Vous recevez en consultation Mme L., âgée de 48 ans. Cette patiente que vous connaissez bien pour avoir suivi ses deux grossesses vient effectuer son suivi gynécologique annuel.
Dans ses antécédents, vous notez :
- poids : 60 kg, taille : 170 cm ;
- médicaux : HTA ;
- chirurgicaux : aucun ;
- gynéco-obstétricaux : G 4 P 2 , 2 accouchements normaux à terme , 1 IVG par curetage aspiratif , 1 FCS du 1er trimestre traitée par curetage ;
- familiaux : cancer du côlon chez son père à 47 ans et son oncle paternel à 67 ans.
Question 1 : Mme L. est asymptomatique et présente des cycles réguliers. Elle s’interroge sur le dépistage organisé du cancer du sein. Que lui répondez-vous ?
Mme L. entre dans le cadre du dépistage organisé du cancer du sein et doit normalement être invitée à réaliser sa première mammographie à 50 ans
Un examen clinique mammaire annuel doit être réalisé chez toutes les femmes à partir de 25 ans, qu’elles soient à haut risque ou non, en vue de déceler d’éventuelles anomalies d’un sein (aspect global, voussure, attraction, ride, inflammation, déformation du galbe…) ou d’un mamelon (rétraction, modifications d’orientation, ulcération, écoulement…). Source : INCa.
Mme L. recevra son invitation à partir de 50 ans
Le dépistage est organisé et fait l’objet d’une invitation par courrier postal
Le cancer du sein fait partie des items incontournables du programme de gynécologie pour l’ECNi.
Il fait partie des pathologies qui bénéficient d’un dépistage organisé en population générale en France.
Le programme de dépistage organisé cible les femmes âgées de 50 à 74 ans à risque moyen, c’est-à-dire sans symptômes apparent ni facteur de risque particulier.
Elles sont invitées tous les deux ans à réaliser une mammographie et un examen clinique des seins auprès d’un radiologue agréé. Il est pris en charge à 100 % par l’assurance maladie, sans avance de frais.
Si aucune anomalie n’est décelée, la mammographie est ensuite systématiquement relue par un second radiologue expert.
Moyen mnémotechnique : « 2-2-2 » : tous les deux ans, deux clichés , deux radiologues.
Mme L. reçoit sa convocation à une première mammographie de dépistage 2 deux ans plus tard.
La mammographie met en évidence une lésion spiculée de 22 mm du quadrant supéro-externe du sein droit classé ACR 4.
Toute anomalie à la mammographie doit entraîner un complément d’examen par d’autres clichés ciblés sur la lésion et une échographie mammaire permettant de mieux la définir et de réaliser une exploration du creux axillaire +/- un geste biopsique dans le même temps
Les macrobiopsies sont plutôt à réserver aux lésions diffuses et de petite taille type microcalcifications
L’examen de dépistage se transforme en examen de diagnostic.
On réalise plusieurs incidences en mammographie et une échographie afin de préciser la topographie et le type de lésion, explorer le creux axillaire à la recherche d’adénopathies.
La microbiopsie est le plus souvent réalisée dans le même temps.
Une microbiopsie est indiquée (masse bien visible et délimitée) car cette technique est la plus efficace et peu couûteuse, avec une bonne tolérance. Les macrobiopsies au Mammotome sont à réserver aux plages de microcalcifications (risque de sous-estimation de la lésion en cas de microbiopsie).
L’IRM mammaire est indiquée en complément en cas de carcinome lobulaire infiltrant, de prise en charge par chimiothérapie néoadjuvante (tumeur de grande taille/ inflammatoire),en cas de discordance radio-clinique et dans la surveillance et le suivi des patientes mutées BRCA.
Une micro-biopsie est réalisée , les premiers résultats anatomopathologiques vous parviennent :
Mme L., 48 ans Biopsie ciblée d’une lésion du quadrant supéro-externe du sein droit : - carcinome canalaire infiltrant, grade SBR 1 ;
- récepteurs hormonaux :
o œstrogènes : 90 %
o progestérone : 10 %
L’examen clinique ne palpe aucune lésion ainsi que votre examen axillaire, chez une patiente portant un bonnet D.
