous ST diffus avec onde U formant un « S italique », QT long) compliquée d’une torsade de pointe sur le scope.
– Les syncopes des jours précédant sont donc très probablement liées à des épisodes de torsade de pointe prolongés dans ce contexte d’hypokaliémie.
Le traitement de la torsade de pointes en quelques mots :
– USIC/SCOPE ;
– Arrêt des médicaments allongeant le QT et des médicaments hypokaliémiants ;
– Recharge en magnésium et potassium ;
– Si mauvaise tolérance ou passage en fibrillation ventriculaire : CEE (valable pour tout trouble du rythme supraventriculaire ou ventriculaire mal toléré) ;
– Si torsade soutenue avec bradycardie : Isuprel ;
– Si échec : pose SEES.
Vous transférez donc votre patient en USIC. La problématique rythmique est rapidement résolue après une courte cure d’Isuprel et une recharge en potassium et magnésium.
Dans le service les pressions artérielles sont toujours élevées avec des systoliques entre 190 et 210 et des diastoliques entre 100 et 120.
L’échographie cardiaque réalisée dans le service retrouvait :
– un VG hypertrophié de manière concentrique, non dilaté, avec une FEVG globale et segmentaire normale ;
– une dysfonction diastolique ;
– un début de dilatation de l’oreillette gauche (25 cm2) ;
– une insuffisance mitrale de grade II ;
– une bonne fonction ventriculaire droite ;
– des PAPs normales ;
– un péricarde sec.
Question 9 - La cardiopathie de ce patient est (une ou plusieurs réponses possibles) :
Cardiopathie hypertensive car :
– HVG concentrique (augmentation de la tension artérielle systolique à l’origine d’une augmentation de la post-charge, entraînant une hypertrophie du myocarde) ;
– Une dysfonction diastolique dans un premier temps puis systolique lorsque la cardiopathie est plus évoluée ;
– La dilatation de l’OG est en rapport avec la dysfonction diastolique et l’augmentation chronique des pressions de remplissage.
Vous pensez donc, à juste titre, organiser une recherche d’HTA secondaire dans 6 semaines chez ce patient.
Question 10 - Que devrait contenir, selon vous, le traitement de sortie en vue d’un tel bilan (une ou plusieurs réponses possibles) ?
Le préalable nécessaire à un dosage rénine et aldostérone est :
– normalisation de la kaliémie, d’où la supplémentation ;
– traitement antihypertenseur dit neutre : inhibiteurs calciques +/- antihypertenseurs centraux ou périphériques type alpha bloquants
– arrêt des anti-aldostérones 6 semaines avant ;
– arrêt des bêtabloquants, diurétiques et bloqueurs du système rénine-angiotensine 2 semaines avant.
Question 11 - En revoyant l’ensemble du dossier, quelle physiopathologie vous semble expliquer l’HTA ?
L’association hypokaliémie et HTA doit faire évoquer un hyperaldostéronisme :
– rétention hydrosodée à l’origine de l’HTA ;
– augmentation de la kaliurèse à l’origine de l’hypokaliémie.
Vous recevez donc 6 semaines après M. X. en hôpital de semaine de cardiologie. Il n’a pas présenté d’événement intercurrent notable dans l’intervalle. Il a toujours une dyspnée NYHA II. La pression artérielle est à 150/95 mmHg sous Amlor 10 et Eupressyl 60 mg matin et soir.
Le holter tensionnel retrouve (jour : 155/100 mmHg, nuit : 140/90 mmHg, 24 h : 145/97 mmHg).
L’ECG est en rythme sinusal régulier avec les signes électriques d’HVG. Index apnée-hypopnée à 4/heure.
Voici les résultats du bilan biologique :
Aldostérone plasmatique :
– couché : 467 pM (N : 40-85) ;
– debout : 898 pM (N : 275-415).
Rénine active :
– couché : 1,8 ng/l (N : 2-35) ;
– debout : 3,5 ng/l (N : 3-60).
Rapport aldo/rénine :
– couché : 259 ;
– debout : 256.
Cortisol libre urinaire : normal.
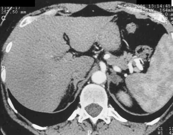
Question 12 - Quel(s) examen(s) d’imagerie réalisez-vous en première intention ?
Le profil hormonal est en faveur d’un hyper-aldostéronisme primaire (aldostérone élevé / rénine basse) ;
On recherche donc un adénome de Conn. L’examen d’imagerie de référence est le scanner abdominal sans et avec injection avec coupes fines sur les surrénales (généralement < 2 cm, hétérogène, hypodense < 10 UH, faible rehaussement et lavage rapide).
Voici le résultat du scanner :

Question 13 - Quel est votre diagnostic ?
Adénome de Conn devant l’association :
– d’un hyperaldostéronisme primaire ;
– d’une image surrénalienne typique.
Lorsque l’imagerie est plus litigieuse, il est possible de réaliser un cathétérisme simultané des veines surrénaliennes. La sécrétion est considérée comme latéralisée en présence d’un rapport aldostérone sur cortisol supérieur à 5 d’un côté ou l’autre (le dosage du cortisol permet de standardiser la sécrétion d’aldostérone).
Vous confirmez la présence d’un adénome de Conn.
Question 14 - Quelle thérapeutique envisagez-vous ?
On propose systématiquement la solution chirurgicale dans ce cas. Celle-ci consiste en une surrénalectomie du côté de l’adénome.
En cas de refus, le traitement médical par Aldactone seule ou associée à un autre antihypertenseur selon le contrôle tensionnel est considéré comme aussi efficace.
Finalement M. X. souhaite se faire opérer. Vous le revoyez 2 mois après son opération. Les tensions sont partiellement contrôlées. Il persiste une HTA de grade I sur le holter tensionnel. La kaliémie est normalisée (3,9 mM).
Malgré l’amélioration des chiffres tensionnels il vous mentionne une majoration de la dyspnée, actuellement stade II fort, depuis 15 jours.
Voici ce que vous retrouvez sur l’électrocardiogramme :

Question 15 - Devant ce tableau, vous proposez (une ou plusieurs réponses possibles) :
Le diagnostic est celui d’une FA persistante a priori (patient symptomatique depuis 15 jours) qui survient sur un terrain de cardiopathie hypertensive avec dilatation modérée de l’OG :
– Indication d’anticoagulation :
Cette FA est à priori non valvulaire au vu de la dernière échographie.
Son CHADS2VASc est à 1 du fait de l’HTA, il est donc indiqué une anticoagulation. Le HAS-BLED est lui à 1 également / Hemorr2hages est à 1 indication de contrôle du rythme.
– Symptomatique, chez un sujet jeune, porteur d’une cardiopathie encore peu évoluée avec une OG modérément dilatée.
Rappel sur la stratégie d’anticoagulation dans la FA :

Indication à contrebalancer avec l’estimation du risque hémorragique. Deux scores existent :
– Score Hemorr2hages

– Score HAS-BLED

Rythme sinusal, régulier, à environ 80/min.
Axe hyper-gauche (QRS majoritairement négatif en AVF, DIII et DII / positif en DI et AVL).
T négatives de V4 à V6 (latéral bas) et DI AVL (latéral haut).
QRS fins donc pas de trouble de la conduction.
Indices de Cornell et Sokolow positifs.