Vous voyez un jeune garçon de 2 ans et demi en consultation aux urgences accompagné par sa maman pour otalgie droite et altération de l’état général.
Constantes :
– poids :19 kg ;
– température : 38,7 °C ;
– fréquence cardiaque : 110 battements par minute ;
– fréquence respiratoire : 30 cycles par minute.
Né à terme, Joseph n’a pas présenté de problèmes néonataux.
Il est en hyperthermie à 38,7 °C. Il est réactif mais grognon.
La courbe staturo-pondérale est bonne. Même si les prises alimentaires sont réduites ces derniers jours, voire absentes depuis 24 heures.
Il n’a pas d’antécédents particuliers hormis une notion d’urticaire à l’antibiotique que son médecin lui a prescrit pour une « bronchiolite compliquée ».
Question 1 : Quelles affirmations sont exactes en ce qui concerne l’otoscopie suivante (figure 1) ?
Le tympan ici est couleur chamois. Ceci est spécifique d’une rétention séreuse rétro-tympanique. On voit de plus une bulle liquidienne dans le quadrant postéro-inférieur.
Le quadrant antéro-inférieur est l’endroit privilégié pour réaliser les paracentèses ; il est reconnaissable (attention ! sauf dans les otites moyennes aiguës) par le triangle lumineux qui le délimite. Pour repérer le côté de l’otoscopie il faut garder en tête que le manche du marteau et son col forment un angle ou une flèche qui pointe vers l’avant du patient. Ici on est donc bien à gauche.
Question 2 : Voici l’otoscopie controlatérale à droite (figure 3). Quel est votre diagnostic ?
Il s’agit ici d’une OMA simple. Elle est non perforée car on ne voit pas de pertuis ni d’otorrhée purulente. Elle n’est pas phlycténulaire car le tympan est lisse et régulier, sans vésicule.
Les OMA bien tolérées du sujet de plus de 2 ans ne nécessitent pas classiquement d’antibiothérapie.
Question 3 : Quel est votre traitement de première intention ?
Même si les antibiotiques ne sont pas indiqués dans la bronchiolite, l’antibiothérapie prescrite par le médecin traitant a été vraisemblablement de l’amoxicilline.
En cas d’allergie à l’amoxicilline, le traitement est donc ici le cefpodoxime.
Recommandations infectiologie Pilly 2018 . Antibiothérapie probabiliste de 1re intention des OMA purulentes : amoxicilline per os ; si association syndrome otite + conjonctivite, amoxicilline-acide clavulanique per os à la place. . Antibiothérapie de 2e intention : – allergie vraie aux pénicillines sans contre-indication aux céphalosporines : cefpodoxime (enfant) ; cefpodoxime ou céfuroxime-axétil (adulte) ; – en cas de contre-indication aux bêtalactamines : enfant ; cotrimoxazole ou pristinamycine (si plus de 6 ans) ; adulte : pristinamycine ou cotrimoxazole ou lévofloxacine (en dernière intention). Adultes et enfant > 2 ans : 5 jours de traitement. Enfant < 2 ans : traitement d’emblée et de 8 jours.
On associe toujours aux antibiotiques le lavage des fosses nasales. Le traitement auriculaire local se discute car il est en soit inutile si l’otite ne perfore pas. On a tendance tout de même à le prescrire pour stériliser le conduit et dans l’hypothèse où l’otite évolue vers la perforation.
Question 4 : Et si le garçon avait 11 mois et aucun antécédent médical ?
En première intention il n’y a pas d’indication à hospitaliser ni à documenter le germe. On le fait en revanche en cas d’échec du traitement de première intention
Cf. Item 147, Otites infectieuses, Dr Jean-Michel Polonovski
Finalement Joseph rentre à la maison avec le traitement prescrit.
Il revient trois jours plus tard à l’hôpital. Vous recevez l’appel alors que vous êtes au bloc opératoire. L’interne de pédiatrie vous rapporte cette fois un état fébrile à 39 °C et franchement altéré. Il est peu réactif. Il présente des céphalées, est gêné par le bruit et la lumière et vomit depuis hier. On vous dit également que l’oreille est décollée et qu’il y a une otorrhée verdâtre.
Question 5 : Quelle(s) complication(s) craignez-vous et recherchez-vous dans le contexte infectieux récent ?