Question 3 : Quelle est la prochaine étape thérapeutique ? (plusieurs réponses possibles) ?
La tumorectomie paraiît possible devant une lésion de 22 mm chez une patiente de bonnet D. L’enjeu de cette chirurgie est de combiner un résultat esthétique satisfaisant associé àune exérèse en marges saines de la lésion
Le curage n’est indiquée d’emblée uniquement en cas de tumeur N+ clinique
En cas de tumeur N- , il faut impérativement une stadification de l’envahissement ganglionnaire. La technique du ganglion sentinelle permet d’obtenir cette information. En cas de GS envahi, on complétera le geste chirurgical par un curage axillaire
La lésion n’est pas palpable , il faut donc un repérage préopératoire de la lésion pour cibler l’exérèse chirurgicale
La première étape du traitement « classique » d’un cancer du sein est la chirurgie dans la grande majorité des cas et donc pour l’ECNi. La chimiothérapie néo-adjuvante est réservée aux tumeurs inflammatoires et/ou de grande taille.
La décision thérapeutique repose sur le rapport volume tumoral/volume du sein pour obtenir un résultat esthétique satisfaisant et des marges de sécurité carcinologiques optimales, ici plutôt en faveur d’une tumorectomie.
L’évaluation de l’extension de la maladie au niveau ganglionnaire passe aujourd’hui par la technique du ganglion sentinelle (repérage isotopique et colorimétrique du premier relais ganglionnaire et analyse extemporané de celui-ci). En cas de GS envahi, on complétera le geste chirurgical par un curage axillaire le plus souvent et une chimiothérapie.
Le curage axillaire est réservé aux patientes N+ clinique et/ou T3 au minimum (5 cm).
Vous réalisez une tumorectomie avec recherche du ganglion sentinelle.
La patiente se présente aux urgences de l’hôpital le lendemain matin, affolée. Elle présente une masse indurée et violacée sous la cicatrice de tumorectomie. Mme L. est algique.
Question 4 : Quel est votre diagnostic ?
Complication classique mais heureusement rare de la chirurgie mammaire conservatrice.
La prise en charge est simple et chirurgicale : mise à jeun, antalgiques, évacuation chirurgicale de l’hématome et surveillance de la cicatrisation.
Il s’agit bien d’un hématome postopératoire. Vous reprenez la patiente en urgence et évacuez cet hématome.
Passé cet épisode, vous revoyez Mme L. en consultation avec les résultats anatomopathologiques.
Carcinome canalaire infiltrant de 27 mm, grade SBR I - Récepteurs hormonaux : RE : 90 %, RP : 10 %
- Ki67 : 70 %
- Recherche de la surexpression HER2 : +++
- Marges de tumorectomie saines
- Analyse du ganglion sentinelle négative.
Question 5 : Quelles thérapeutiques adjuvantes proposez-vous en RCP ?
Une radiothérapie du sein restant est systématiquement proposée en cas de traitement chirurgical conservateur
L’analyse du ganglion sentinelle est négative
Une radiothérapie du sein restant est systématiquement proposée en cas de traitement chirurgical conservateur.
La chimiothérapie est indiquée en cas de facteurs de mauvais pronostiquesc de récidive, N+, patiente jeune, Ki67 élevé, tumeurs triples négatifs.. Un traitement par Herceptin est recommandé chez cette patiente, en association à une chimiothérapie.
Une hormonothérapie est indiquée chez toutes les patientes qui présentent au moins 10 % de récepteurs présents.
Mme L. commence sa chimiothérapie.
Question 6 : Quelle(s) molécule(s) pouvez-vous lui proposer en prévention des nausées et vomissements chimio-induits ?
Les molécules utilisées dans les protocoles de chimiothérapie des cancers du sein sont en majorité hautement (cyclophosphamide) ou modérément émétisantes ; une prophylaxie primaire des vomissements chimio-induits est recommandée par aprépitant, corticothérapie ou sétrons.
La prise en charge des nausées-vomissements chimio-induits comporte plusieurs étapes :
- prophylaxie primaire : traitement préventif systématique optimal dès le premier cycle de chimiothérapie contre les NVCI à la phase aiguë et à la phase retardée ;
- prophylaxie secondaire : traitement préventif réévalué et adapté à la suite de NVCI lors du précédent cycle de chimiothérapie ;
- traitements de secours :traitement à mettre en place en cas de NVCI malgré une prophylaxie bien conduite.