Ce sont ici les complications précoces de l’OMA que nous devons rechercher à tout prix, et d’autant plus que son état s’est dégradé.
Ce n’est pas la paralysie faciale centrale mais périphérique qui constitue une complication précoce de l’OMA. En effet, le nerf facial qui passe en deuxième portion dans la caisse tympanique et qui peut être atteint dans ce type d’infection sera responsable d’une paralysie faciale périphérique (PFP).
Paralysie faciale centrale : atteinte du cortex moteur ou tronc cérébral avec les noyaux gris centraux.
Paralysie faciale périphérique : sur le trajet du nerf.
L’empyème sous-dural est une complication par diffusion de contiguïté de l’infection. On peut aussi avoir un empyème extra-dural.
RAPPEL radiologique :
– extra-dural = lentille biconvexe ;
– sous-dural ; croissant. La labyrinthite est une complication assez classique des OMA. Le tableau sera celui de vertiges rotatoires avec nausées et vomissements et d’un syndrome vestibulaire périphérique irritatif avec nystagmus du côté de l’infection et déviation controlatérale.
Attention ! c’est la thrombose du sinus latéral et non caverneux qui complique les OMA.
Infections et complication thrombotiques :
– OMA = sinus latéral (ou sigmoïde) ;
– sinusite sphénoïdale = sinus caverneux. C’est ANATOMIQUE !
Question 6 : Quels examens demandez-vous à l’interne de pédiatrie en première intention avant même d’avoir vu l’enfant, pour gagner du temps sur la prise en charge ?
Il faut guider avant d’avoir vu l’enfant vers les examens complémentaires. Sinon on perd du temps. Ce que vous a dit l’interne est évocateur d’une complication de l’OMA, potentiellement grave.
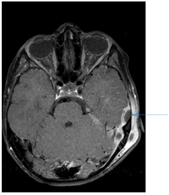
Si on pense à une complication intra-parenchymateuse, il faut un scanner injecté à la recherche d’une complication thrombotique ou infectieuse (thrombose veineuse ? empyème sous-dural ? abcès intra-parenchymateux ?)
On doit réaliser la ponction lombaire (PL) pour éliminer la méningite infectieuse devant le syndrome méningé. On peut se poser la question d’attendre ou non le résultat du scanner pour faire la PL. On n’est pas dans un cas ici où l’on craint particulièrement l’engagement mais une hypertension intracrânienne secondaire à un volumineux abcès ou sur une hémorragie méningée n’est pas impossible donc il est préférable de le faire après le scanner.
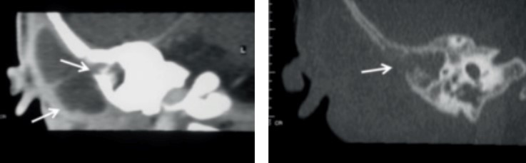
Voici le scanner injecté que vous faites réaliser
Question 7 : Quel est votre diagnostic ?
Les deux premières coupes sont des coupes frontales ou coronales ; la première en fenêtre parenchymateuse avec visualisation d’un abcès cloisonné sous-périosté, la deuxième en fenêtre osseuse avec lyse osseuse (c’est ce qui signe la mastoïdite, un comblement simple mastoïdien est présent dans les TOUTES LES OMA). Les deux dernières coupes sont des coupes axiales, l’une en parenchymateux, l’autre en fenêtre osseuse.
On voit ici sur la flèche de droite la thrombose du sinus latéral.
C’est donc une mastoïdite aiguë compliquée car s’y associe la thrombose.
L’abcès est bien ici sous-périosté à l’extérieur et au contact de l’os. Un abcès intra-parenchymateux serait en cocarde et dans la substance blanche cérébrale.
Question 8 : Quelle prise en charge proposez-vous ?
L’enfant nécessite une surveillance continue avec des moyens adaptés en cas d’altération de la vigilance et une ventilation, donc en réanimation. Le traitement est ici évidemment chirurgical pour drainer la mastoïde et faire des prélèvements si possible avant la mise en place du traitement antibiotique intraveineux (si le délai de prise en charge permet d’attendre).
On y associera la mise en place d’un aérateur si réalisable afin de maintenir une ventilation de la caisse d’oreille moyenne avec le conduit auditif externe pour éviter une recollection précoce.
S’il y avait eu association à un empyème ou abcès intracérébral, nous aurions proposé une prise en charge conjointe avec les neurochirurgiens.
Vous recevez les résultats de la ponction lombaire :
– cytologie : 300/mm3 avec prédominance de polynucléaires neutrophiles ;
– protéinorachie : 1,2 g/L ;
– examen direct : cocci à Gram positif en diplocoque ;
– glucose dans le liquide céphalo-rachidien (LCR)/sang = 0,4.
Question 9 : Les résultats sont en faveur
Les cocci à Gram positif en diplocoque sont très en faveur de bactéries pneumococciques.
De plus, l’indice de l’hypoglycorachie basse traduit l’activité bactérienne. Il faut penser que la bactérie a besoin de sucre pour exister.
Une méningite lymphocytaire est retrouvée dans les méningites virales ou bactériennes telles que la listériose ou la tuberculose :
– avec une prédominance de lymphocytes (> 50 %) et plus de 10 éléments/mm3 ;
– protéinorachie > 0,4 g/L ;
– hypo-/normoglycorachie :
. si indice glycémie LCR/sang < 0,4 à origine bactérienne probable (listéria BK) ;
. si > 0,5 à étiologie virale probable.
Rappel de cours : la physiopathologie des OMA s’explique par un œdème de la trompe d’Eustache d’origine virale. Les sécrétions s’accumulent dans la trompe d’Eustache et les populations bactériennes se multiplient.
La surinfection bactérienne va donc s’opérer via les bactéries présentes physiologiquement, c’est-à-dire Streptococcus pneumoniæ, Haemophilus influenzæ et Moraxella catarrhalis principalement et ce pour les individus de plus de trois mois.
Viennent ensuite les bactéries qui jouent un rôle moindre dans ces pathologies : Streptococcus pyogenes, Staphylococcus aureus, Pseudomonas aeruginosa et autres entérobactéries.
Résistance aux principaux antibiotiques utilisés dans les OMA purulentes pour les trois principales bactéries CF ECN Pilly 2018 - UE6 N) 147
• Méningite communautaire de l’adulte ou de l’enfant
– cocci à Gram positif : S. pneumoniæ ;
– bacilles à Gram négatif : H. influenzæ ; – cocci à Gram négatif : N. meningitidis.
• Méningite du nouveau-né
– cocci à Gram positif : S. agalactiæ – bacilles à Gram négatif : E. coli K1 • Méningite lymphocytaire de l’immunodéprimé (sida)
– Cryptococcus neoformans
Alors que vous expliquez la prise en charge aux parents de Joseph, celui-ci se met à convulser.
Question 10 : Quelle sont la/les réponses exactes ?
On doit rechercher une cause surajoutée comme un empyème sous-dural. Au moindre doute, il faut donc demander une imagerie par résonance magnétique (IRM) cérébrale. L’empyème peut largement ne pas être vu au scanner si la lame d’empyème est fine.
La dose thérapeutique est de 0,5 mg/kg. On peut réinjecter 15 minutes après la première injection si les convulsions persistent.
Mesures à associer :
– position latérale de sécurité et dégagement de la langue ;
– médicaments antipyrétiques comme le paracétamol 15 mg/kg ou un anti-inflammatoire ;
– traitement préventif à discuter dès la première crise comme le valproate de sodium dès lors qu’on est en dehors de crises fébriles simples.
Joseph est pris en charge chirurgicalement conjointement par l’équipe ORL et neurochirurgicale pour drainage de la mastoïdite. Il est maintenu intubé, ventilé, sédaté sur des troubles de vigilance au réveil.
L’évolution est progressivement favorable. Le séjour en réanimation a été prolongé. À J7, Joseph est finalement extubé. À son réveil il se plaint d’une dysphonie avec voix rauque.
Question 11 : Quelles sont vos hypothèses diagnostiques ?
La dysphonie pourrait être expliquée par l’atteinte nerveuse soit du nerf crânien X, soit du nerf laryngé récurrent en cervical.
Ici, il n’y a pas lieu de suspecter une atteinte nerveuse d’autant plus que l’OMA et l’inflammation environnante est à distance de la ligne médiane et du tronc cérébral.
Un angiome sous-glottique peut être éliminé également sur le terrain ; il atteint préférentiellement le nourrisson de moins de 6 mois. On aurait pu évoquer une laryngite sous-glottique si l’allure était infectieuse. Le tableau débute par une rhinopharyngite, elle est d’étiologie virale et concerne l’enfant de 1 à 3 ans.