Concernant l’hormonothérapie de Mme L.
Question 7 : Quelle(s) sont les réponse(s) vraie(s) ?
La durée recommandée est de cinq ans
Mme L. a une tumeur hormonosensible
Le tamoxifene est recommandée en 1re intention chez les patientes non ménopausées
Une échographie pelvienne est indiquée avant de débuter un traitement par tamoxifene afin de dépister une éventuelle anomalie endométriale (sur-risque de cancer de l’endomètre induit par le tamoxifene)
Mme L. n’est pas ménopausée, une hormonothérapie par tamoxifèene est recommandée en première intention. une échographie pelvienne à la recherche d’un épaississement endométrial est recommandée avant de débuter le traitement.
L’hormonothérapie est prescrite pour une durée de cinq ans.
Mme L. reçoit une radiothérapie suivie d’une chimiothérapie associée à un traitement ciblé par Herceptin®.
Une hormonothérapie par tamoxifene est introduit par la suite.
La surveillance recommandée pour le cancer du sein se poursuit à vie.
Elle comprend un examen clinique tous les trois mois les cinq première années avec une imagerie annuelle par mammographie.
Vous confiez Mme L. à un confrère, qui assure son suivi oncologique.
Quatre ans plus tard, celle-ci vous consulte de nouveau pourun épisode de saignements vaginaux spontanés, de faible abondance, survenu la semaine dernière. ; Elle se demande si ce n’est pas dû à l’arrivée de sa ménopause il y a 2 deux ans.
Votre examen au spéculum est sans particularité.
Toute patiente présentant des métrorragies sous tamoxifene présente un cancer de l’endomètre jusqu’à preuve du contraire !
L’acide traxeénamique (Exacyl®) est indiqué en cas de saignement important en traitement des épisodes aigus
L’examen paraclinique de première intention devant des métrorragies est l’échographie pelvienne par voie sus-pubienne et endocavitaire
Le dépistage du cancer du col est toujours indiqué chez cette patiente mais, attention à l’énoncé, ici on demande l’examen à réaliser dans le cadre de la démarche diagnostique devant ces métrorragies
Tout saignement post-ménopausique incite à la prudence et doit vous faire redouter un cancer de l’endomètre.
Le traitement par tamoxifene entraiîne un sur-risque de cancer de l’endomètre et doit être arrêté le temps de réaliser les explorations de ces saignements anormaux.
L’examen paraclinique de première intention devant des métrorragies est l’échographie pelvienne par voie sus-pubienne et endocavitaire.
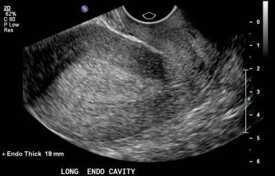
Vous réalisez une échographie pelvienne :
Question 10 : Quel est votre bilan paraclinique pour progresser dans votre diagnostic ?
Indiqué en deuxième ligne si le diagnostic histologique de cancer d’endomètre est posé
Pas d’indication
Indiqué dans les bilans d’infertilité, sans rapport ici
En cas de métrorragies post-ménopausique et devant toute épaississement endométrial de manière plus générale, une hystéroscopie est recommandée, associée à un prélèvement, afin de dépister un cancer de l’endomètre. ; L’IRM est indiquée dans le cadre du bilan d’extension de ce cancer lorsqu’il est avéré.
Vous réalisez une hystéroscopie, qui retrouve ceci :
La lésion intracavitaire est irrégulière, vascularisée ; un cancer de l’endomètre est à évoquer en priorité
Le fibrome sous-séreux est par définition visible à l’extérieur de la cavité, au cours d’une cœlioscopie par exemple
L’hyperplasie endométriale se présente de façon plus diffuse
L’anatomopathologiste conclut à un adénocarcinome endométrioïde utérin de grade 1.
Question 12 : Quel est votre bilan d’extension ?