Après une intubation prolongée, la dysphonie est classique et peut être secondaire à une présence irritante prolongée de la sonde d’intubation responsable d’un œdème laryngé.
Vous pratiquez cet examen pour étayer votre hypothèse diagnostique. Vous mettez en effet en évidence un granulome sur une corde vocale constituant une laryngite de contact prolongé à la sonde d’intubation
Question 12 : Quelles sont les propositions vraies ?
La trachée
Le plan glottique = les cordes vocales
Car c’est inversé
On peut dire qu’il s’agit d’une nasofibroscopie souple car on la pratique par les fosses nasales ; l’avant est situé donc en arrière de notre vision en fibroscopie et inversement. Ici, les cordes vocales forment un V. La pointe du V étant vers l’avant, on a donc des rapports inversés à une endoscopie rigide (où l’avant est en avant, et l’arrière en arrière).
Le granulome est ici post-traumatique : probablement l’intubation a dû blesser la corde vocale gauche et créer une réaction granulomateuse de contact.
Le granulome est classiquement postérieur. Il est soit secondaire à un traumatisme, soit secondaire au reflux gastro-œsophagien
Vous le revoyez à distance de l’épisode.
Question 13: Pourquoi est-il important que vous le revoyiez à distance de l’épisode ?
Tout est vrai.
Le plus important étant de vérifier l’audition car les méningites pneumococciques sont une des premières causes de surdité de perception acquise chez l’enfant et l’adulte.
La maman dit qu’il « met la télé un peu fort ». Elle se demande s’il entend bien. Voici l’audiométrie au casque réalisée (figure 8).
Question 14 : Quelles sont la/les réponses exactes ?
On a ici la courbe du haut en pointillé qui représente la courbe osseuse, celle qui reflète l’audition « centrale », les voies auditives allant de la cochlée au cortex. Si elle est normale, la perte est donc transitionnelle et on a un alors un Rinne audiométrique (c’est-à-dire une différence entre la courbe osseuse perçue et l’aérienne).
La surdité dans ce cas est en première hypothèse une conséquence de l’otite séro-muqueuse (qu’il y avait pour mémoire sur l’oreille contro-latérale au début du cas clinique. L’altération de la transmission du son s’explique par la mauvaise conduction du son en milieu aquatique (l’eau dans la caisse tympanique) comparée à la conduction en milieu aérien.
À droite : otite séro-muqueuse.
À gauche : normal.
Question 15 : Vous réalisez une acoumétrie au cabinet. Quels résultats vous attendez-vous à recevoir dans ce contexte ?
On aura dans le contexte une otite séro-muqueuse droite. Il y a donc un comblement liquidien rétro-tympanique qui va atténuer la transmission des ondes acoustiques (l’air est mieux transmis dans l’air que dans l’eau).
ÉPREUVE DU RINNE ACOUMÉTRIQUE
L’acoumétrie compare la durée de la conduction osseuse (CO) à la durée de la conduction aérienne (CA).
Le diapason est porté sur la mastoïde puis à quelques centimètres du pavillon de l’oreille du même côté lorsque les vibrations ne sont plus perçues.
Le Rinne est dit positif (ou nul) lorsque la perception sonore aérienne est meilleure que la conduction osseuse.
Le Rinne est dit négatif lorsque la perception sonore aérienne est moins bonne que la perception sonore en conduction osseuse.
ÉPREUVE DU WEBER
Le pied du diapason est appliqué sur le sommet du front ou le vertex et permet de comparer simultanément la conduction osseuse des deux oreilles. Le sujet normal perçoit le son de manière identique des deux côtés ou ne peut préciser le côté où il perçoit le mieux les vibrations. Si le son est mieux perçu par l’oreille malade (ou du côté le plus atteint, si la surdité est bilatérale), on dit que « le Weber est latéralisé du côté malade ». Il s’agit d’une surdité de transmission.
Le quadrant antéro-inférieur est l’endroit privilégié pour réaliser les paracentèses ; il est reconnaissable (attention ! sauf dans les otites moyennes aiguës) par le triangle lumineux qui le délimite.
Pour repérer le côté de l’otoscopie il faut garder en tête que le manche du marteau et son col forment un angle ou une flèche qui pointe vers l’avant du patient. Ici on est donc bien à gauche.