L’examen clinique permet d’apprécier au toucher vaginal une éventuelle extension loco-régionale (paramètres, annexes)
L’IRM est systématiquement indiqué pour réaliser le bilan d’extension loco-régionale
L’IRM est systématiquement indiquée pour réaliser le bilan d’extension loco-régionale. Elle permet d’évaluer la taille de la lésion et appporte des informations pronostiques, comme le degré d’invasion myométriale, l’étendue éventuelle de la lésion au col utérin et aux organes de voisinage (vessie, rectum), la présence d’adénopathies.
Elle permet de guider le geste chirurgical et les traitements adjuvants.
Le scanner abdominopelvien n’est pas indiqué dans le cancer de l’endomètre, sauf en cas de suspicion de carcinose péritonéale.
Le TEP- Sscanner est indiqué en cas de tumeurs FIGO III / -IV afin de rechercher la présence de métastases à distance.
L’IRM pelvienne retrouve une lésion endométriale infiltrant moins de 50 % du myomètre sans extension loco-régionale, ni adénopathies suspectes
Question 13 : Quelle est la première ligne de prise en charge de ce nouveau cancer pour Mme L. ?
Le premier temps de prise en charge du cancer de l’endomètre est le plus souvent chirurgicale et comporte au minimum une hystérectomie totale avec annexectomie bilatérale. (intervention C sur la photo). Les traitements adjuvants sont indiqués en fonction des résultats anatomopathologiques et hors programme pour l’ECN. L’endométrectomie (résection hystéroscopique de la muqueuse endométriale) n’est jamais indiquée.
Question 14 : Quel facteur de risque identifiez-vous chez Mme L. de développer un cancer de l’endomètre ?
Les facteurs de risque du cancer de l’endomètre sont :
- âge ;
- obésité ;
- diabète et hypertension artérielle ;
- histoire familiale ;
- tamoxifène ;
- hyperplasie adénomateuse ;
- antécédent d’irradiation pelvienne.
Attention aux énoncés des questions , en calculant l’IMC de la patiente, celle-ci n’est pas obèse.
Question 15 : Quel syndrome génétique vous évoquent les antécédents familiaux de Mme L. ?
La tumeur de Krukenberg est un cancer de l’ovaire, secondaire à un cancer de l’estomac
La mutation du gène BRCA est une prédisposition génétique entraiînant un risque important de développer un cancer du sein et/ou de l’ovaire
La mutation du gène BRCA est une prédisposition génétique entraînant un risque important de développer un cancer du sein et/ou de l’ovaire
La polypose adénomateuse familiale est une prédisposition génétique à la survenue de centaines voire de milliers de polypes colique avec un risque quasi-certain de dégénérescence maligne vers un cancer colo-rectal
Deux gènes sont connus pour être impliqués dans la PAF : le gène APC et le gène MYH
Le syndrome de Lynch (ou HNPCC) a été initialement décrit comme une prédisposition héréditaire aux cancers colorectaux. On sait aujourd’hui que son spectre va au-delà du cancer colorectal, avec en premier lieu le cancer de l’endomètre.
Le syndrome a été redéfini par les critères d’Amsterdam :
au moins trois apparentés avec un cancer du spectre : cancer colorectal, de l’endomètre, de l’estomac, de l’ovaire, des voies excrétrices urinaires, du cerveau, de l’intestin grêle, du tractus hépatobiliaire et de la peau (tumeurs sébacées)
1. l’un est apparenté au premier degré avec l’un des deux autres ;
2. au moins deux générations atteintes ;
3. au moins un cancer diagnostiqué avant l’âge de 50 ans ;
4. une polypose adénomateuse familiale est exclue.
Il fait partie des pathologies qui bénéficient d’un dépistage organisé en population générale en France.
Le programme de dépistage organisé cible les femmes âgées de 50 à 74 ans à risque moyen, c’est-à-dire sans symptômes apparent ni facteur de risque particulier.
Elles sont invitées tous les deux ans à réaliser une mammographie et un examen clinique des seins auprès d’un radiologue agréé. Il est pris en charge à 100 % par l’assurance maladie, sans avance de frais.
Si aucune anomalie n’est décelée, la mammographie est ensuite systématiquement relue par un second radiologue expert.
Moyen mnémotechnique : « 2-2-2 » : tous les deux ans, deux clichés , deux radiologues.